아하
  • 토픽

  • 스파링

  • 잉크

  • 미션


의료상담

탈퇴한 사용자

탈퇴한 사용자

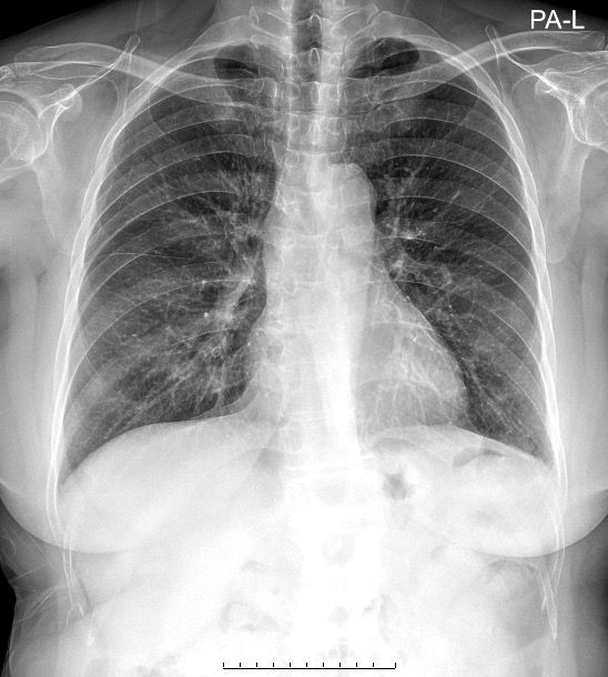
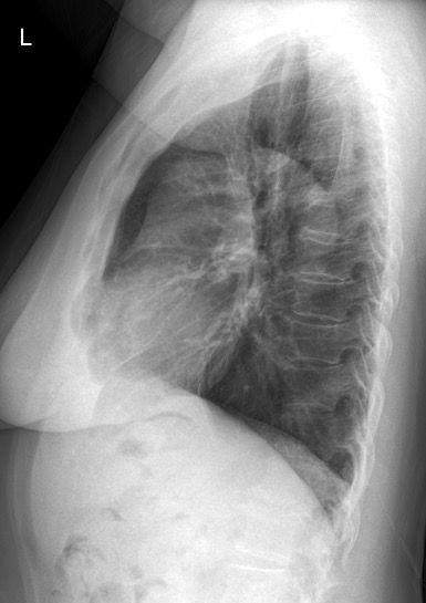
내과 엑스레이 소견 봐주세요..!!

성별

여성

나이대

70

내일 정밀 검사할 거긴 한데, 70대 여성으로 왼쪽 팔까지 통증 및 누워있을 때 통증이 더 심해지고 소화 불량, 토할 것 같은 느낌이 있습니다. 동네 병원 갔더니 큰 병원 가보라고 해서.. 이 사진 상으로 의심되는 게 있을까요?

  • 1번 째 사진
  • 2번 째 사진

1개의 답변이 있어요!

  • 옥영빈 의사

    옥영빈 의사

    홍성의료원

    올리신 사진의 엑스레이 소견에는 특별히 심각한 문제가 있어 보이거나 하지는 않습니다. 심장의 크기도 정상 범위로 보이며, 폐의 염증이나 기흉 등의 활동성 병변이 의심스럽거나 하지 않습니다. 엑스레이 소견만으로는 딱히 문제가 있고 어떠한 문제가 있는지 등 여부를 파악 및 판단하기 어렵겠습니다.