비상하는 올빼미862
- 생활꿀팁생활Q. 양악 vs 비발치 교정 vs 아무것도 안하기여기에 글 몇번올렸는데 이제 고민그만할려고 마지막으로 올리는거예요ㅠㅠ옆모습이 하악턱과 입이 튀어나와보여 컴플렉스 인 남성입니다 다른사람이 보기에는 어떨지는 모르겠습니다그런데 미용적으로 개선하고싶으나 양악하기에는 부작용도 무섭고 수술도 무서워요 죽을수도 있다고 들어서요...그래서 고민하는게1번 양악-가장드라마틱하게 턱도줄이고 입툭튀도 줄일수있을것같긴해요2번 -발치교정하기에 치열이 아까운것같아 사랑니쪽으로 전체이동 비발치교정 하기-이러면 입툭튀 조금은들어간다고 들었어요 대신 입이들어가서 턱이 조금나와볼일수있다는데 치아 들어가도 2~3mm라 별차이 없을수도 있다고들어서...맞는지는 모르겠습니다(현재 사랑니4개 없는상태입니다)3번 - 그냥 건강하게 살기인데 미용은 주관적인거라누가보느냐에따라 안모가 남성다워 보인다고 하기도하고 턱이랑 입이 좀 나온것같다 오리입술같다 그러기도 해서 결정장애왔습니다전문의가 평가하기에 1,2,3번중 어느게 맞을까요?그외 의견도 상관없습니다선택한이유도 알고싶습니다개인적인거니깐 정답이 아나라는것은 알고있습니다사진은 왼쪽이 현재 오른쪽이 양악 포토샾입니다그냥제가한거예요 참고사항ㅎ
- + 1
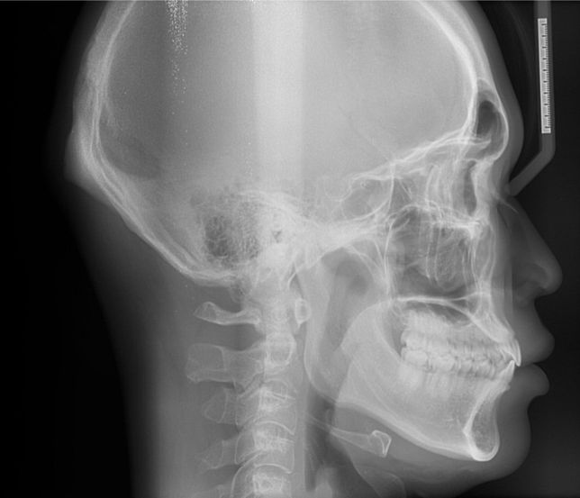
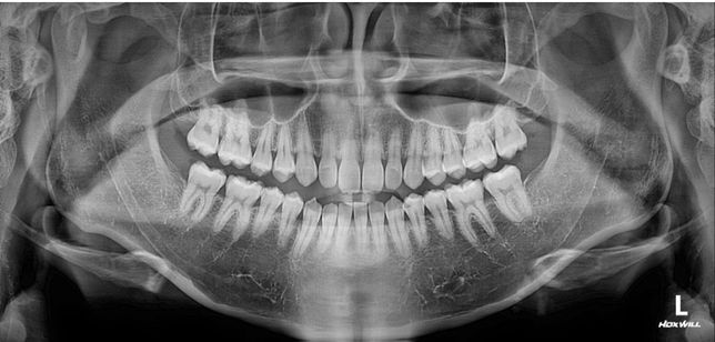
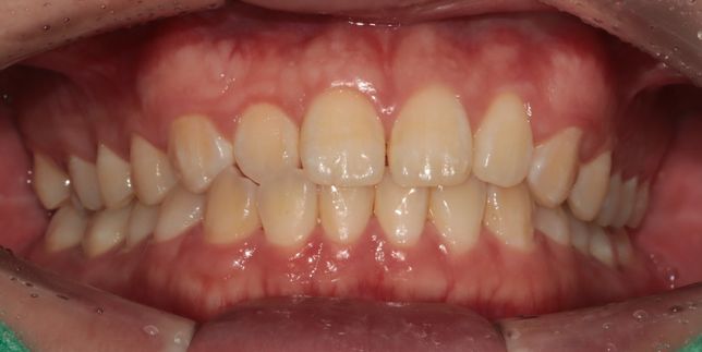
- 치과의료상담Q. 제 옆모습을 가끔 보면 턱이랑 입이 나온것같아보이는데 전문의가 평가하기에도 그런지 알고싶어요질문1. 제 옆모습을 가끔 보면 턱이랑 입이 나온것같아보이는데 전문의가 평가하기에도 그런지 알고싶어요가끔 사진찍히거나 거울볼때 옆모습이 입이랑 턱이 남들보다 나온것같다는 생각이들거든요 이런게 주걱턱인가? 이게 치과에 문의하는게 맞는지 모르겠지만 전문의님 개인평가를 듣고싶어요~ 나중에 구강악쪽 양악수술 상담한번 받아보려고요질문2. 만약 입만 넣는다면 발치없이 인비절라인 같은 투명교정으로도 가능할까요?질문3. 제 앞니 치근이 짧나요?이미지가 포함된 질문이에요.
