전문가 프로필
프로필
답변
잉크
잉크 내역
전체
의료상담
경제
학문
의료상담
넘어져서 치아가 손상되었다면
안녕하세요 목동안치과의 안상우 원장입니다.오늘은 치아가 원치않은 충격으로 깨지거나 빠지게 되면 어떻게 해야 하는지에 대해서 알아 보려고 합니다.치아에 손상이 가해지는 원인은 여러 가지가 있을수 있어요.넘어졌을 수도 있고 사고가 날수도 있구요또한 과격한 운동을 하다가도 치아에 손상이 가해질수 있어요당연히 치아에 손상이 가해지지 않은것이 제일좋겠지만 불가항적인 원인으로 치아에 손상이 가해진다면 정말 마음으로나 심적으로나 상실감이 클수 있습니다.치아가 외부충격으로 손상을 받았을 경우에 어떻게 조치를 해야 할지 알아보겠습니다.자 일단 치아에 충격이 가해졌다면 손상된 범위를 확인하셔야 합니다.치아가 부분적으로 파절되고 흔들리지 않는다면 우선 안도할수 있습니다.이런경우에는 파절된 범위에 따라 파절된 부위를 메꿔주거나 보철치료를 하면되요.근데 치아에 충격이 많이 가해져서 치아가 흔들리거나 빠진다면 이건 매우 걱정해야 하는상황이 발생할수 있습니다. 치아를 상실할수도 있다는 것이지요.그럼 치아가 많이 흔들리거나 충격에 의해서 빠졌다면 어떻게 해야 할까요?치아가 충격에 의해서 빠졌을때 다음 3가지 단계를 지키셔야 합니다.외부 충격으로 인해서 치아가 빠지게 된다면 치아 표면이 감염되고 건조되지 않도록 하는 일입니다.제일 우선적으로 해야할것이 치아주변의 이물질이 제거되도록 치아 표면에 묻은 이물질을 깨끗하게 제거해야 합니다제거할때는 치아의 머리를 잡고 치아 뿌리쪽에 힘이 가해지지 않도록 흐르는 물에 씻어야 해요.치아 뿌리 주변엔 치주인대라고 하는 치아와 잇몸뼈를 연결해주는 조직이 있습니다.이 치주인대는 잇몸뼈에 위치시켰을때 치아뿌리와 잇몸뼈가 재생될수 있도록 하는 매우 중요한 조직입니다.깨끗하게 씻는다고 이부위에 손상이 가해지게 되면 치주인대조직이 손상받게 되어 재위치 시켰을때 회복 되지 않을수도 있어요.치아를 깨끗하게 세척을 했다면 다음 과정은 치주인대가 손상되지 않도록 보존해야 합니다.빠진치아의 치주인대가 보존하기 위해서는 몸과 제일 비슷한 환경에 보존을 해야 합니다우선 제일 좋은 방법은 치아가 깨끗하다는 전제하에 치아를 빠졌던 부위로 재위치 시키는것이 제일 좋습니다.이것은 치아가 빠져서 치아 뿌리 주변이 외부물질에 닿거나 하지 않은 상태여야 해요.약간 탈구된 상태에서는 치아를 살짝 밀어넣어서 고정시킬수 있는 방법도있습니다.이런경우에는 적절한 운반액에 보관을 해야 합니다.이 운반액에는 제일 좋은 방법은 몸의 삼투압과 같은 생리식염수에 보관을 하는것입니다. 그다음으로 좋은 방법은 우유나 물에 보관을 할수도 있어요.치아 뿌리표면이 건조되지 않도록 하는것이 제일중요합니다.그 다음에 하실일은 최대한 빨리 가까운 치과나 응급실로 달려가세요시간이 생명입니다.치아뿌리의 표면의 치주인대가 잘 유지 된다면 병원에서 손상정도를 판단하고 세정과 소독을 해서 잇몸뼈에 재 위치를 시키게 되요.이후에 치아를 주변치아와 고정시킵니다.이미 치아 안의신경은 생활력을 상실하기 때문에 감염에 의해서 괴사될수 있어서 신경치료를 같이 진행하게 됩니다.치아가 빠질정도의 충격이 가해져도 치아 뿌리의 인대가 잘 남아 있고 치조골의 손상이 적으며 감염이 되지 않으면 원상태로 치조골과 결합되는 경우도 있습니다.우선적으로 치아의 손상이 발생하지 않도록 하는것이 제일 중요하지만 어쩔수없이 치아가 외부충격으로 인해서 흔들리거나 파절이 되었다면 빠른시간에 적절한 조치를 취하셔야 합니다 가까운 치과병원에서 진료를 받는것이 좋습니다.막상 치아가 빠지는 황당한 상황에 처하게 되면 아무것도 생각이나지 않기 때문에 미리 숙지를 하고 있는것이 좋아요.
