아하
  • 토픽

  • 스파링

  • 잉크

  • 미션


의료상담

부대찌개3

부대찌개3

치과마다 이렇게 의견차이가 심할 수 있나요?




A치과에서는 사이충치 1곳 치료필요하고 사랑니 우측 하단 사랑니 1개 빼야한다고 했고 B치과 가봤더니 충치 8~9개 치료해야하고 사랑니도 4개 다 뽑아야한다고 하네요


과잉진료로 봐도 되는 정도인가요? 아니면 의사분들마다 의견차이가 이렇게 심할 수도 있는건가요?

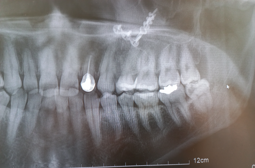
  • 1번 째 사진
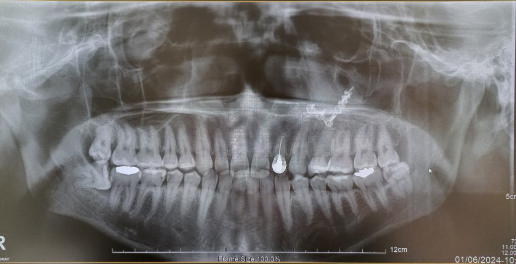
  • 2번 째 사진
  • 3번 째 사진

4개의 답변이 있어요!

  • 김지훈 치과의사

    김지훈 치과의사

    메가

    안녕하세요. 김지훈 치과의사입니다.

    사랑니는 치과의사마다 다를 수 있고 충치 갯수는 한곳으로 보이진 않고 다수가 보이고 있습니다.

  • 안녕하세요. 김철진 치과의사입니다.

    우측 하단 사랑니는 무조건 뽑아야되는 사랑니인거 같고 나머지 사랑니도 관리가 안될꺼 같으니 뽑으라고 말한거 같습니다. 그리고 엑스레이상으로 인접면 충치가 다수보이긴 합니다.

  • 안녕하세요. 안상우 치과의사입니다.

    치과치료 계획은 치과 마다 다를수 있습니다.

    충치는 진행 중인 충치와 정지된 충치가 있습니다 일반적으로 진행되는 충치는 빠른 치료가 필요하기 때문에 어느 치과 병원에든 충치 치료를 하는 것을 권유합니다.

    정지된 충치의 경우에는 더 이상 진행은 되지 않지만 충치기 때문에 치료계획에 포함되기도 하고 그렇지 않은 경우도 있습니다.

    이런 원인으로 의해서 치과마다 치료 계획의 차이가 있을 수 있습니다 치과는 여러 군데를 가보고 자신과 잘 맞는 곳에서 치료를 받는 것이 좋습니다.

  • 안녕하세요. 최석민 치과의사입니다.

    1. 치과마다, 치과의사마다 충치에 대해 치료가 필요할지 진단하는 기준은 조금씩 다를 수 있습니다.

    2. 충치에 대해서 보려면 파노라마 사진(큰 사진)보다는 작은 치근단 사진을 보는 것이 좋습니다.

    3. 사랑니의 경우 파노라마 사진 상에서는 아래 2개는 일단 뽑는 것이 좋을 것 같습니다. 특히 아래 우측 사랑니는 옆 어금니에도 영향을 주고 있기 때문에 너무 늦지 않게 뽑는 것이 좋을 것 같습니다.