의료상담
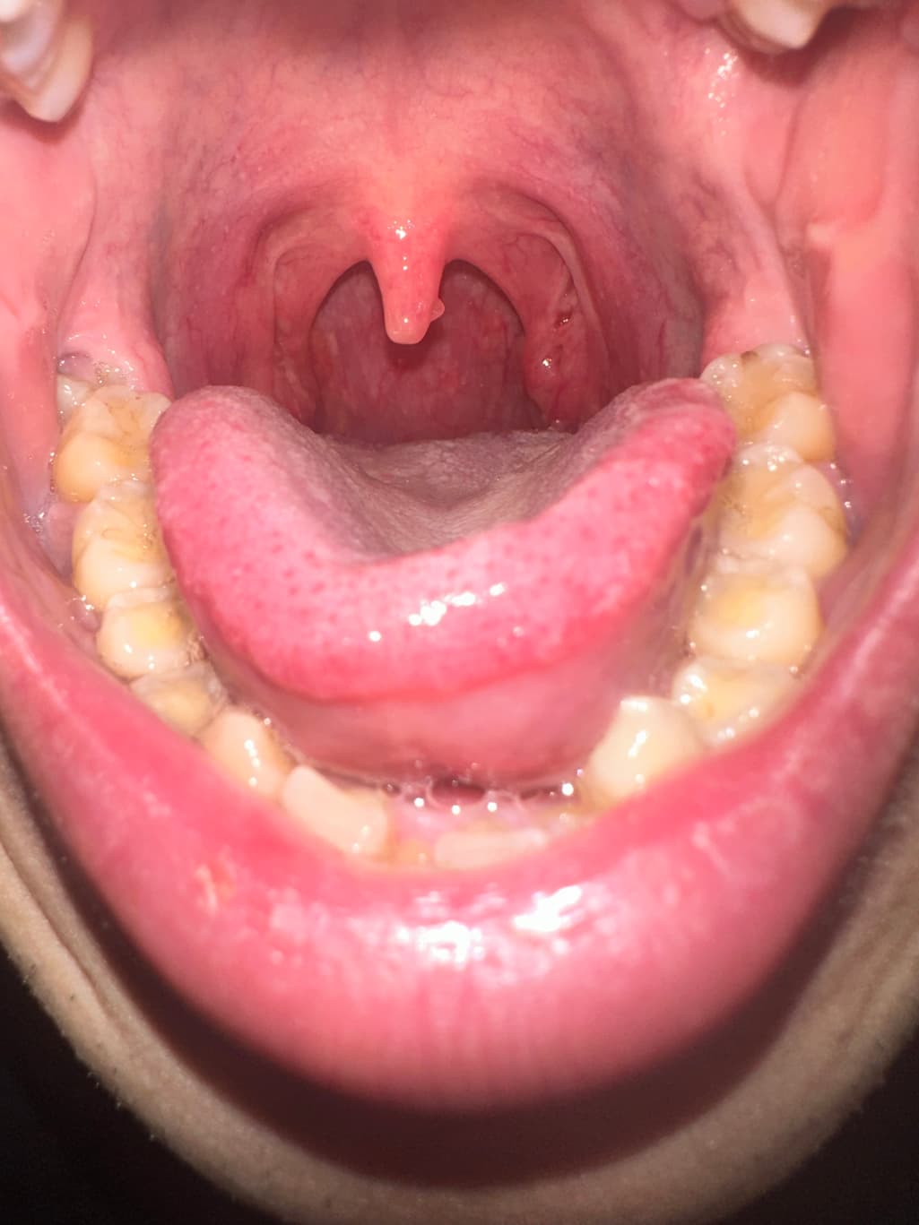
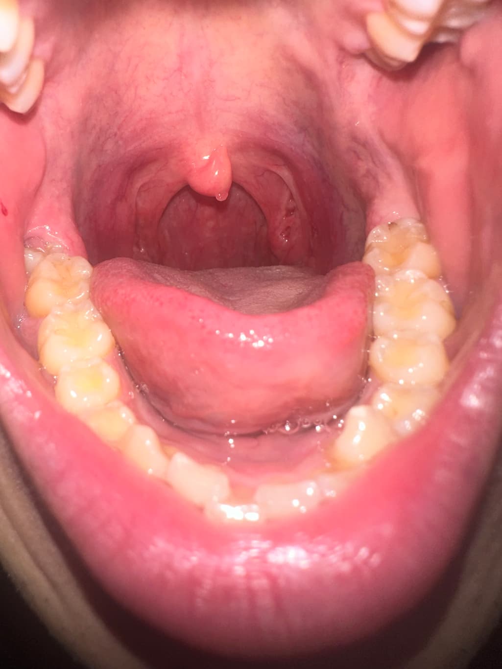
목젖 뒷면 혹이 있어서 확인 부탁드립니다.
성별
남성
나이대
29
복용중인 약
늑간신경통약
올해 1월부터 목젖 뒷면에 혹이 관찰되었습니다.
아래 사진은 지금 사진이고요
점점 위치랑 보이는 면적이 변하는것 같아 문의드립니다.
근처 이비인후과에선 지켜보자고 했는데요.
혹시 큰병일까요?
55글자 더 채워주세요.
2개의 답변이 있어요!
안녕하세요.
특이소견은 아닌것으로 보여집니다.
굳이 지금 치료하지않고 지켜보셔도 될것같습니다.
신경쓰지말고 지내보세요.
안녕하세요. 최성훈 의사입니다.
이비인후과 전문의 진찰 후 경과 관찰로 설명을 들었다면 당장 큰 문제는 아니겠으나 추후 변화 확인을 위해 재진료를 받으시기 바랍니다.

