의료상담
치과 파노라마 엑스레이 재신경치료 치아 사진 좀 보고 설명좀해주세요
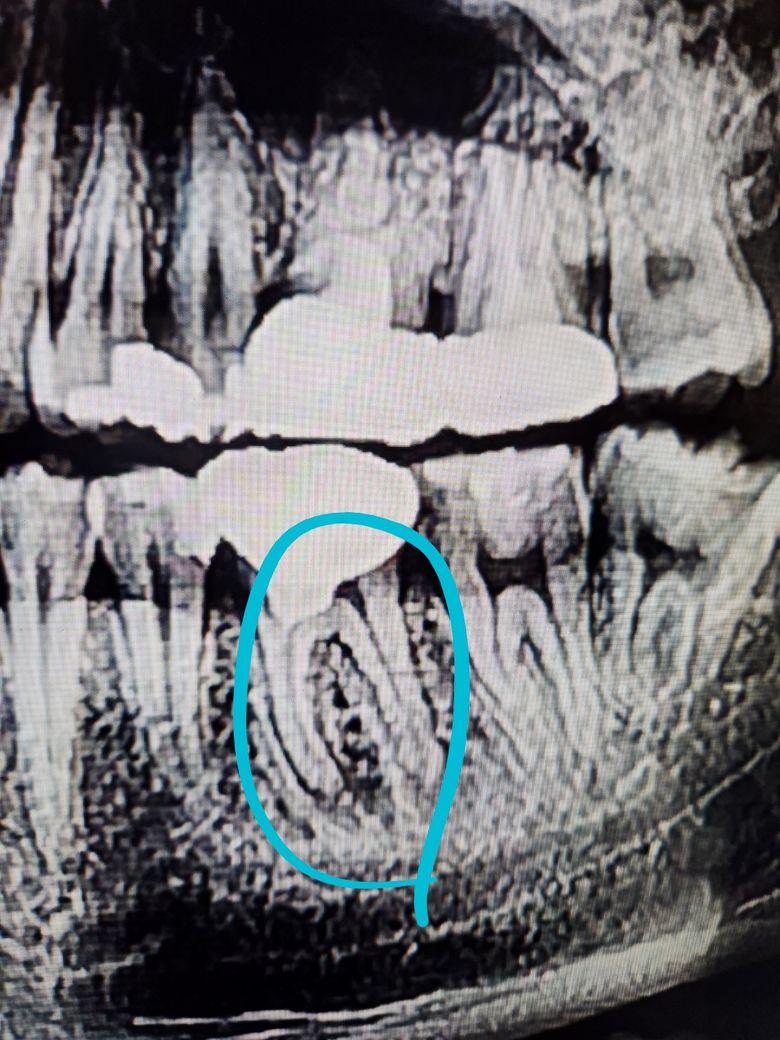
1. 치과 파노라마 엑스레이 좀 봐주세요 선생님들,,,
재신경치료해야해서 하늘색 동그라미 뿌리끝 염증인데 석회화로인해서 재신경치료 들어가야 합니다
사진 3장 각각 달마다 다른사진인데 염증이 커지는것같이 보이나요 아니면 다 비슷비슷하나요?
2. 재신경치아 바로 뒷어금니도 충치깊어서 같은방향인데 동시에 같이 신경치료 가능한가요?
55글자 더 채워주세요.
2개의 답변이 있어요!
안녕하세요. 정진석 치과의사입니다.
1. 사진 상으로는 염증이 커져보이는지에 대해서는 판단하기 어렵지만 염증의 경계가 불규칙한 것으로 보아 진행성으로 보여집니다. 치료를 하셔야 할 것으로 보입니다.
2. 일단 말씀하신 것 중에서 재신경치료라고 하지만 현재 2치아 모두 신경치료의 흔적은 없습니다. 신경치료 없이 크라운 및 치료를 한 것으로 보입니다. 따라서 재신경치료가 아닌 신경치료라고 보셔야 합니다.
아무쪼록 저의 답변이 문제 해결에 작게 나마 도움이 될 수 있기를 기원드립니다. 항상 건강하고, 행복하세요^^
정진석 치과의사 드림
안녕하세요. 김철진 치과의사입니다.
. 치과 파노라마 엑스레이 좀 봐주세요 선생님들,,,
재신경치료해야해서 하늘색 동그라미 뿌리끝 염증인데 석회화로인해서 재신경치료 들어가야 합니다
사진 3장 각각 달마다 다른사진인데 염증이 커지는것같이 보이나요 아니면 다 비슷비슷하나요?
-염증의 크기는 차이가 없어 보입니다.
2. 재신경치아 바로 뒷어금니도 충치깊어서 같은방향인데 동시에 같이 신경치료 가능한가요?
-동시에두개 신경치료가 가능하지만, 시간이 오래 걸리니 저는 일반적으로 나눠서 진행합니다.

