홈
토픽
스파링
잉크
미션
전문가 신청
베리몰
나도 질문하기
의료상담
지금도짜릿한기린
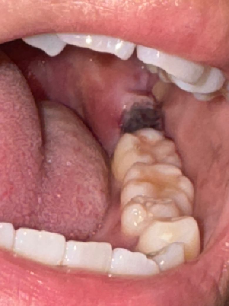
3일전에 뽑았는데 분명 어제 오후까진 사랑니자리에 피떡이 빈틈없이 차있었는데 어제 밤부터 빈틈이 보이더니
오늘은 약간절반정도?? 피떡이 사라진것같더라고요
잘 치유되는 과정인건지 궁금해요
두번 째 사진이 이틀차에찍은거고 첫번째가 오늘입니다
사진 보기
1개의 답변이 있어요!
정진석 치과의사
대학병원 통합치의학전문의
∙
안녕하세요. 정진석 치과의사입니다.
현재 사진이 흐릿해서 잘 보이지 않으나 정상적인 회복 과정으로 보여집니다. 드라이소켓이라면 발치 이후 2~3일 정도에 엄청난 통증이 동반됩니다. 현재 큰 통증이 없다면 걱정하지 않아도 됩니다. 또한 발치한 치아 주변 잇몸의 색과 모양으로 보아서 정상적인 회복 과정으로 보여집니다. 너무 걱정이 된다면 치아를 발치한 치과를 방문하여 한 번 더 점검 받아보시길 바랍니다.
평가
응원하기