인일시지분 면백일지우
- 반려동물 건강반려동물Q. 비인두협착 비인두염 비인두암 관련 질문질문1. 강아지 비인두염 비인두암 각 증상들이 어떤 증상들이 있나요?질문2. 비인두협착 다이어트 살빼면 좋아지나요?질문3. 해당 사진 2장으로 비인두 협착이 있다고 수의사분께서 그러셨습니다 증상이 심한편인가요?언제나 항상 감사합니다..
- 반려동물 건강반려동물Q. 산책시에만 개구호흡을 하는 문제 원인집에서는 아무리 뛰놀아도 헥헥 거리거나 개구호흡을 하지않는데희한하게 비염약 먹기 시작한 4월부터 밖에간 나가면 너무 신나는지 거의 나가는 동시에 개구호흡과 헥헥거림을 거의 10분이상 15분정도 집에 나와서 집에 다시 돌아갈때까지 합니다우선 더워서그럴리가 없는것이 25도 이상이면 안나갑니다 밤11시든 12시든 온도 25거나 아래로 나갑니다사람도 없고 마주칠것도 없어서 흥분할것 역시 없습니다폐, 심장 문제일리도 없는것이 깨끗합니다 간수치 역시 정상입니다 칼슘 농도만 높습니다비염5개월차 비강종양 의심 문제일까요? 연구개노장 문제일까요? 갑상선 문제일까요? 부신 문제일까요?맑은 콧물이 주르륵 흐르면서 코가 굉장히 축축해지고 개구호흡을 합니다 맑은 콧물이 나올라면 다 나오지 나올랑말랑 아주 조금씩 흐르는데 주르륵 느낌이고 맑은콧물이 그냥 안에만 가득차있는 느낌입니다너무 힘들어하면 앉아서 한 10분정도 15분정도 쉬는데 끝도없이 헥헥거리고 개구호흡합니다선생님이 보시기엔 무슨 문제같아보이시나요?그리고 갑상선 부신도 중요하지만 요즘 코가 점점 막혀가는 느낌이듭니다비강내시경 조직검사에선 CT 에선 단순 비염이라하는데 이물질도 없고. 이빨도 잇몸도 좋고.증상만 보면 그냥 누가봐도 비강종양 입니다비염이라고 판정받아서 방사선도 못해줍니다코는 하루종일 그냥 막힌 듯이 킁킁 킁킁 하면서 코막힌 소리만 요즘 거의 100번은 넘게 합니다비염 증세가 4월부터 시작됬는데4월엔 머리를 좌우로 도리도리 하고 빠르게 터는 증상5월엔 맑은콧물증상 생김6월엔 흥분시 재채기와 코를 비비는 증상이 생김7월엔 재채기와 코를 비비는 증상이 심해짐8월엔 코막힘 증상이 생김 (코를 하루종일 킁킁. 킁킁 100번도 더 하면서 뭔가 막힌듯한 소리가 남)궁금 한점 : 산책시에만 개구호흡을 하는 문제 원인이 비염5개월차 비강종양 의심 문제일까요? 연구개노장 문제일까요? 갑상선 문제일까요? 부신 문제일까요? 물론 글로 전달하는것이 한계가 있지만 상황만 놓고 봤을때 어떻게 생각하시는지 궁금합니다
