아하
  • 토픽

  • 스파링

  • 잉크

  • 미션


의료상담

안녕하세ㅇ

안녕하세ㅇ

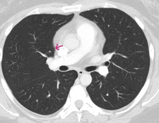
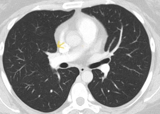
간유리 결절 같나요 고형인가요. 그 외 질문 부탁드려요

성별

여성

나이대

30대

기저질환

담배안피고,24년에 독감,코로나 안걸림, 기저질환 없음

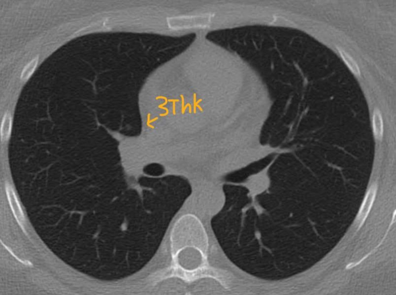
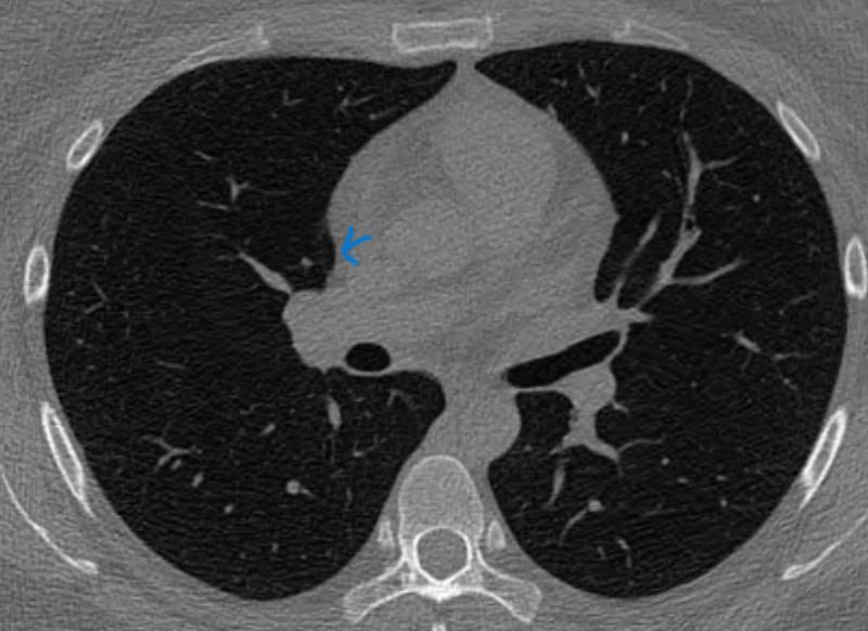
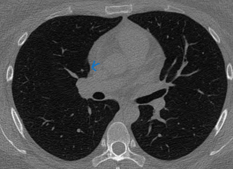
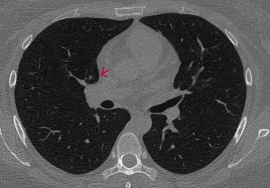
*좀더 하얀색인 사진 2장은 24년 조영제 폐CT 이고, 나머지 3장은 25년 저선량 CT사진입니다.

25년에 같은 저선량 CT에서 lucas라는 AI가 찾아낸 사진 2장은 빨간동그라미로 되어있습니다.*

양손으로 확대해서 봐주세요...

♧ 고형 같나요 간유리 같나요?

Ai 는 우상엽 solid라는데 오늘 2차병원에서 중간위치고 간유리에 가깝다라고 들어서요

이 질문은 꼭 대답해주세요. 여러 의사분들이요 부탁드립니다.

♧ 특히 24년에도 보였어서(독감,코로나 아님, 담배 안펴요) 1년지나도 안사라진거면 염증은 아닌거 같아요.

간유리는 암이라고 생각하면 될까요?

염증도 나닌 간유리가 암 아닐 원인으론 뭐가있나요...

요약 정보가 없어요.

  • 1번 째 사진
  • 2번 째 사진
  • 3번 째 사진
  • 4번 째 사진
  • 5번 째 사진
  • 6번 째 사진
  • 7번 째 사진

1개의 답변이 있어요!

  • 채홍석 가정의학과 전문의

    채홍석 가정의학과 전문의

    유성선병원

    안녕하세요. 채홍석 가정의학과 전문의입니다.

    solid nodule인지 ground glass nodule인지는 clear cut하게 나누어지는 것이 아닙니다. 결절이 색이 또렷하면 solid nodule인 것이고 흐지부지하면 ground glass nodule인 것입니다. 이건 육안 소견을 두고 말하는 것입니다. 따라서 일부 nodule에 있어서는 판독하는 의사에 따라 소견이 다를 수 있습니다.

    이걸 이쪽은 solid 하다고 이야기하고 저쪽은 ground glass하다고 이야기하는데 어느쪽이 맞는 것인가요?

    라고 따지고 파고들고 해봐야 답은 나오지 않습니다.

    그리고 확인한 병변에 대해서 의사의 소견과 AI의 소견을 비교하시는 것은 바람직하지 않습니다. AI는 진료를 보조하는 tool일 뿐입니다. "AI는 이렇게 이야기했는데 의사는 다르게 이야기하네? 어느 쪽이 맞아요?" 이런 식으로 접근하시면 결국 환자분만 힘들어집니다. AI가 지적한 병변을 의사가 정확하게 확인을 했다면 의사소견을 믿으시면 됩니다.

    결절처럼 보이는 병변으로는 염증도 있지만 염증후반흔도 있습니다. 그러니까 염증의 흔적이지요