아하

의료상담

치과

꾸준한까치209
꾸준한까치209

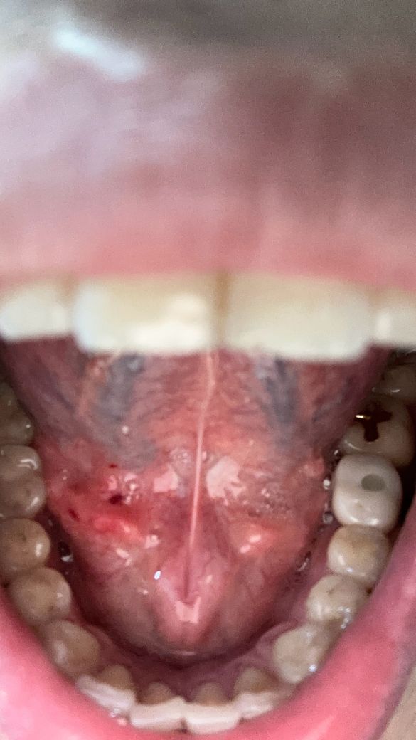
양치하다가 칫솔로 눌렀는데 아파지고 빨개진거같아요

빨갛게 된부분이 있는것같고 그래서 이거 병원가봐야되는지 그냥 냅둬도 괜찮음지 궁금해요 어떻게하는게 좋을까요?? 병원은 무슨과인가요?

  • 1번 째 사진
  • 2번 째 사진
  • 3번 째 사진
  • 4번 째 사진
  • 5번 째 사진
2개의 답변이 있어요!
  • 안녕하세요. 김철진 치과의사입니다.

    일시적으로 상처가 생긴거나 최대한 자극만 가지 않도록 하면 시간이 지나면 괜찮아 지실꺼에요.

    1명 평가
  • 안녕하세요. 안상우 치과의사입니다.

    구강 내 점막 조직이 양치질을 하다. 자극을 받게 되면 불편감이 있을 수 있습니다. 이런 불편감은 대부분 시간이 지나면서 해당 부위를 자극하지 않으면 줄어들게 됩니다.

    1명 평가