25.03.08
12
1
1,683
의료상담
치아색을 밝게 하는 미백이란
치아의 색을 흰색으로 알고 계신분들이 많습니다.하지만 치아의 실제 색을 약간 아이보리 색을 하고 있어요.현대에 들어서 치아의 색이 밝은것을 선호하는 경우가 많습니다.이럴때 치아를 밝게 만들수 있는 술식이 있습니다.바로 미백이라는술식이에요.착색이 되는 원인은 여러가지가 있지만 가장 흔한것이 치아 내부에 착색이 되는 유기물질이 쌓이기 때문입니다.또한 나이가 들어가면서 치아 내부로 부터 축적되는 물질에 의해서 치아 색이 어두워지게 되요.결국 이 유기물질은 없애준다면 치아색을 밝게 만들수 있습니다우리가 빨래를 할때 표백제를 사용하는것과 같은원리에요.표백제는 화학작용을 통해서 때를 분해하고 하얀색을 만드는 약제를 통해서 옷을 밝게 만들어 줍니다.치과에서 이 표백제의 기능을 하는것이 과산화 수소수를 사용하게 됩니다.빨래를 할때 표백제를 사용하듯이 과산화수소를 이용해서 치아내부의 유기물질을 제거하고 색을 밝게 만들어 주는거죠.치과에서 사용하는 과산화수소의 농도는 35%정도 되는데 매우 높은 농도에요.실제로 이 약제가 피부에 잠깐만 닿아도 피부색이 하얗게 표백이 되고 따갑습니다.연조직에 닿았을경우에 화학적인 화상을 입을수 있기 때문에 치과진료실 내에서 연조직에 닿지 않도록 매우 조심히 사용하게 되요.나이가 들면서 어두워지는 치아는 미백의 효과가 매우 좋습니다하지만 미백을 한다고 모든치아가 밝아지는것이 아닙니다.착색을 일으키는 원인중에서 유아기때 치아 발생기에 테트라 사이클린계열의 약제의 영향을 발생시에 치아자체가 착색이 되는경우가 있어요.또는 아말감등이나 수복물에 의해서 착색이 된 치아는 미백으로 색을 밝게 만들수 없기 때문에 추가적인 치료가 필요할수 있습니다.미백을 하는 약제는 매우 높은 농도이기 때문에 치아에 일시적으로 통증을 유발하는경우가 있습니다. 하지만 치아 자체에는 영향을 미치지 않기 때문에 통증이 심하다면 타이레놀과 같은 간단한 진통제를 드시면 됩니다.미백종류중에서 집에서 자가로 하는 미백방법도 있습니다.자가로 하는 미백제의경우에는 치은에 손상을 발생시키지 않기 위해 4%정도의낮은농도의 과산화수소를 사용하기 때문에 치과에서 받는 미백보다 효과가 낮아요.자가 미백은 치과에서 받는 미백과 같이 받을때 효과가 더 좋아지게 됩니다.또한 미백치약도 있는데 이백치약에 들어있는 솨산화수소의 농도는 3%이내 이에요 이렇게 낮은 과산화 수소가 치약의 계면활성제와 침, 물과 같이 섞이게 되면 거의 효과를 보기 힘듭니다.
