아하
  • 토픽

  • 스파링

  • 잉크

  • 미션


점잖은참매211

점잖은참매211

강아지 슬개골 탈구 엑스레이 봐주세요

반려동물 종류

강아지

품종

포메라니안

성별

수컷

나이 (개월)

9살

몸무게 (kg)

3

중성화 수술

1회

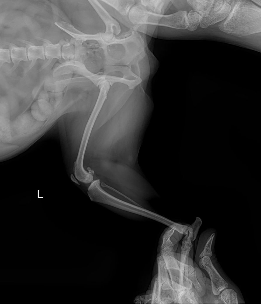
제 반려견이 다리 한쪽이 아파보여서 병원 데려갔는데 뒷다리가 슬개골 탈구 심하다고 3기에서 4기로 넘어가고 있다고 하더라구요 이제 슬슬 수술 할려고 하는데 철심을 박아야 한다고 하더라구요 선생님들이 봐주셨을 때 정말 심해보이나요?ㅠㅠㅠㅠㅠ 왼쪽 , 오른쪽 중 어디인가요 너무 놀라서 헷갈려요 ㅠㅠ

1개의 답변이 있어요!

  • 이은수 수의사

    이은수 수의사

    프리랜서

    안녕하세요. 이은수 수의사입니다.

    좌측 슬개골이 내측으로 탈구되어 있는 상태이며.

    외측상에서 슬관절 관절낭의 종창이 뚜렷하게 관찰되어 슬개골 탈구와 함께 십자인대의 부분적 손상 가능성이 강력히 의심됩니다. 주치의의 지시대로 빠르게 수술 진행하는게 도움이 됩니다.