아핫뉴스실시간 인기검색어
아핫뉴스 화산 이미지
화산 아이콘 11
아시아나항공 T2 운항 시작
아하

의료상담

신경과·신경외과

색다른긴꼬리30
색다른긴꼬리30

대략적인 골절의 시기가 궁금합니다.

성별
남성
나이대
영유아

무더운 날 노고가 많으십니다.

다름이 아니라, 첨부드린 엑스레이(X-ray) 사진처럼 골절 사실을 알게 되고 골절 발생 시점 대략적으로나마 추정시기를 파악하려고 문의 드리게 되었습니다

진료받았던 병원이나 타 병원이 '내가 신도 아닌데 어떻게 아냐'며 협조가 안되고 추정시기도 주장도 달라 너무 답답한 심정에 이 경로로 문의드립니다

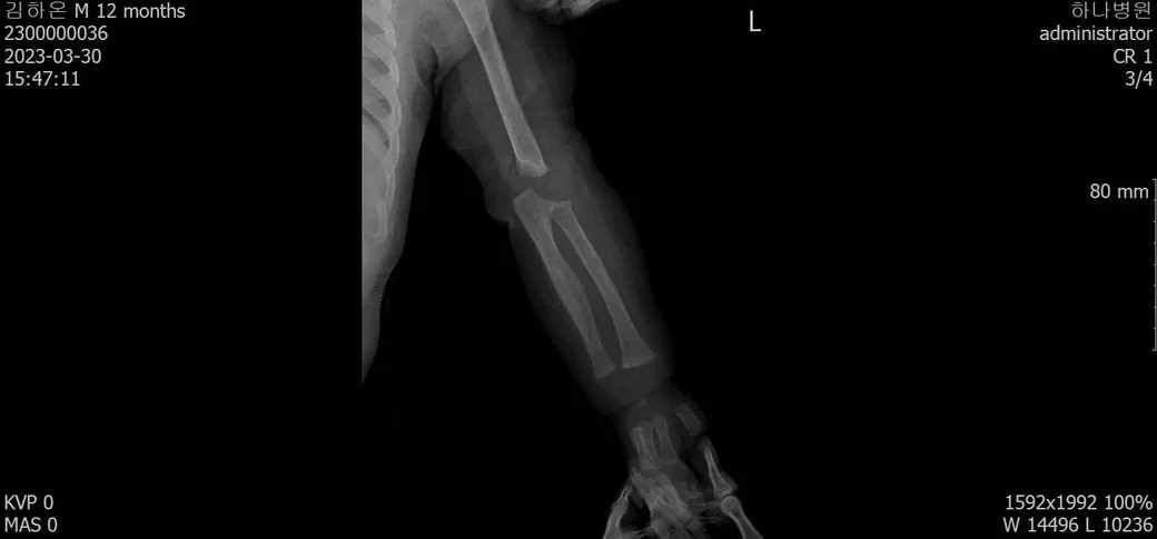
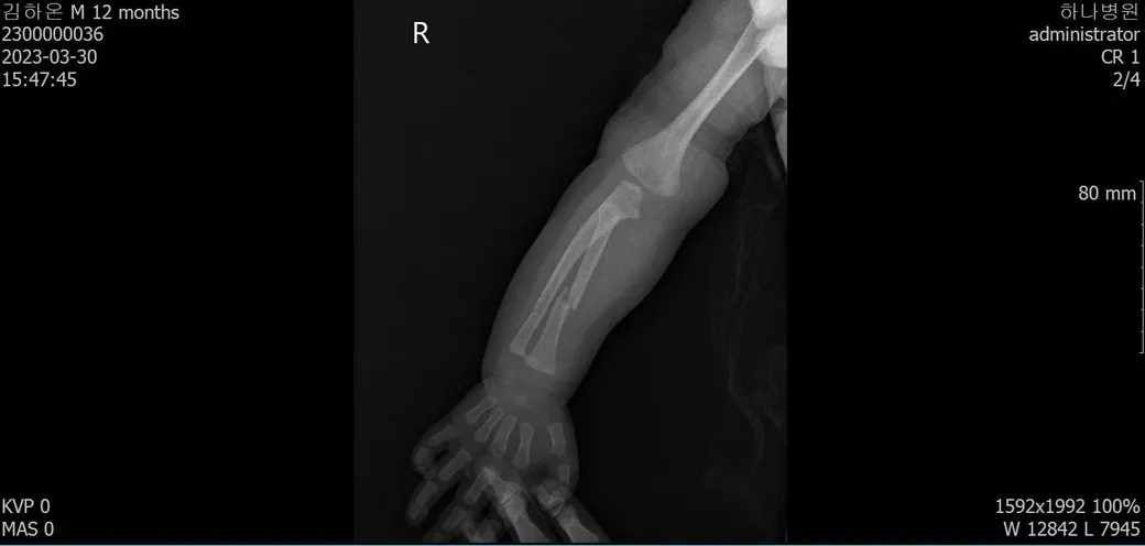
1) 3월 30일 촬영한 X-ray만으로 정확한 골절 시기를 100% 특정하는 데에는 한계가 있다는 점 충분히 인지하고 있기에 촬영날짜 기준으로 대략적으로 어느정도 시점에서 발생되었을 것으로 추측(ex 당일, 7~10일전, 7~14일 전, 10일 ~ 20일전, 14일 ~ 30일전 등등등)되는지 이해하고 싶습니다.

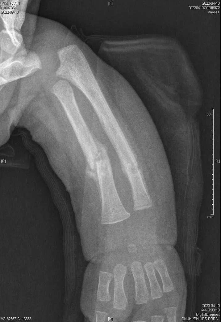
첨부드린 파일에도 있지만 4월 10일 사진에서는 유합 직전의 상당량의 켈로스 라는 것이 발견된다고 합니다.

100% 정확한 날짜를 지정하기를 요청드리는 것이 아니오라, 대략적인 정보를 원합니다

아무도 소견서나 의견 써주시는 분이 안계셔서 이곳에라도 도움 요청드리고자 합니다.

혹시라도 소견서 써주실 의사분 계시다면 지역이 어지간히 멀어도 방문하겠습니다. 감사합니다~~

대략적인 시기라도 달아주신다면 별점 5점에

응 원 박 스 반드시 보내드리겠습니다.

  • 1번 째 사진
  • 2번 째 사진
  • 3번 째 사진
  • 4번 째 사진
1개의 답변이 있어요!
  • 안녕하세요. 채홍석 가정의학과 전문의입니다.

    업로드해주신 증상의 설명과 자료는 잘 보았습니다.

    보호자분이 원하시는 것은 2023-03-30에 골절이 된 사진만 가지고 언제 골절이 되었는지 추정을 하고 싶다는 말씀이죠? 3번째 사진에서 주변살들이 많이 부어있거나 하지 않아서 시간이 어느 정도 지난 것으로 보이네요. 초기유합은 1-2개월 정도 걸리는 것으로 알려져 있는 것으로 알려져 있으니 그 정도를 생각할 수 있을 것 같네요. 추정일 뿐입니다.