25.03.06
4
0
1,813
의료상담
크랙
안녕하세요 안원장 입니다.오늘은 치아에 금이 갔을 경우에 어떤 치료를 받아야 하며 예후는 어떤지에 대해서 알아볼꺼에요.치아의 금은 크랙(Crack)이라고도 합니다.치아에 과도한 힘이 가해진다면 순간적으로 치아에 금이가는 경우가 있어요.이런 금이 진행되는 정도는 가해진 힘과 치아의 강도에 따라 달라요.치아에 금이 생기는 형태는 다음과 같아요치아의 머리와 뿌리 부위에 부분적으로 금이가는 형태 머리부터 뿌리까지 진행된 형태그리고 뿌리에만 금이 가는 형태등이 있습니다.금이 어느정도까지 갔는지에 따라서 치료 방법이 달라지게 됩니다.치아에 금이 많이 가지 않은경우에는 증상이 없는 경우도 있습니다.하지만 금이가서 치아안의 신경까지 진행을 해서 신경을 자극하거나 치아의 뿌리까지 진행을 하게 되어 치주인대를 자극하게 되면 통증을 일으키게 됩니다.치아 안에 금이 가서 통증을 느끼게 되면 어떤치료를 받아야 할까요?우선 치아의 금이 신경까지는 진행을 했지만 치아 뿌리까지는 진행을 안했을 경우 입니다.이런경우에는 금이 간부위를 제거하고 신경치료를 해서 통증을 줄일수 있습니다.통증과 금이간 부위를 제거한 치아는 크라운이라는 치료를 하게되요.크라운이란 치아 전체를 감싸는 치료로써 신경치료로 인해서 약해진 치아를 보호하기 위한 치료방법입니다.치아의 금이 치아의 뿌리나 치주인대로 진행이 되지 않으면 예후는 좋은 경우가 많습니다.둘째로는 금이 다음과 같이 머리와 뿌리까지 진행된 상태입니다.이런경우에는 원칙적으로 발치를 하는것이 우선적인 치료방법이 됩니다.왜냐하면 치료를 해도 예후를 확신하기가 힘들기 때문이에요.하지만 치아를 보존하기 위한 몇가지 조치를 취해 볼수 있어요.우선 통증의 원인이 되는 신경치료를 먼저 하게 됩니다.금이 뿌리 아래까지 진행되어 있을 경우에는 금을 완전히 제거할수 없기 때문에 치료에 제약이 많습니다.대부분은 신경치료를 하고 치아에 힘이 가해지지 않게 하면 대부분 통증이 줄어들게 되요.신경치료를 했기 때문에 이전보다 통증은 줄어들지만 인대의 손상으로 인해서 미세한 통증이 있을수 있어요이런 통증이 시간이 지나면서 줄어든다면 치아를 뽑지 않은 상태에서 크라운을 씌워서 사용할 수 있습니다.금이 가서 신경치료에도 불구하고 통증이 지속되는 경우에는 치아 뿌리의 인대가 손상이 많이 되었다는 것이기 때문에 발치를 해야 합니다.따라서 금이 가지 않도록 주의 하는것이 좋아요.유리에 금이간뒤에 두드리면 금이 진행하듯이 치아도 한번생긴 금은 없어지지 않고 힘이 가해질때 마다 진행되는 경우가 많아요.그래서 금이간 치아는 예후가 불확실 하기 때문에 기본적으로는 발치가 치료방법이 되는 경우가 많습니다.금이간 뒤에도 치료를 하고 치아에 가해지는 하중을 줄이는 습관을 가진다면 오래 사용하는 경우도 있어요.치아에 불필요한 힘이 들어가지 않도록 식사를 할때 이외에는 치아에 힘이 들어가지 않는 습관을 가져서 치아가 손상되는것을 방지하세요.
25.03.01
12
0
1,246
의료상담
이 3가지 증상이 있다면 잇몸이 망가지고 있는것 입니다.
