아하
  • 토픽

  • 스파링

  • 잉크

  • 미션


의료상담

더없이명쾌한자칼

더없이명쾌한자칼

25.06.11

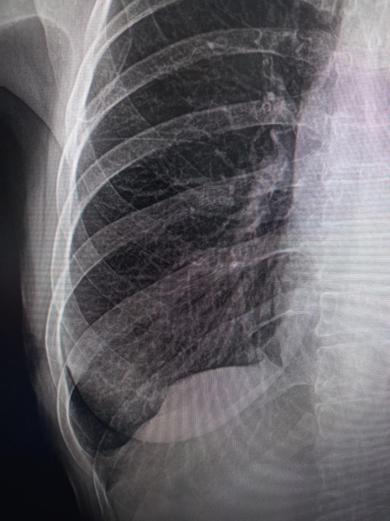
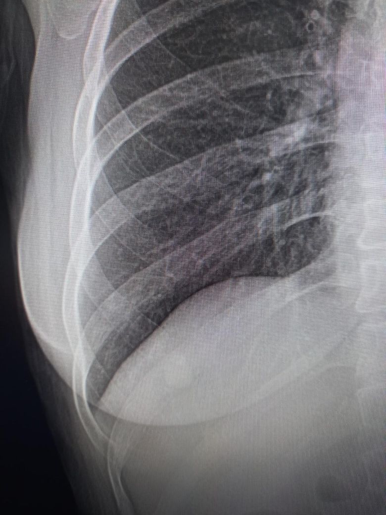
72세 흉부 엑스레이 사진 봐주세요.

성별

여성

나이대

72

기저질환

고혈압,고지혈증

전후 사진입니다. 전 사진은 약 1년전 사진이고요 오늘 찍은거랑 비교해봤을때, 선생님께서 우측 하복부 늑막변형 소견이라 큰병원가서 흉부CT찍어보라는데요 위암1기 (1기중에서도 초기) 전절제 한지 18개월차인데 전이일 수 있나요? 평상시 통증이나 체력 저하 등 달라진건 전혀없으시고 식사,운동 잘하십니다

  • 1번 째 사진
  • 2번 째 사진

1개의 답변이 있어요!

  • 최성훈 내과 전문의

    최성훈 내과 전문의

    고려병원

    25.06.11

    안녕하세요. 최성훈 내과 전문의입니다.

    모니터를 핸드폰으로 찍으셨는지 올려주신 사진의 경우 해상도가 떨어집니다.

    우측 하복부 늑막변형 소견에 대해서는 좀 더 자세한 검사를 위해 흉부CT 검사를 권합니다.

    초기 위암 병변을 전절제 한 경우 위 내시경 검사의 확인이 필요하겠으나 전이 가능성은 낮을 것 같습니다.