아하
  • 토픽

  • 스파링

  • 잉크

  • 미션


의료상담

유쾌한줄나비209

유쾌한줄나비209

발가락 뼈에 금이 감 - 골절(사진有), 뼈도 원래 붓나요?

성별

남성

나이대

30

안녕하세요.

https://www.a-ha.io/questions/493b1a51f0c4c549affaa742d67ffe98

지난 번에 산재 관련해서 한번 문의 드렸던 내용인데

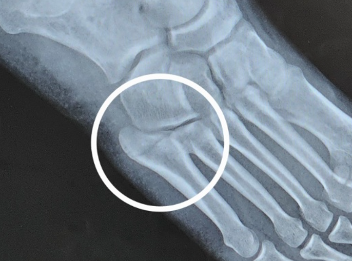
위 사고로 발가락 뼈 골절이 되었습니다.

발가락이지만 돌출된 발가락 말고 발등? 발날? 쪽으로 새끼발가락 긴 발가락이 골절되었고

반깁스 4주 하고 아직 중심이 우측 발날쪽으로 쏠리면 가벼운 통증이 있고

엑스레이 상에는 아물고 있지만 덜 아문 상태입니다.

제가 궁금한건 뼈도 원래 붓나요?

저렇게 톡 튀어 나와 있고 다친 발은 오른발인데 왼발과 비교해보면 확실히 튀어나와 있습니다.

위 사진 부위가 복사뼈처럼 톡 튀어나와 있고 일반 혈액으로 붓기라고 하기엔 딱딱해서 문의드립니다.

뼈가 붓는게 아니라면 이상하리만큼 많이 아물어서 커진건가여..?

병원에 다시 가보는게 맞을까요ㅠ

  • 1번 째 사진
  • 2번 째 사진

2개의 답변이 있어요!

  • 배병제 의사

    배병제 의사

    국제성모병원

    안녕하세요. 아하(Aha) 의료분야 답변자 외과 전문의 배병제입니다.


    말씀하신대로 골절이 발생할 정도의 부상이라면 뼈와 그 주변의 조직에도 부종이 발생할 수 있습니다. 그러므로 부어오른 정도는 점차 가라앉을 수 있습니다.

    저의 답변이 부족하겠지만 조금이나마 도움이 되셨길 바랍니다.

  • 안녕하세요. 남희성 의사입니다.

    골절되면 다시 회복이 되는 붙는지 여부가 궁금하신건지 아니면 골절후에 주변에 부종이 생기는 붓는게 궁금하신건지 모르겠습니다.

    골절되면 당연히 다시 붙습니다. 다만, 지금 골절되신 부위는 뼈가 붙지 않는 불유합이 되는 경우가 종종 있어서 추후에 다시 엑스레이를 찍고 유합 여부를 확인 후 수술이 필요할 수 있는 부위입니다.

    골절이 되면 당연히 그 주변에 부종이 생깁니다.

    해당 부위 주변이 부어있는건 전혀 문제있는 상황이 아닙니다.