안녕하세요 안상우 원장입니다. 오늘은 잇몸이 망가지고 있다는 3가지 증상에 대해서 설명해드리려고 해요잇몸은 한번 망가지게 되면 치아를 상실하게 될수 있기 때문에 이런증상들을 초반에 확인을 하고 치료를 한다면 치아가 상실 하는것을 방지할수 있습니다. 첫번째는 잇몸에 붓기가 있는것입니다. 정상적인 잇몸은 부어있지 않고 단단한 형태를 하고 있어요.일단 잇몸에 염증이 생기면 우리몸에서 혈액이 모이게 됩니다. 왜냐 하면 혈액안에는 면역세포들이있기 때문이에요.이 면역세포들이 잇몸에 있는 감염물질을 제거하기 위해서 혈액과 같이 모이게 되는데 이런 이유도 잇몸이 붓고 붉은 색을 띠게 되요.둘째는 잇몸에서 출혈이 되는것입니다 .칫솔질을 하거나 치실을 할때 잇몸에서 출혈이 되는것을 경험해 본적이 있으실겁니다 .이 출혈이 되었을경우 10에 9은 잇몸에 염증이 있는것 입니다.출혈이 잘되는 원인은 염증으로 인해서 잇몸조직이 약해져 있기때문이에요 거기에 혈액까지 잔뜩모여있으니 외부 자극에 의해서 쉽게 출혈이 되게 됩니다. 세번째는 치아가 흔들리거나 들뜬 느낌이 드는것입니다.치아는 치조골에 단단하게 고정되어 기능을 하게 됩니다. 치주인대라는 조직으로 치아와 치조골이 지지가 되는데요. 어떤 원인에 의해서 이 치조골이 약해지게 되면 치아가 흔들리게 되요.치아가 흔들린다고 해도 치아를 사용하지 못하는것은 아닙니다. 치조골에 생기는 문제를 제거하면 치아의 흔들림이 줄어드는 경우가 많아요.치조골에 문제가 생기는 원인은 우선적으로 위에서 말했던 염증입니다. 또한 치아에 너무 강한 힘이 오랬동안 가해져서 치조골이 버티기 힘든 상태가 되면 염증이 발생하면서 흔들릴수 있습니다. 위의 세가지를 잘 기억하셨나요?위의 세가지 증상이 나타나는 원인은 잇몸의 염증과 잇몸에 가해지는 힘입니다. 염증을 줄이기 위해서는 너무 교과서적인 이야기 지만 칫솔질과 치실을 꼼꼼하게 해주셔야 해요.또한 치조골에 너무 강한힘이 가해지지 않도록 치아에 들어가는 힘을 줄여주는것이 좋습니다. 이 두가지만 잘 지켜줘도 잇몸이 망가지는것을 방지할수 있습니다.
25.02.27
17
1
2,639
의료상담
갑자기 치아가 아프다면 어떻게 해야 할까?
안녕하세요 목동안치과의 안원장입니다.치통에 대해서 겪어본적이 있으신 분들은 치아의 통증이 얼마나 극심한지 알겁니다.치아는 특이하게 진화를 해서 치아안에 많은 신경조직이 존재합니다.이 신경때문에 치아에 가해지는 문제가 생기면 통증이 매우 강하게 느껴지게 됩니다.이런 특이한 진화때문에 치아에 통증이 발생하게 되면 치과병원에 갈수 밖에 없게 만드는데요.자 그럼 치아에 통증이 생기는 원인이 무엇인지 알아 볼께요.치아의 통증에는 두가지가 있습니다.첫번째는 치아 자체의 문제로 생기는 통증이 있구요 두번째로는 잇몸의 문제로 인해서 생기는 통증이에요.이 두가지의 통증은 구분할수가 있는데요. 우선 치아의 통증은 매우 날카롭고 강한 통증이 느껴지구요 잇몸의 통증은 욱씬거리고 묵직한 느낌이 드는 경우가 많습니다.일단 통증이 느껴지게 되면 당황하지 마시고 어떤 원인에 의한 것인지를 구분하는것이 좋아요.치아의 통증이라고 느껴진다면 충치, 파절이나 금이 간경우 또는 과도한 힘에 의한 것일수 있습니다.치아의 통증의 경우에는 치아에 가해지는 힘을 줄어보는 것을 우선적으로 해볼수 있어요.과도한 힘에 의한 통증이라면 가해지는 힘이 줄어드는것 만으로도 통증이 완화 될수 있어요.잇몸의 통증은 보통 음식물이 끼여있거나 잇몸에 염증이 많을때 생기는 경우가 많아요.이런경우에 불편한 부위에 치실이나 치간칫솔로 이물질을 제거하면 괜찮아 지는 경우가 많습니다.따라서 치아에 통증이 생긴다면 치아에 가해지는 힘을 줄이고 치실등을 이용해서 치아 주변의 염증을 줄여 보세요.이렇게 해도 줄여지지 않는 통증은 우선 진통제를 복용하는 것이 좋습니다.진통제는 여러종류가 있을수 있는데요. 대표적으로 사용할수 있는 진통제로는 타이레놀이 있어요.진통제의 종류에는 아세트 아미노펜과 NSAID라고 하는 진통제가 있습니다.사람마다 약에 대해 반응하는 정도가 다르기때문에 어떤 진통제가 효과가 없는 분들은 다른계열의 진통제를 복용하는 것이 더 효과가 있을수 있습니다.아세트 아미노펜이라는 진통제는 우리가 흔히 알고 있는 타이레놀입니다.또한 게보린도 아세트 아미노펜이에요. 트라몰과 서스펜도 아세트 아미노펜에 속합니다.일반적으로 약국에서 파는 아세트 아미노펜에는 다음과 같은 것들이 있습니다.다음으로는 NSaid라고 하는 스테로이드가 아닌 항염증제 일반적으로 해열진통제로 불리우는 약이 있습니다.진통제를 복용했을 경우에 잘 듣지 않는다면 양을 늘리는것보다 다른종류의 진통제를 복용하는것이 효과가 큽니다.이렇게 진통제를 복용했을 경우에도 나아지지 않는 치통이 있을수 있습니다.치아안의 신경에 어떤원인으로 인해서 급성치수염이 나타났을경우인데요.이런경우에는 어떤 조치를 해도 통증이 완화되지 않기 때문에 응급실이나 주말에 진료를 하는 치과로 내원을 하는것이 좋습니다급성치수염이 있는 경우에는 신경치료를 해서 신경안의 염증을 제거함으로써 통증을 줄일수 있습니다.