- 반려동물 건강반려동물Q. 갑상선항진증과 부신피질기능항진증이 동시에 있을수도 있나요?질문1. 갑상선항진증과 부신피질기능항진증이 동시에 있을수도 있나요?질문2. 아니면 갑상선은 항진증이라면 부신피질은 저하증이고 부신피질이 항진증이면 갑상선은 저하증이고 이런식인가요?질문3. 대학병원에서 초음파상 부신크기,혈액검사상 Alkp,ggt수치,임상증상이 나타나야 그때 쿠싱치료를 시작 하는거라던데 현재 부신크기는 확인됬고, 혈액검사는 아직 확인이 안됬고, 임상증상이 걸리는데 이 임상증상이 있다고 보는게 예를들어 쿠싱증후군 (다음,다식,다뇨,헥헥거림,피부병) 이 5개라고 하면 이 중에 1-2개만 있어도 임상증상이 있다고 보는건가요? 그리고 임상증상이 꾸준한것이 아니라 어제 물을 거의 안마시고 오줌도 안싸다가 오늘은 또 물을 잘마시고 오줌도 많이싸고 이런식으로 증상이 왔다갔다 어제 오늘 다른 경우엔 증상이 있다고 봐야 하나요 아니면 없다고 봐야하나요?질문4. 쿠싱증후군이 있다면 갑상선 때문인지 부신 때문인지 갑상선 부터 검사해봐야 하나요 아니면 부신부터 검사부터 해봐야하나요?질문6. 갑상선은 왼쪽만 크기가 상당히 커져있는 상태며, 부신은 오른쪽만 오른쪽 1.17cm로 커져있고 대동맥에 거의 붙어있습니다 왼쪽부신은 정상사이즈입니다 이런 경우엔 검사시 조심해야할 사안이나 스테로이드 같은 쓰면 안되는 약물이 있나요?질문5. 가까운 병원이 차로 최소 15분거리라 15분내내 탈진올때까지 흥분을하고 짖습니다부신이 스트레스에 안좋은거로 아는데 병원에 가서도 헥헥 거리며 미친듯이 짖어대는데 이래도 FM 대로 병원 가는걸 추천하시나요? 이게 의사분들마다 의견이 다 다릅니다 어떤 의사분은 부신이 양성이든 악성이든 대동맥이랑 붙어있어서 수술불가하니 그냥 집에서 편안하게 지내는게 맞다라고 하는분도 있고다른 의사분은 일단 ct 를 전에 찍었어도 mri,ct 다시 찍어보자 이러는분도 있고 다 제각각입니다병원 한군대만 다니지 뭐하러 왜 여러군대 가냐고 생각하실수있는데원래 다니던 병원은 장비가 없습니다 CT 찍은 다른 병원은 ct 판별을 못해서 검은혈변 누니까 본인이 ct 찍고 2주나 지나서야 다시 ct 자료 들여다보니 부신 갑상선 이상을 발견했다 말하구요. CT 소견서 달라히니까 소견서에는 마치 CT 찍은 당일날 발견했다는듯이 시점을 바꿔서 적어놨더군요. 그래서 또 옮기는 겁니다.병원 안가본게 아니고 말을 안해본게 아니라는겁니다질문6. 부신피질항진증 같은 경우 집에서 아침에 스트레스없는 뇨를 배변패드 뒤집어서 주사기로 빨아들여서 병원에 갔다주고 uccr 검사를 요청하고, 가서 혈액검사만 alkp,ggt 수치만 확인하는식으로 부신피질항진증을 진단받고 싶은데 가능한가요? 4시간 8시간 검사는 아무리봐도 무리라 확진하는 검사방법이 아닌 배제할수있는 검사 방법 (uccr 같은 검사방법)이 또 무엇들이 있는지 부신과 갑상선 각각 궁금합니다
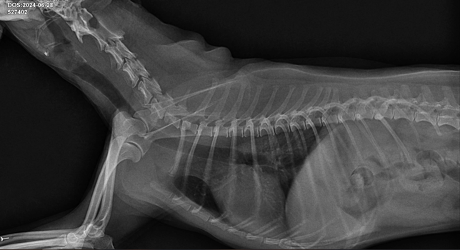
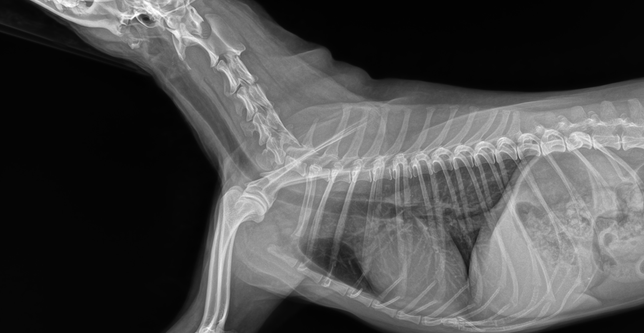
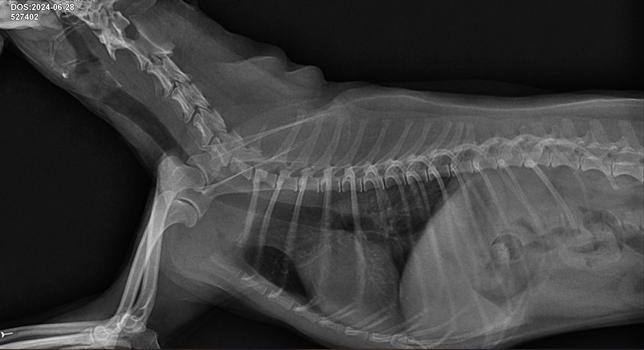
