의료상담
개인치과가도 될까요? ......
며칠동안 통증이 있어서 발치해야할것같아요ㅠ
뿌리가 신경쪽이랑 가까운거 같은데 개인치과에서도 발치해주나요?
요즘 개인치과도 예약하고 열흘은 기다려야되던데ㅠ
대학병원 가야하는 케이스는 아니죠?
55글자 더 채워주세요.
4개의 답변이 있어요!
안녕하세요. 안상우 치과의사입니다.
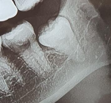
사진으로 보이는 사랑니는 잇몸 안에 완전히 맹출되어 있고 주변 조직에 특별한 문제를 일으키지 않습니다. 따라서 통증을 유발할 가능성은 매우 낮습니다.
해당 부위에 다른 통증의 원인이 있지 않은지 확인해보는 것이 좋습니다. 매우 깊게 매복되어 있는 사랑니기 때문에 일반 병원에서는 발치를 해주지 않을 경우도 있습니다. 이런 경우에는 대학 병원에 구강 외과에서 발치를 하는 것이 좋을 수 있습니다.
1명 평가안녕하세요. 김철진 치과의사입니다.
저정도 깊이라면 일단 CT를 찍어보셔야될것같습니다. 엑스레이 상으로는 신경관과는 닿아 잇진 않고 신경관 옆으로 치아가 위치한거 같습니다.
1명 평가안녕하세요. 김지훈 치과의사입니다.
위 사진만으로는 명확히 알 수는 없으나 신경이 가까운 부위는 맞기에 대학병원 가시는 게 좋습니다.
1명 평가안녕하세요. 최석민 치과의사입니다.
뼈 속 깊이 박혀있고, 신경관과도 가까워서 아마 개인치과에서는 대학치과병원이나 사랑니 전문병원 가라 할 것 같습니다. 물론 자신있는 원장은 자기가 뽑아주겠다 할거고요
1명 평가

