아핫뉴스실시간 인기검색어
아핫뉴스 화산 이미지
화산 아이콘 11
비트코인 폭락 경고
아하

의료상담

이비인후과

다소운좋은카나리아
다소운좋은카나리아

왼쪽 편도농양으로 입원, 그 후 계속되는 왼쪽 목 통증

성별
여성
나이대
20대

처음으로 편도염이란걸 걸리고 일주일 뒤 편도 농양(왼쪽 목)으로 심해져서

11/17 - 21일까지 입원치료 후 일주일 약복용하고 괜찮다는 교수님 진단 후 약중단 했습니다.

(농양 위치가 안좋아 수술까지 말씀하셨다가 항생제가 잘 맞아서 염증을 말라죽이는 중이라고 하셨습니다)

약 중단 후 다음주부터 갑자기 어느순간부터 침삼킬때 음식삼킬때 왼쪽 목 통증이 생겼다 없어졌다 합니다.

좀 많이 불편했던날 동네 이비인후과 방문했었는데 오히려 오른쪽 편도가 살짝 부었고 왼쪽은 이상 없으며 목감기일수 있으니 통상적인 항생제,진통소염제만 처방받았습니다.

그 이후 지금 거의 이주 지났는데 여전히 계속 아핐다 안아팠다 해서 하루에 한번씩은 약을 먹는 것 같습니다.

혹시 또 왼쪽 편도가 부어서 아픈건지,, 농양 걸렸던 사람들은 후에 계속 그런건지 궁금합니다ㅠㅠ 이비인후과 가도 별말은 없어서ㅠㅠ

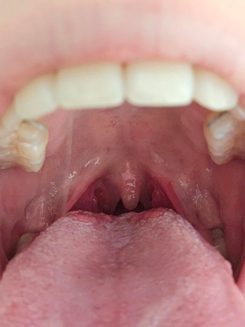
  • 1번 째 사진
  • 2번 째 사진
2개의 답변이 있어요!
  • 경과를 보면 재발성 편도농양 가능성은 높지 않아 보입니다.

    편도농양 후 2–4주 정도는 편도 주위 조직 염증 잔존, 신경 과민 또는 반흔성 당김, 삼킴 시 한쪽으로만 느껴지는 통증이 반복적으로 나타날 수 있습니다. 검사상 좌측 편도가 정상이라면 실제 재농양보다는 회복기 통증에 더 가깝습니다.

    다만 다음 경우에는 재평가가 필요합니다.

    • 통증이 점점 심해짐

    • 발열, 입 벌리기 어려움(개구장애)

    • 귀로 뻗치는 통증 지속

    • 목 외측 압통이나 붓기

    현재처럼 간헐적이고 약으로 조절되는 통증만 있다면 보존적 경과 관찰이 일반적입니다. 항생제를 반복 복용하는 것보다는 필요 시 진통소염제 위주로 조절하는 것이 더 안전합니다.

    편도농양 병력이 있는 경우 일부에서는 이후 편도 절제술을 고려하기도 하나, 반복 감염이 명확할 때의 이야기입니다. 현재 정보만으로는 수술 적응증은 아닙니다.

    정리하면

    • 재농양 가능성 낮음

    • 회복기 신경·조직통 가능성 높음

    • 악화 소견 없으면 경과 관찰 가능

    • 증상 변화 시 상급병원 이비인후과 재내원 권장

    지속 기간이 한 달 이상으로 늘어나거나 통증 양상이 변하면 CT 등 추가 평가가 필요할 수 있습니다.

    1명 평가
  • 농양이 생긴 이후에 일종의 후유증 마냥 증상이 일시적으로 발생하였을 가능성이 있어 보입니다. 일단 올리신 사진을 통해서 보았을 때에는 농양이나 심한 염증 소견 등이 따로 있어 보이지 않습니다. 일단은 약물을 복용하면서 조금 더 경과를 지켜보아도 무방할 것으로 사료되긴 합니다만, 상태에 대한 자세한 재평가를 희망한다면 치료를 받으셨던 병원에서 한 번 더 검진을 받아보시는 것이 도움이 될 수도 있겠습니다.