아핫뉴스실시간 인기검색어
아핫뉴스 화산 이미지
아하

의료상담

정형외과

명랑한고슴도치80
명랑한고슴도치80

발가락 골절 수술의 필요성 질문

성별
남성
나이대
21


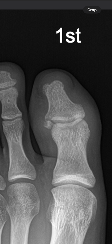
좌측 원위지골 골절 후 전위가 발생했는게 저정도 뼈조각과 저정도 전위는 핀으로 고정 하기 어려운가요? 수술은 필요 없어보이나요?? 현재 전위 정도와 뼈조각 위치를 어떻게 보시나요??


참고로 골절된지 15일 후 사진입니다.

  • 1번 째 사진
55글자 더 채워주세요.
1개의 답변이 있어요!
  • 안녕하세요. 김경태 의사입니다.

    크기도 작고 위치도 참 애매한 부위입니다.

    그대로 지켜보는것도 한가지 방법이 될수 있겠습니다.

PC용 아하 앱 설치 권유 팝업 이미지장도연이 추천하는 아하! 앱으로 편리하게 사용해 보세요.
starbucks
앱 설치하고 미션 완료하면 커피 기프티콘을 드려요!