의료상담
55글자 더 채워주세요.
1개의 답변이 있어요!
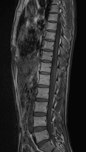
안녕하세요. 남희성 의사입니다.
이런 경우에 골절이 아닌지 오해하시는 경우가 많은데 골절이 아닙니다.
골절의 경우에는 T1 영상에서 조영이 떨어지고 fat suppression T2 영상에서 조영이 증가하는 소견을 확인해야합니다.
골절이 아니면 왜 저렇게 보이는지 까지는 제가 잘 모르지만 저 소견을 이상소견으로 보이는 않습니다.


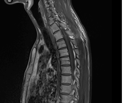
안녕하세요. 남희성 의사입니다.
이런 경우에 골절이 아닌지 오해하시는 경우가 많은데 골절이 아닙니다.
골절의 경우에는 T1 영상에서 조영이 떨어지고 fat suppression T2 영상에서 조영이 증가하는 소견을 확인해야합니다.
골절이 아니면 왜 저렇게 보이는지 까지는 제가 잘 모르지만 저 소견을 이상소견으로 보이는 않습니다.