의료상담

척추 mri 찍었는데 상체 부분쪽 중간에 하얀색 음영은 뭔가요?

성별

남성

나이대

30대

엠알아이 판독중에 마지막 척추 뼈? 거기 약간 조금 디스크 있다그러고 수술할정도는아니고

심각한건 아니라고 하는데

근데 갑자기 사진 넘겨보시더니 상체부분에 척추 디스크 앞부분에 하얗게 보이는거 이거

판독선생님한테 한번 물어볼게요 하고 5분뒤에

판독선생님이 골절은 아니라고 하네요 라고 하시던데.. 혹시

내장기관이라던지 다른 기관에 암같은 거일수도있나요?... 어느 부위인가요? 혹시?

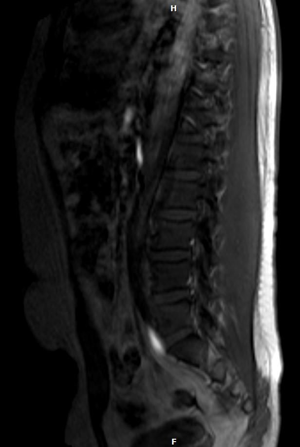
두사진 첫번째 사진이요 딱봐도 하얀색 위에 보이실겁니다.

  • 1번 째 사진
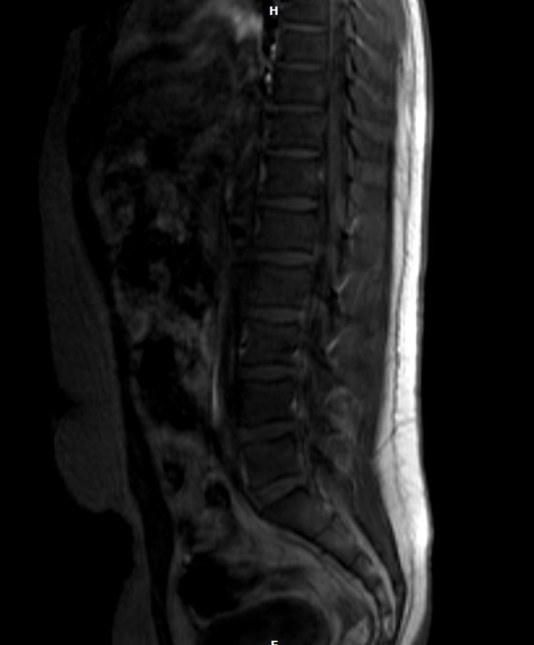
  • 2번 째 사진

4개의 답변이 있어요!

  • 안녕하세요. 송진희 물리치료사입니다.

    결론부터 말하면, 그 "하얀 부분"이 암일 가능성은 매우 낮습니다.

    MRI에서는 지방, 혈관, 조영 반응, 정상 구조도 밝게 보일 수 있어 색만으로 판단하지 않습니다.

    의사가 "골절 아님"이라고 확인했다면 뼈 문제는 배제된 것이고, 우연히 보이는 정상 조직일 가능성이 큽니다.

    정확한 건 판독지에 명시되니 결과에 이상 없으면 걱정하지 않으셔도 됩니다.

    답변이 도움 되셨길 바랍니다!! 감사합니다~

  • 안녕하세요. 신미소 물리치료사입니다.

    올려주신 MRI처럼 보이는 흰색 음영은 대부분 정상적인 체액이나 주변 연부조직, 혈관구조로 보이는 경우가 많습니다. 특히 척추 앞쪽이나 가운데 보이는 밝은 부분은 장기나 지방층, 체액 신호일수 있습니다. MRI는 단면을 보는 검사라 각도에 따라 평소 안보이던 구조가 강조되어 보일수 있습니다. 병원에서 골절아니고 심각하지 않다라고 했다면 급한 움ㄴ제일 가능성이 낮습니다. 암 같은 경우에는 보통 모양이 불규칙하거나 주변조직 침범 소견이 동반되는데 그런설명이 없었다면 가능성은 낮습니다. 지금단계에서는 과도한 걱정보다는 정식 판독 결과지를 확인하는것이 가장 정확합니다!

  • 안녕하세요. 김현태 물리치료사입니다.

    언급해주신 부위 주변의 음영은 골절 소견이 아니라면 큰 이상이 있거나 우려하시는 것과 같이 암과 같은 종양의 가능성은 낮을 것으로 생각됩니다.

    척추 앞을 지나가는 대동맥과 같은 혈관 부위이거나 척추 앞쪽에 위치하는 인대와 같은 구조물일 수 있으며, 보다 정확한 소견은 주치의분이나 판독의분께 확인받으시는 것이 좋겠습니다.

  • 두 장의 MRI 영상을 확인했습니다. 말씀하신 첫 번째 사진의 상부 흉추 레벨, 척추 앞쪽(전방)에 위치한 밝은 고신호 음영이 보입니다.

    먼저 결론부터 말씀드리면, 이 음영 하나만 보고 암이라고 단정할 수 없고, 오히려 양성 원인일 가능성이 더 많습니다. 다만 정확한 판단을 위해 몇 가지 중요한 맥락이 필요합니다.

    MRI에서 하얗게 보이는 음영, 즉 고신호 병변이 척추 전방에 위치할 때 감별해야 할 원인들은 다음과 같습니다. 가장 흔한 것은 혈관 기형이나 혈관종(Hemangioma)으로, 이 경우 T2 강조 영상에서 밝게 보이고 완전히 양성이며 치료가 필요하지 않은 경우가 대부분입니다. 두 번째로 대동맥이나 주변 혈관의 단면이 특정 시퀀스에서 밝게 보일 수 있습니다. 세 번째로 식도 주변 구조물이나 림프절이 특정 조건에서 고신호로 보일 수 있고, 네 번째로 낭종(Cyst) 류도 T2에서 밝게 보입니다. 악성 병변의 경우 일반적으로 경계가 불규칙하고 주변 조직을 침범하는 양상을 보이는데, 제가 보이는 영상에서는 비교적 경계가 있어 보입니다.

    판독의가 "골절은 아니다"라고 했다는 것은 뼈 자체의 문제는 아니라는 의미이고, 담당 의사가 의심스러웠다면 그 자리에서 바로 추가 검사를 권유했을 것입니다. 그러나 판독의에게 "다시 한번 물어보고 오겠다"고 한 뒤 골절 여부만 확인하고 마무리된 것은 다소 아쉬운 상황입니다.

    제가 드리고 싶은 말씀은, 이 음영이 정확히 무엇인지는 MRI 전체 시퀀스(T1, T2, 조영증강 여부 등)와 두께, 위치, 경계를 종합해서 판단해야 하므로 지금 제가 드릴 수 있는 답변의 한계가 분명히 있습니다. 다음 외래 때 담당 의사에게 "저 음영이 정확히 어떤 구조물인지, 추가 확인이 필요한지" 직접적으로 질문하시는 것을 강력히 권합니다. 불안하시다면 영상의학과 전문의에게 정식 판독 소견서를 받으시는 것도 방법입니다. 걱정되는 마음은 충분히 이해되지만, 지금 보이는 소견 하나만으로 암을 걱정하실 단계는 아닙니다.