25.02.26
10
1
939
의료상담
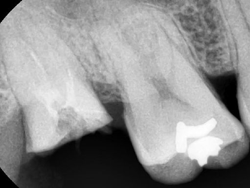
뿌리만 남은 치아를 살리는 법 - 포스트치료
안녕하세요 목동안치과 안상우 원장입니다오늘은 뿌리만 남은치아를 살리는 방법에 대해서 알아볼꺼에요치아의 뿌리는 턱뼈에 고정이 되어 치아의 머리부위가 물리게 되서 음식을 저작하게 됩니다.그런데 치아가 외부충격이나 충치등으로 인해서 머리부위가 상실되게 되면 치아의 기능을 할수 없게 됩니다. 이런경우 치아가 없어진것 같아 보일수 있지만 실제적으로는 잇몸안에 뿌리가 남아 있는 경우가 많이 있어요.이런경 우에는 발치를 하지 않고 치아를 살릴 수 있는 방법이 있습니다.치과에서는 post라고 하는 치료 방법이 있습니다.post란 기둥을 의미하는 데요 치아에 기둥을 세우는 것이에요.부러진 치아에 기둥을 어떻게 세우냐고 하실수도 있습니다.치아 안 에는 신경이 있는 신경관이 있어요.파절이나 충치로 인해서 치아의 머리부위가 손상이 되었다면 신경관이 노출되게 됩니다.이렇게 노출된 신경관을 신경치료를 통해서 깨끗하게 청소를 하고 이후에 이 신경관에 기둥을 세우는 거에요.사진은 post 치료를 하는 과정입니다.신경관을 깨끗하게 정리 한 다음에 안쪽을 세척을 하게 됩니다.그 다음에 포스트와 치과용 시멘트를 이용해 뿌리부분이 머리 부분의 힘을 지탱할수 있도록 해줍니다.이후에 머리에 레진으로 수복을 하고 머리와 뿌리부분이 연결되도 하는 치료방법입니다치아에 들어가는 포스트 재료는 치아와 탄성이 거의 같은 fiber post를 사용하게 됩니다이렇게 되면 부러졌던 치아의 머리가 뿌리와 잘 결합이 되어 저작력을 지탱해 주게 됨으로써 치아의 기능을 할 수 있게 됩니다.결과적으로 없어진 것으로 생각했던 치아를 사용할 수 있게 된것이지요포스트 치료는 상실된 치아를 살려서 다시 사용할 수 있게 하는 좋은 치료방법입니다.하지만 포스트 치료를 하지 못하는 경우도 있습니다.치아가 파절이나 충치가 생겼을 때 손상된 부위가 잇몸뼈 아래로 진행이 되어 있게 되면 포스트 치료를 할 수 없어요.또한 포스트를 이용해서 치아를 살려도 교합력이 너무 강해서 제작한 기둥이 교합력을 정상적으로 버티지 못하는 경우도 있어요.보통 남성분들이 교합력이 강한 경우가 많은데요 이런 경우에도 포스트를 하기 힘들 수도 있어요하지만 치아를 발치하기 전에 포스트치료의 가능성에 대해서 알아보는 것은 치아를 보존할 수 있는 길이기도 합니다.치아는 한번 발치하면 이전 상태로 돌아가기 어렵기 때문이에요.
