아하
  • 토픽

  • 스파링

  • 잉크

  • 미션


의료상담

탈퇴한 사용자

탈퇴한 사용자

팔 골절 시기 추정(X-ray제공)에 대한 질의

성별

남성

나이대

영유아

대략적인 시기만 적어주셔도 응원박스 많이 드립니다.

3월 30일 기준으로는 몇 일(또는 몇 주) 정도 전에 골절이 되었을 지 궁금합니다.

어떤 의사분 발언에 의하면 첨부된 4월 10일 x-ray사진처럼 유합직전의 다량의 칼러스가 발생되었다고 합니다.

무자르듯 구체적인 시기 특정은 어렵겠지만, 대략적인 시기 추정 부탁드리오며,

간략한 의학적 근거도 기술해주시면 좋겠습니다.

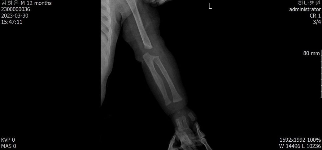
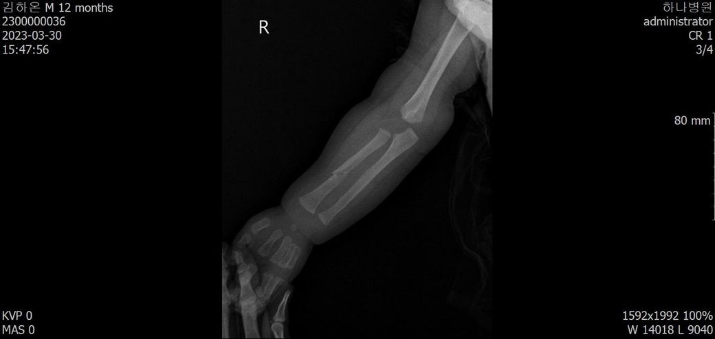
아래에 3월 30일 x-ray 사진 2개, 4월 10일 X-ray 사진 2개 씩 첨부드립니다.

첨부된 사진에 X-raY 촬영 날짜가 기재되어 있습니다.

  • 1번 째 사진
  • 2번 째 사진
  • 3번 째 사진
  • 4번 째 사진

1개의 답변이 있어요!

  • 남희성 의사

    남희성 의사

    대학병원 재활의학과

    안녕하세요. 남희성 의사입니다.

    X-ray를 보고 골절 시기를 유추하는 문제는 사실 임상적으로 의사들이 주로 다루는 문제가 아니고 법의학자들이 주로 다루는 문제이기 때문에 이에 대한 소견을 들으시는게 쉽지 않으실겁니다.

    저 또한 평소 진료 상황에서 다루는 내용이 아니라서 논문을 통해서 확인한 사항들에 대해서만 조금 설명드리겠습니다.

    Dating fractures in infants, Clinical Radiology., Volume 66, Issue 11, November 2011, Pages 1049-1054 문헌을 보면 뚜렷한 가골 (callus)은 수상 20일쯤 확인되는걸 알 수 있습니다. 올려주신 사진을 보면 04.10에는 뚜렷한 가골이 관찰되기 때문에 20일 전인 03.20 이전일 거라고 예상이 됩니다. 03.30 X-ray에는 가골이 전혀 확인되지 않기 때문에 03.10 이후일 가능성이 높아보이고 03.10~03.20 사이가 가장 가능성이 높지 않을까 생각됩니다.

    이외에 참고해보실만한 문헌 두가지도 함께 첨부합니다.

    A study of radiological features of healing in long bone fractures among infants less than a year, Skeletal Radiol (2017) 46:333–341.

    Radiological features of healing in newborn clavicular fractures, Eur Radiol.2017 May;27(5):2180-2187.