- 정형외과의료상담Q. 거북목 자가진단법 있나요???주변에서 턱넣고 허리피라고 해서 거북목이라고 생각하는데 자가로진단하는법이 있을까요?이게 턱이나와서 그런건지 거북목인건지 둘다인건지 알고싶은데 우선 자가로 확인하는 방법 알고싶습니다추가로 헬스에서 운동이름은 모르겠는데 누워서 양팔로 바벨 올렸다 내렸다하는 운동이 도움이될까요?이미지가 포함된 질문이에요.
- 치과의료상담Q. 중안면부 꺼짐있는경우 양악을 하면 개선이 되나요?중안면부 꺼짐있는 경우 미용적인 목적으로 양악수술을 하면 개선이 되나요?보통은 이런경우 코수술을 하게되나요?치아 교합은 정상인데 일자목이라서 그런건지모르겠지만 옆모습을 봤을때 입체적이지 않고 약간 1자 모습? \\모양 이여서 콤플렉스입니다.오히려 이런경우 부작용이 크나요?자료가 부족하겠지만 그냥 의사님들 개인생각 적어주시면 도움이될것같습니다지인분들마다 평가하시는게 달라서 저스스로도 수술고민하는게 맞는지 잘모르겠습니다 (남자라서 괜찮다, 전혀모르겠다, 약간 턱이 나온것같다, 입이나온거다,연예인할것도 아닌데 왜그러냐 등등)그리고 제가 살짝 팔랑귀라서 고민하게되네요이미지가 포함된 질문이에요.
- 이비인후과의료상담Q. 거북목인가요? 아님 그냥 하악턱이 돌출되어서 그런건가요?평소에 그냥 편한자세로 걸어다니는데 주변에서 허리피고 턱내리고 걸으래요ㅠ뭔가 제가 턱을 들고다니는것같기도 하고 아닌것같기도 해서 잘모르겠어요질문1)거북목이면 턱도 들고다니나요?질문2)턱이나와서 그렇게 보이는건지 아니면 거북목증상 있어서 그런건지 알수있을까요? 대략적으로라도요허리피고 가슴피고 턱내리고 다니면 뒷목부근이 땡겨서 불편해요질문4)거북목이면 어떤운동하면 교정가능할까요?이미지가 포함된 질문이에요.
- 기타 의료상담의료상담Q. 보통하루에 머리카락 얼마나 빠지나요?하루에 머리빠지는 수량이 정상이면 몇개인가요?몇개부터 탈모초기로 진단하나요?머리빠지는것도 계절마다 다른가요?머리에 열오르면 머리카락 많이 빠지나요?머리카락 자주감으면 안좋은가요?
- 기타 의료상담의료상담Q. 탈모약 재복용 초기시에 머리가 갑자기 많이 빠지나요?탈모약을 2년정도 복용후 6개월 중단했는데 머리카락이 가늘어져서 다시 복용했는데 머리카락이 갑자기 많이 빠지는데 이럴수 있나요????탈모약 복용하면 머리카락 굵기도 굵어지나요??
- 이비인후과의료상담Q. 비중격만곡증,만성비염 관련 질문이요!3년전부터 코 한쪽이 막혀있습니다잘기억을 안나는데 예전에 비중격코검사했을때 MCA 0.57이라고 했었나? 아무튼 그런걸 말해준적이 있는데 2년전에 한거라 기억이 안나네요 참고만하세요ㅎ질문1.비중격만곡증이 코 막힘 증상이 왼쪽 오른쪽 번갈아서 나타나기도 하나요? 예를들어 옆으로 눕거나할때 코막힘증상이 왼쪽이었다면 오른쪽으로 바뀌어서요질문2.피부 알러지검사로 알러지가 없다고 하는데 이래도 만성비염이라면 치료를 보통 어떻게하나요?질문3.제가 3년정도 역류성후두염을 앓고 있는데 이질병이 만성비염와 연관이 있을수있을까요?
- 이비인후과의료상담Q. 수면시 입벌리기 및 치아 위아래를 살짝벌리고자는게 정상인가요?질문1. 잘때 입술은 다물고 있고 치아 위아래가 상악 하악이 벌리고 자는데 보통 치아를 물고 자나요?(혀는 입천장에 데고있을라고 들었는데 맞나요?)질문2.제가 만성비염있는데 코 한쪽이 막힌지 1년넘은듯 합니다 (옆으로 돌아누우면 막혔던 한쪽이 뚫리기도해요 왜그런거지?)그래서 그런지 수면시 가끔 입을 벌리고 있다는 느낌이 듭니다. 해결방법이 있을까요?
- 성형외과의료상담Q. 턱 돌출 성형 및 구강악 수술에대한 문의아하에 치과쪽에 질문을 자주애용해서 여기에 의사님들 개인적인 의견을 여쭙고자 질문남깁니다구강악외과에서 턱정밀상담 결과 하관평균길이가 성인남성평균보다 길고 돌출되었다고 들은 이후에 신경이 쓰여 수술 질문좀 하고싶습니다의사분께서는 기능적으로 이상은 없다고 수술을 권장하지는 않았습니다 미용적인거라고해서..아하 의사님들 개인적인 생각으로는 하관 수술하면 괜찮아질까요?그리고 돌출된 턱만 따로 수술가능한가요?수술이란게 기능개선이 주목적인데 저는 미용목적이니 괜히 할려고 고민하는게 아닌가 걱정되어서요양악수술이나 하관수술해서 괜히 후회할까봐서요실제와 사진은 다르겠지만 ct와사진만보고 개인적은 의견 적어주시면 참고하도록 하겠습니다댓글달아주시는 의사님들 감사합니다^^이미지가 포함된 질문이에요.