법률
교정치료 이후 스크류(교정 보조장치)가 부러진 채로 그대로 박혀있다고 합니다 보상 받을 수 있을까요?
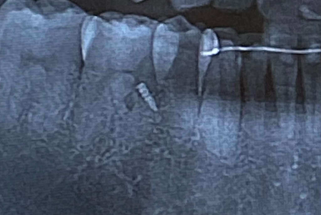
교정을 마무리한지 2년정도 되었습니다. 그런데 최근 치아 교정으로 인한 기능적인 불편함이 생겨서 재교정을 위하여 다른 치과 방문 후 x-ray를 찍어보니 교정 보조장치인 미니스크류가 부러진채로 그대로 잇몸 안에 박혀있다는 이야기를 들었습니다.
수술적 방법으로만 제거가 가능한 상태이고 CT추가 촬영 이후 소견으로는 제거를 하다가 치아 뿌리에 손상을 줄 수 있는 위치라고 합니다.
당장은 문제가 없지만 후에 염증반응이 일어날 수 있고 그 경우엔 스크류 나사가 부러진채 박혀있는 상태라 반드시 수술을 진행해야 하는 상황이라고 하는데요.
치과 측에서 스크류를 그냥 남겨뒀을리는 없고 게다가 저 스크류가 부러진 채 남아있다고 하니 치과측 실수라고 밖에는 할 수 없는 상황이라고 생각이 되어서 합당한 보상을 요구하려고 합니다.
의료사고로 보상 받을 수 있을까요?
55글자 더 채워주세요.
2개의 답변이 있어요!
안녕하세요? 아하(Aha) 법률 상담 지식답변자 김성훈 변호사입니다. 질문하신 내용에 대하여 아래와 같이 답변 드립니다
아래 내용은 문의내용에 기초하여 작성된 것으로, 구체적인 사정에 따라 달라질 수 있습니다.
기재된 내용상으로는 의료과실이 인정될 여지가 있어 보여 병원측에 배상청구를 할 수 있을 것으로 판단됩니다.
안녕하세요. 이성재 변호사입니다.
좀 더 구체적인 사실관계를 살펴보아야 하나 해당 다른 의사의 소견상 의료상 과실로 볼 수 있는 경우 해당 치과병원 또는 의원측에 치료비 상당의 손해배상 청구를 고려해 볼 여지는 있겠습니다.