25.02.25
5
0
956
의료상담
턱에서 소리가 난다면 턱관절 질환일 수 있습니다.
안녕하세요 목동안치과의 안상우 원장입니다. 최근에 들어서는 턱관절이 불편하다고 내원하시는 환자분들이 늘었습니다. 턱을 벌릴때 소리가 나거나 아예 턱이 안벌어지는 경우도 있고 어떤분은 통증에 시달리시는 분들도 있습니다. 턱관절의 경우 통증이 생기기 시작하면 정말 걷잡을 수 없이 신경이 쓰이고 괴로운데요. 턱관절 질환이 생기는 원인과 예방법 그리고 치료방법에 대해서 알아보겠습니다.우리의 턱뼈는 크게 두부분으로 이루어져 있는데요. 하악(아래턱)과 상악(윗턱)입니다. 이 하악과 상악이 서로 만나는 지점이 있는데 이 부분을 턱관절(Temporomandibular Joint;TMJ)이라고 부릅니다. 이 턱관절에는 아래턱의 과두(Condyle)가 윗턱의 관절와(Fossa)에 위치하고 있어서 마치 문의 경첩(Hinge)와 같이 위아래로 턱을 열었다 닫았다 하는 기능을 하고 있습니다.두 뼈가 마주하고 있기 때문에 뼈사이에는 어께나 무릎처럼 연골이 들어가 있는데 이 연골을 관절원판(Articular Disk)이라고 합니다.턱관절에 문제가 생기는 이유는 여러가지가 있을 수 있는데 주로 원인이 되는 것이 턱에 과도한 힘이 들어가는 현상 때문입니다. 치아가 닿은 상태에서 턱관절에 하악과두가 들어가고 교근이 작용을 하게 되면 힘이 가해지면서 턱관절에 힘이 들어가게 됩니다. 치아와 2개의 턱관절 이 3포인트가 접촉이 되어야만 턱관절에 힘이 들어가게 되요.결과적으로 치아에 힘이 들어가지 않는다면 턱괴기와 같은 행동을 하지 않는다면 턱관절에도 힘이 들어가지 않습니다.턱관절을 치료하는 첫번째 방법은 결과적으로 이 턱관절에 들어가는 힘을 줄이는 것 입니다. 턱을 괴거나 하는 것이 아닌 이상 치아가 닿았을 경우에만 턱관절에 힘이 들어가거든요. 따라서 치아가 닿는 시간을 최소한으로 하고 치아가 닿는 순간에도 평소보다 1/2의 힘이 들어가게 행동조절을 하게 되면 턱관절에 들어가는 힘을 줄일 수 있습니다.대부분의 턱관절질환을 가지고 있는 분들은 이 힘을 조절하는데 어려움을 가지고 있는 경우가 많아요.턱관절을 치료하는 첫번째 방법은 결과적으로 이 턱관절에 들어가는 힘을 줄이는 것 입니다. 턱을 괴거나 하는 것이 아닌 이상 치아가 닿았을 경우에만 턱관절에 힘이 들어가거든요. 따라서 치아가 닿는 시간을 최소한으로 하고 치아가 닿는 순간에도 평소보다 1/2의 힘이 들어가게 행동조절을 하게 되면 턱관절에 들어가는 힘을 줄일 수 있습니다.이렇게 행동 조절을 했음에도 불구하고 통증이 지속되는 경우에는 깨어 있을때가 아닌 무의식중, 예를 들면 수면 중이나 이상 악기능에 의해서 턱관절에 무리한 힘이 들어가는 현상이 있을수 있어요.이런 습관은 의식적으로 줄일 수 없기 때분에 이런경우에는 턱관절치료의 두번째 단계인 약물 치료를 하게 됩니다. 1주일 정도 근육이완제를 복용하거나 턱근육에 보톡스를 맞음으로써 턱관절에 가는 하중을 줄이게 되요. 물론 이단계에서도 행동교정을 같이 해야 합니다.대부분의 환자분들이 두번째 치료에서 호전되는 경우가 많습니다.약물치료를 했음에도 불구하고 통증이 지속되거나 행동조절을 하기 힘든 경우에는 마지막으로 턱관절치료의 3단계인 스플린트라고 하는 교합안정장치(Splint)를 제작하게 됩니다. 이 교합안정장치는 자는 도중에 장착을 함으로써 치아가 과도하게 물리는 것을 방지해서 턱관절에 들어가는 힘을 줄이는 장치입니다. 턱관절 질환의 경우 어느정도 진행이 되면 원상복구 하기가 힘들어 집니다. 턱관절질환의 치료방법은 질환이 진행된 상태에서 더 이상 악화 되는것을 방지하는 것이라고 볼 수 있어요. 따라서 턱관절 질환이 있거나 초기 증상이 있다면 빠른시간에 행동교정이나 약물치료등으로 더이상 진행이 되지 않도록 해야 합니다 .평소에 이를 꽉물거나 단단한 음식을 좋아하는 습관이 있지는 않은지 잘 살펴보시고 그런 습관을 줄이는게 턱관절 질환을 예방하는 방법입니다.