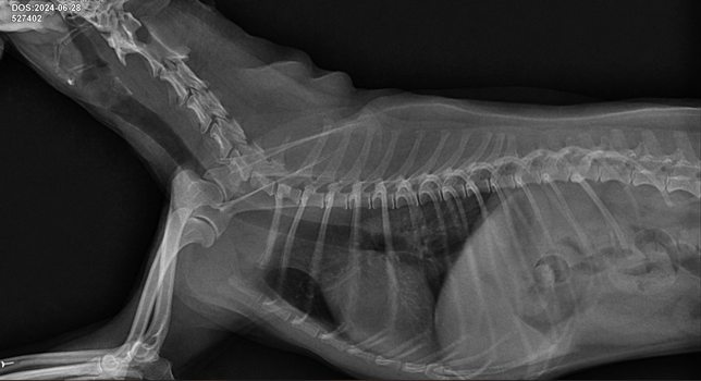
- 반려동물 건강반려동물Q. 기관지협착인가요 기관협착인가요? 아니면 둘다 있나요? 기관지염이 있나요? 기관염이 있나요?질문1. 기관지협착인가요 기관협착인가요? 아니면 둘다 있나요?질문2. 기관지염이 있나요? 기관염이 있나요?질문3. 사진 좌측상단에 날짜부분에 굉장히 좁아보이는데 이부분이 후두인가요? 후두가 부어있는건가요?질문4. 약간의 기도협착이 있나요?질문5. 협착과 염 상태가 어느정도인지 상중하로 알려주시면 감사하겠습니다
- 반려동물 건강반려동물Q. 비염 5개월째 강아지 더이상 뭘해줘야 할까요비강종양 의심으로 ct 도 찍고 비강내시경 비강세척 조직검사 감수성 검사 세균 곰팡이 검사 호흡기 pcr 이빨도 괜찮고 정말로 안해본게 없는데 더 이상 뭘해줄수가 있을까요? 결과는 비염이랍니다암이 아니라는데 증상은 점점 심해지구요4월경 머리흔듬 증상과 코가 뜨거워지는 증상 최초 발견후 비염 약 처방4월말경 항히스타민 항생제 처방 받았으나 호전이 되다가 맑은콧물이 생김 스테로이드 처방 처음엔 호전있다가 증상 다시 시작됨5월 맑은콧물 증상이 점점 심해져서 나오는 맑은콧물 증상이 많아지고 재채기 증상이 시작됨6월초 밤에 잠을 못자고 콧물이 역류해서 밤에 잘때 새벽에 항상 4시간 마다 깸 재채기 증상과 머리 좌우로 흔드는 증상 심해짐 (흥분시에만함)6월중순 4시간마다 깨던것이 1시간으로 간격이 줄어듬 여전히 맑은콧물7월초 코막힘 증상 시작됨7월말 코막힘 증상이 심해짐우측 부신도 1.17cm 대동맥이랑 붙어있고(양성이던 악성이던 수술불가 판정 받음) 안좋아 갑상선도 안좋아 허리디스크 기관협착에 기관지염 의인성 쿠싱증후군 지간염 습진피부병제가 뭘해줄수가 있을까요? 4월부터 6~7곳 병원만 20번은 더 넘게 간거같습니다어떤 병원에선 이젠 병원 그만 다니고 쉬게하라는데 머리가 복잡하네요병원들은 와서 검사 맞아라 하구요 디스크입원에 기관협착응급실에 비염치료에 지간염에 이러다 정말로 애 골로 갈거같습니다왼쪽 비강 내 soft tissue attenuating material 확인되며, 조영 증강 확인되어 mucosal hyperplasia를 동반한 mild한 rhinitis 가능성 고려됩니다. 이 외의 뚜렷한 이물 등 특이 소견은 확인되지 않습니다. Mild rhinitis with mucosal hyperplasia (Lt. side)
- 반려동물 건강반려동물Q. 강아지 갑상선 상태가 어떤지좀 봐주시면 감사하겠습니다사진 우측 하단 화살표 누르시면 커집니다궁금한점 1. 갑상선 상태가 어떤지 궁금합니다 2. 요오드 함량이 든 음식을 줘야할까요 주지 말아야할까요? (후코이단)
