아핫뉴스실시간 인기검색어
아핫뉴스 화산 이미지
화산 아이콘 11
홍익표 송언석 진상규명 공감
아하

의료상담

정형외과

붉은 한울
붉은 한울

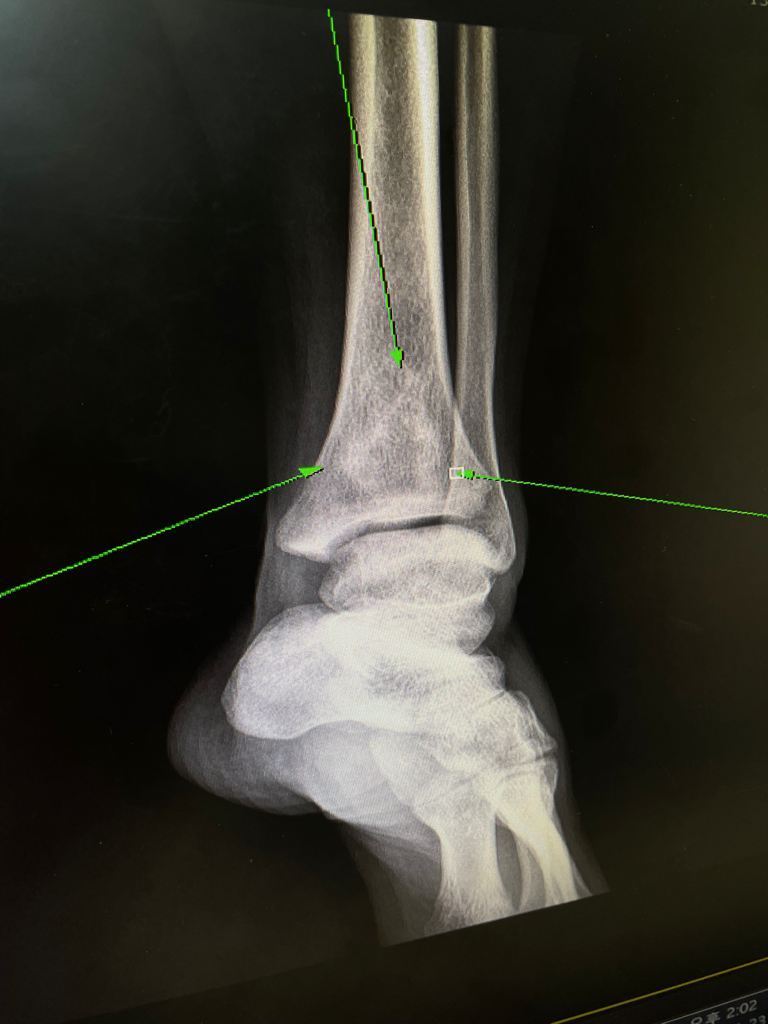
엑스레이 사진을 봐 주실 수 있나요? 대학 병원에 가야 하는지 궁금합니다.

성별
여성
나이대
20
기저질환
폐동맥 고혈압, 심장병 활로 4징
복용중인 약
폐동맥 고혈압

안녕하세요, 20살 여자입니다.


지난 6월달에 생긴 발목 통증으로 인해 근처 동네 정형외과를 내원하여 엑스레이를 찍게 되었습니다.


뼈 안에 무언가가 있던 모습인데, 병원엔 좀 더 지켜봐도 된다고 하시며 대학병원을 추천하셨습니다.


그러나 문득 궁금해지더라고요. 이 것을 그대로 두면 되는 건지.. 통증이 매번 찾아오고 바닥에 딛기 힘들만큼 심하기도 합니다.


- 대학병원에는 가야하나요?

- 위험한 경우인가요?

- 영남X학교 병원에 한번 내원하였는데, MRI를 전신과 발목 찍는 것으로 권유를 하셨었어요. 그러나 부모님이 찍지 않는 것으로 제안을 하셔서 두고 보는데 찾아오는 통증이 심하네요. MRl를 꼭 찍어야 할까요?



  • 1번 째 사진
2개의 답변이 있어요!
  • 해당 엑스레이 소견만으로는 알 수 있는 것이 많지 않습니다. 그렇기 때문에 더 정밀하게 파악하기 위해 MRI 검사를 권유하였을 것입니다. 증상이 지속된다면 문제가 있는 것을 의심해보아야 하며 현재까지 정보로는 명확하게 알 수 없기 때문에 대학병원에 가서 정밀한 검사를 통해서 정확한 감별 진단을 받는 것이 가장 먼저 필요해 보입니다.

  • 안녕하세요. 강성주 의사입니다.

    골내부 종양의 가능성 까지 있기 때문에 현재 통증이 있으시다면 발목 MRI부터 촬영을 하시어 내부 상태를 확인해 보시고 정확한 진단이 나올시 전신 질환에 대한 감별을 해보시는 것이 좋겠습니다.

    감사합니다.