25.02.24
6
0
1,139
의료상담
치과 스케일링이란
안녕하세요 목동안치과의 안상우 원장입니다.오늘은 스케일링에 대해서 알아보겠습니다.스케일링은 치아 주변의 치석을 제거해서 치주질환이 생기지 않게 해주는 술식이에요.잇몸에 염증이 생기는 원인은 치아 주변에 잔류되어 있는 이물질이 오랜시간이 지나면서 부패되기 때문입니다.피부에도 이물질이 오래 남아 있다면 피부트러블이 생기는 것과 같은 원리입니다.치아의 뿌리와 치주인대 그리고 치조골을 치주조직이라고 하고 치주조직이 건강해야 치아에 가해지는 교합력을 잘 전달할 수 있게 되어 건강한 저작기능이 가능합니다.이 사진은 잇몸에 염증이 있는 사진입니다.약간 부어 있는듯한 모습을 보이죠. 잇몸에 염증이 생기게 되면 잇몸조직이 약해지고 면역세포들이 필요하게 되어 혈액이 모이게 됩니다. 이런 상태에서 칫솔질을 하게되면 잇몸의 손상되면서 함께 출혈이 생길수 있습니다.칫솔질을 할때 출혈이 된다면 잇몸 어딘가에 염증이 있을 가능성이 높습니다.따라서 칫솔질을 할 때 피가난다면 가까운 치과에서 피가 나는 원인을 확인해야 합니다 .이런 염증이 오래 지속되게 되면 치주조직에 손실이 오게 되고 결과적으로 치아가 흔들리거나 정상적인 음식을 저작하는데 문제가 발생하게 되요.치석은 치아 표면에 있는 이물질이 침에 있는 석회화 된 물질로 단단하게 석회화 되어 있습니다.이런 치석이 있을 경우에 치아 주면에 이물질이 더 잘 저류할 수 있게 되어 잇몸에 염증을 발생시킬 수 있어요.치석은 고도로 석회화 되어 있기 때문에 일반적인 힘으로는 제거할 수가 없습니다. 치과에서 스케일링이라는 술식으로 제거해야 합니다.이것은 치과에서 치석을 제거할 때 사용하는 스케일러입니다.치석이 제거되면 이런 염증이 없어지게 되고 정상적인 잇몸으로 돌아오게 됩니다.음식을 먹고 난 다음에 생기는 이물질은 반드시 칫솔질이나 치실, 치간칫솔로 깨끗하게 제거해 주시고 그 외에 제거가 되지 않는 치석은 치과에서 제거해 주는것이 좋습니다.
25.02.21
24
0
1,453
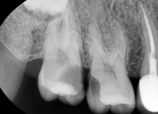
의료상담
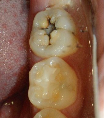
모든 충치는 치료를 해야 할까?