- 반려동물 건강반려동물Q. 10살 4kg 남자 강아지 혈액검사좀 봐주시면 감사하겠습니다혈당 수치가 어떤가요? 저혈당인가요 고혈당인가요?콜레스테롤 수치가 낮은가요 높은가요?혈당과 콜레스트롤 관리해줘야 하는 단계인가요?혈액검사 전반적으로 어떤지 주의해야 할 부분이 있는지 한번 봐주시면 감사하겠습니다....귀중한 시간내시어 답변해주셔서 항상 감사드립니다..- 혈액검사- CBCWBC 6.0 - 12.0 7.7 K/uL - 정상범위RBC 5.50 - 8.50 6.91 M/uL - 정상범위HGB 12.0 - 17.0 14.4 g/dl - 정상범위HCT 44.0 - 57.0 50.2 % - 정상범위MCV 60 - 77 73 um - 정상범위 높은편 ↑MCH 17.0 - 23.0 20.8 pg - 정상범위MCHC 31.0 - 36.0 28.6 g/dL 낮음 ↓RDW 14.0 - 17.0 14.2 % - 정상범위 낮은편 ↓PLT 200 - 460 403 K/uL - 정상범위 높은편 ↑MPV 6.7 - 11.1 8.2 um - 정상범위%LYM 0.0 - 100.0 15.3 % - 낮음 ↓%MON 0.0 - 100.0 7.5 % - 낮음 ↓%GRA 0.0 - 100.0 77.2 % - 높음 ↑#LYM 1.0 - 3.6 1.1 K/uL - 정상범위 낮은편 ↓#MON 0.0 - 0.5 0.5 K/uL - 정상범위 높은편 ↑#GRA 3.0 - 10.0 6.1 K/uL - 정상범위- 혈액검사 생화학BUN 8 - 30 12.3 mg/dl - 정상범위 낮은편 ↓Glu 60 - 120 93 mg/dl - 정상범위ALP 12 - 122 31 lu/l - 정상범위 낮은편 ↓T. Protein 5.6 - 7.1 6.3 g/dl - 정상범위ALT/SGPT 25 - 106 43 lu/l - 정상범위 낮은편 ↓Cre 0.5 - 1.3 0.84 mg/dl - 정상범위Alb 3.1 - 4.1 3.4 g/dl - 정상범위- 혈액검사 전해질HCT 44.0 - 57.0 49 % - 정상범위Sodium(Na+)* 145 - 151 151 mmol - 정상범위 높은편 ↑Potassium(K+)* 3.90 - 5.10 3.99 mmol - 정상범위 낮은편 ↓Ionized Calcium* 1.16 - 1.40 1.40 mmol - 정상범위 높은편 ↑Chloride(Cl-)* 110 - 119 124 mmol - 높음 ↑- 혈액검사 응고계 - CaninePT (qLabs) 14.0 - 20.0 16.8 sec - 정상범위aPTT (qLabs) 94.0 - 123.0 118 sec - 정상범위 높은편 ↑
- 반려동물 건강반려동물Q. 강아지 경추 디스크에 다이어트가 도움이 되나요? 기관협착에 다이어트 도움이 되나요?질문이 2개입니다보통 허리 디스크는 다이어트가 도움이 된다하는데경추 디스크도 다이어트가 도움이 되나요?기관지협착에 다이어트 도움이 된다던데2. 기관지 협착이 아닌 "기관" 협착에도 다이어트가 도움이 되나요?
