아하
  • 토픽

  • 스파링

  • 잉크

  • 미션


의료상담

비상하는 올빼미862

비상하는 올빼미862

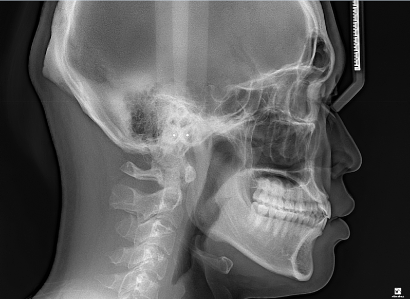
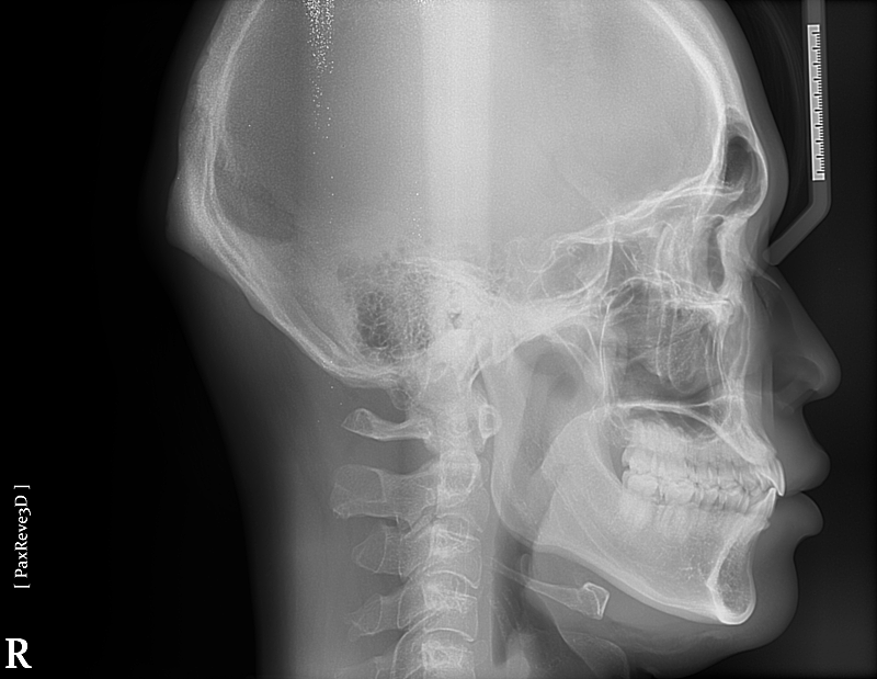
턱이 나오거나 돌출된건가요??

1.제 턱이 정상사람 보다 앞으로 나오거나 돌출된 건가요???




2.이런 얼굴은 발치교정하면 얼굴이 길어보일 수 있나요????







  • 1번 째 사진
  • 2번 째 사진

2개의 답변이 있어요!

  • 정진석 치과의사

    정진석 치과의사

    대학병원 통합치의학전문의

    안녕하세요. 정진석 치과의사입니다.

    1. 말씀하신 것은 연조직까지 같이 평가해야 합니다. 골격상에는 앞으로 튀어나왔다고 하더라도 연조직에서 그렇게 보이지 않을 수 있습니다. 또한 계측된 값들이 필요하며 교정치과 방문 후 수치를 알아보시길 바랍니다.

    2. 발치 교정을 통해 얼굴이 길어질지는 안모에 대한 자료도 필요합니다.

    아무쪼록 저의 답변이 문제 해결에 작게 나마 도움이 될 수 있기를 기원드립니다. 항상 건강하고, 행복하세요^^

    정진석 치과의사 드림

  • 안녕하세요. 김철진 치과의사/경제·금융전문가입니다.

    사진상으로는 아래턱이 크게 문제가 있어 보이진 않습니다. 궁금하시다면 교정진단을 통해서 정상범위에서 얼마만큼 차이가 있는지 확인할수 있습니다.