충치는 산성으로 인해서 치아의 구조가 무너지는 현상입니다.충치라고 무조건 치료를 하는것이 아닙니다. 충치도 종류가 있어요충치는 정지된 충치가 있고 진행되는 충치가 있습니다.우선 건강한 치아를 한번 볼께요 이 사진은 건강한 상태의 치아 입니다.이전에 레진 치료를 받은 흔적이 있지만 충치가 없는 상태의 치아에요.이 사진은 검은색으로 보이는 부위가 충치입니다.이 사진에도 치아를 따라서 보이는 검은 것이 충치에요.충치가 생겼을 때는 보시는 바와 같이 육안으로 확인할 수 있습니다.이렇게 검은색을 띠고 단단한 형태는 정지되어 있는 충치라고 볼수 있습니다.충치가 있는데 다시 석회화 되면서 충치가 더 진행이 되지 않는것이지요.이런 충치의 경우 충치니까 치료를 해야 하는것은 맞습니다. 하지만 진행이 되지 않고 정상적으로 기능을 하기 때문에 관리를 잘 한다면 치료를 보류해볼수 있어요.이 사진에도 충치가 보입니다. 치아는 외부는 검은식이지만 내부는 갈색을 보이는데 이런 형태의 충치는 진행이 되는 충치 입니다. 이런 식의 충치는 푸석푸석하며 치아의 구조가 약해져 있습니다.이런 진행중인 충치인경우에는 빠르게 치료를 해줘야 합니다.충치가 오래 진행이 되다보면 치아의 치질이 손상되게 됩니다.충치가 생긴 부위는 방사선 사진으로도 알수있는데요.우선 정상적인 치아를 한번 볼께요.왼쪽의 치아의 머리는 하얗게 생긴 정상적인 치아입니다.다음사진은 충치가 있는 사진인데요. 두개의 치아 사이에 검은 음영이 보이는데충치가 생겼을 때는 이렇게 방사선상에 음영으로 보이게 되요이 부분이 충치에 의해서 파괴된 부분입니다이 충치가 치아안의 신경까지 진행이 되지 않으면 신경치료를 안하고 간단하게 치료할 수 있는데충치가 신경까지 진행된 경우에는 통증을 느끼게 되고 염증이 생겨서 신경치료를 동반한 보철치료를 계획해야 합니다.충치는 신경에 도달하기 전까지는 통증이 없기 때문에 진행이 많이 되고 난 다음에 병원에서 뒤늦게 확인하는 경우가 많아요따라서 평소에 관리를 잘하고 이상이 없어도 치과에서 주기적으로 검사하는 것이 좋습니다.충치는 오랜기간에 걸쳐서 생기기 때문에 충분한 관심을 가지고 관리를 해주면 생기는 것을 방지 할수 있어요그럼 여러분의 구강내에 충치가 생기지 않도록 충분한 관심을 가지고 칫솔과 치실을 이용하여 꼼꼼하게 관리를 해주세요.여러분의 치아는 소중하니까요
25.02.20
4
0
1,113
의료상담
충치에 대해서 알아 봅시다
안녕하세요 목동안치과의 안상우원장입니다.치아의 충치는 왜 생기는 걸까요??대부분의 사람들은 칫솔질을 잘하지 안해서 생기는 것이라고 생각하기 쉽습니다.틀린말은 아니지만 충치가 생기는 원인은 칫솔질의 문제만은 아니라 다양한 요소들이 원인이 되어 생기는 현상이에요충치를 치과전문용어로는 치아우식증(Caries)라고 합니다치아는 사람의 몸에 있는 조직중 가장 단단한 조직이에요보시는 바와 같이 치아의 제일 바깥쪽에는 법랑질이라는 아주 단단한 조직이 있구요안쪽에는 상아질이라 불리우는 법랑질보다는 조금 무른 조직이 있어요. 일단 충치라함은 이 법랑질과 상아질의 구조가 무너짐으로써 원래의 기능을 못하는 것을 의미합니다. 그럼 왜 치아의 구조가 무너질까요그건 구강내에 산이 될 수 있는 물질이 많을 때 이 산이 치아를 녹이게 되고 그로 인해 충치가 생기게 됩니다. 구강 내에 산이 될 수 있는 물질에는 사탕이나 당류 같은 설탕으로 이루어진 음식들이 있어요.처음 구강내에 들어갔을 때는 달지만 이 음식들이 분해되면서 산성을 띠게 됩니다.사탕의 경우에는 끈적끈적하기 까지 하니 치아에 더 잘 달라 붙음으로써 산의 작용을 더 촉진 시키게 됩니다. 하지만 이런 원인 이외에도 치아의 배열이 너무 안 좋은 경우에 치아사이에 음식 잔류물이 많이 남아서 충치가 생길 확률이 더 높아질 수도 있습니다.구강내 침의 양이 적을 경우 치아사이의 이물질이 잘 씻겨나가질 못하게 되어 치아에 충치가 쉽게 생길수 있습니다. 따라서 식사를 하고난 뒤에는 구강 내 이물질을 꼼꼼히 제거하는것이 충치 발생을 줄이는 방법입니다. 다음에는 충치의 종류에 대해서 한번 알아 보도록 하겠습니다.
25.02.19
11
2
1,000
1
2