- 반려동물 건강반려동물Q. 강아지 경추 디스크 초기에서 중기 온찜질 도움 되나요?스테로이드는 못쓰는 상황인데 이런 경우 어떤 약물이 추천되나요? 경추 디스크 초기에서 ~ 중기입니다궁금한점강아지 경추 디스크 초기~중기인데 온찜질 도움되나요? 아님 냉찜질이 좋을까요? 허리디스크도 있는데 이건 찜질 효과 보고있습니다현재 우측부신1.17cm 대동맥붙어있는지 근접해있는 위험한 상태고 갑상선도 커져있는 상태라 스테로이드를 못쓰는 상황인데 이런 경우엔 어떤 약물들로(이름이 궁금합니다) 경추 디스크 치료가 추천되나요?비강종양 의심이였던 만성 비염(현재4개월차곧5개월) 때문에 고개를 좌우로 터는짓을 하루에 20번도 반복하는데 경추에 안좋겠죠? 목 깁스해주려 합니다 목 깁스가 경추 디스크에 도움 되나요?요즘 날씨 때문도 그렇고 병원에 하도 다녀와서 산책을 못시켜준지 거의 한달째인데 오래 앉아있거나 그러면 경추 디스크에 안좋나요?현재 별다른 증상은 없고 잘먹고 잘뛰고 잘잡니다 아주 가끔 고개를 들고 멍을 때린다던가 앞다리 하나를 든다던가 (놀랐을때) 그리고 2달전 새벽~아침경에 하반신 마비 증상으로 24시 동물병원에 의사선생님 보기도전에 정상적으로 걷길래 주사 맞고 온 이력이 있는데 현재 먹고 있는 기관협착 그리고 기관지염, 그리고 포피염 이렇게 케어중인데 여기서 더 약을 더 추가 하는건 누가 봐도 아닌거같은데 별다른 증상없는데 약치료를 해야하나요? 깁스만 우선 해주고 온찜질이 도움이 된다면 해주려합니다
- 반려동물 건강반려동물Q. 마른기침헛구역질이 점점 심해지고 있습니다 기관협착, 기관지염원래는 한달을 주기로 한번 마른기침 헛구역질 하던것이 한달이 15일로 1주일로 하루에 한번 꼴로 주기가 점점 짧아지더니 원래는 밤 10~11시경 밤에만 마른기침 헛구역질 하던것이 이제는 낮에도 합니다주로 흥분하거나 많이 짖거나 물을 마시고난후 그러는데 이제는 가만히 앉아있는 낮시간때에도 마른기침 헛구역질을 합니다이런 마른기침을 할때 일으켜세워서 목이랑 가슴부근을 마사지해주면 그날 하루종일 기침을 안했는데이제는 그것도 효과가 없습니다 코에 양쪽 맑은콧물이 그렁그렁 맺혀있는데요현재 애가 몸상태가 부신도 안좋고 갑상선도 안좋고 의인성 쿠싱증후군에 갑상선항진증에 이러니 스테로이드나 항생제 항히스타민은 복용 못해주고 있는 상황입니다워낙 흥분을 잘하는애라 지나가는 새만 봐도 엄청짖고.. 병원가는길 예를들어 병원이 30분거리면 차에서 30분동안 정말 미친듯이 목이 쉴정도로 쉬지않고 짖습니다기관지는 염이있고 기관은 협착이 있다는데 치료를 어떻게 해야할까요?스테로이드는 4월부터 디스크며 피부병이며 비염이며 하도 많이써서 이제 그만 쓰려하는데 세레타이드125 에어로솔 흡입치료 써보려하는데 효과가 있을까요(6월초 입니다 우측 하단 화살표 클릭시 사진 커집니다)(6월 말입니다 사진 우측 화살표 클릭시 사진 커집니다)현재 부신과 갑상선도 안좋아아래는 저의 예전 질문인데 혈액검사와 부신과 갑상선 ct 있습니다https://www.a-ha.io/questions/49087698a7f7613fa6a928262b568d00