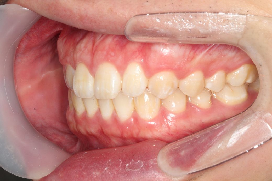
돌출입 인가요? 어떤상태인지 알고싶어요.
돌출입 인지 알 수 있을까요 뼈가 나온걸까요 치아가 나온걸까요 사진상으로는 판단하기 힘든가요 현재어떤 상태인지 대략적으로 알고싶습니다
심미적으로 비발치 교정이나 발치교정으로 효과볼수있나요?
안녕하세요. 이성영 치과의사입니다.
코 끝과 턱 끝을 연결한 선인 에스테틱 라인을 기준으로, 입술이 전방으로 돌출되어 보이는 상황으로 보입니다.
발치교정으로 앞니를 후방으로 당기거나 비발치 교정으로 전체 치열을 후방으로 당김으로써 돌출 정도를 완화할 수 있습니다.
대개 발치교정에 비해 비발치 교정시 돌출 개선 정도는 낮을 수 있습니다.
사진을 찍고 상담하기로 한 치과에서 담당 선생님과 충분한 상의 후에 치료 방법을 결정하시면 될 것으로 보입니다.
안녕하세요. 정진석 치과의사입니다.
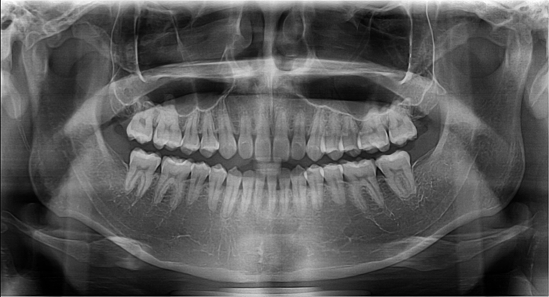
말씀하신 돌출입인지 아닌지는 연조직 사진 등도 모두 필요합니다. 지금은 골격적인 자료들만 있기 때문에 상악이나 하악의 발달 정도가 정상 범위에서 벗어나더라도 밖으로 보이는 연조직에서 차이가 있다면 돌출입이 될 수도 있고 안될 수도 있습니다. 따라서 지금의 자료로는 정확한 판단이 어렵습니다.
지금 자료로 보았을 때 심미적으로 비발치나 발치 교정을 하더라도 큰 변화는 기대하기 힘들 것으로 보입니다.
아무쪼록 저의 답변이 문제 해결에 작게 나마 도움이 될 수 있기를 기원드립니다. 항상 건강하고, 행복하세요^^
정진석 치과의사 드림
안녕하세요. 박종열 치과의사입니다.
아래 위 치아의 간격이 2mm 를 이상적인 거리로 봅니다.
많이 부정교합이 심한 편은 아니지만 환자가 볼때 입술이 튀어 나온 것 같아 신경이 쓰인다면 교정으로도 어느정도는 조절이 가능합니다.
발치/비발치 여부는 둘다 가능하니 교정하실 치과에 가셔서 상담 받아보시길 바랍니다. 감사합니다.

