아하
  • 토픽

  • 스파링

  • 잉크

  • 미션


의료상담

언제나환영받는삼겹살

언제나환영받는삼겹살

24.11.18

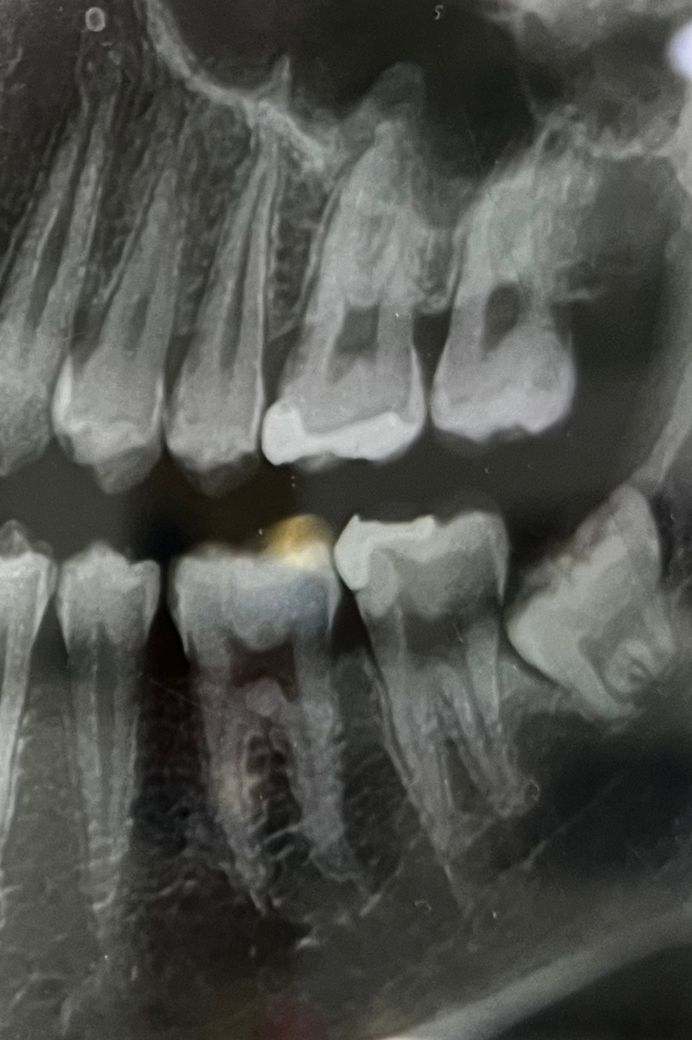
이 사진에서 충치가 확인가능한가요?

이 사진에서 충치가 있나요? 있다면 어디에 있는지 좀 알러주시면 감사하겠습니다. 제가 가는 치과에 의사는 없다는데 계속 아파서요.

  • 1번 째 사진

4개의 답변이 있어요!

  • 김지훈 치과의사

    김지훈 치과의사

    메가

    24.11.19

    안녕하세요. 김지훈 치과의사입니다.

    현재 통증이 크게 느껴진다면 사랑니과 사랑니 앞의 치아 사이가 가장 의심되고 사랑니를 빼시는 게 좋아보입니다.

  • 안녕하세요. 송우식 치과의사입니다.

    충치는 없는 것으로 보입니다. 사랑니가 묻혀 있어 이 사랑니 때문에 아픈 증상이 나타날 가능성이 높습니다. 일단 먼저 사랑니 뽑는 것을 추천합니다.

  • 안녕하세요. 김철진 치과의사입니다.

    사진상으로 의심되는 부분은 아래쪽 사랑니 포함 뒤에서 4번째 치아 뒤쪽으로 충치가 많이 진행된것처럼 보입니다. 작은 사진을 한번 찍어보시는게 좋을것같습니다 .

  • 안녕하세요. 최석민 치과의사입니다.

    아래 두번째 큰 어금니 뒷면이 충치가 의심됩니다. 옆에서 매복되어 있는 사랑니가 영향을 주고 있을 확률이 큽니다. 다른 치과에서도 진단 받아보세요.