아하
  • 토픽

  • 스파링

  • 잉크

  • 미션


충분히활기가넘치는군만두

충분히활기가넘치는군만두

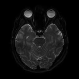
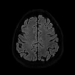
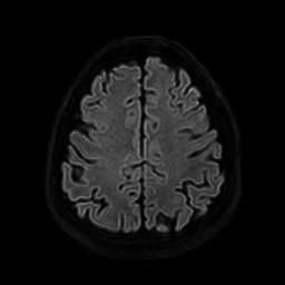
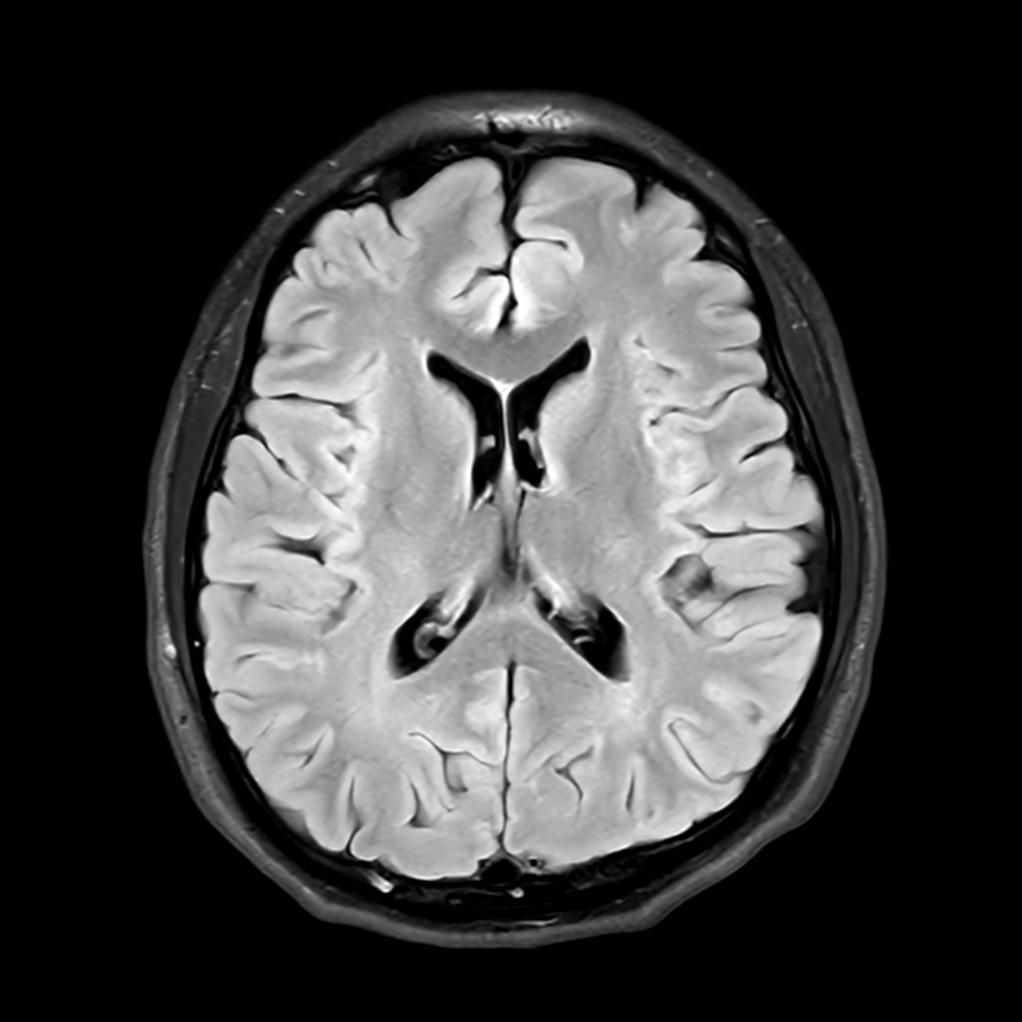
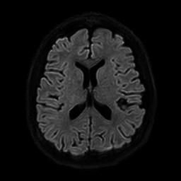
뇌 후두피질위축 봐주시면 감사하겠습니다(mri)

성별

남성

나이대

30대

기저질환

고지혈증

뇌의 위축 정도가 심한 상태인가요

요즘 눈이랑 정신이 좀 이상해서 뇌mri를 찍었는데 이렇게 나오네요.

알츠하이머와 관계가 있는 것 같은데..

제발.. 답변 부탁드리겠습니다.

  • 1번 째 사진
  • 2번 째 사진
  • 3번 째 사진
  • 4번 째 사진
  • 5번 째 사진
  • 6번 째 사진

2개의 답변이 있어요!

  • 옥영빈 의사

    옥영빈 의사

    홍성의료원

    정확한 것은 정식 판독을 받아보아야 알 수 있겠습니다만, 개인적인 경험을 토대로 보았을 때에는 위축이 심하다고 보기에는 무리가 있어 보입니다. 뇌실이 비정상적으로 커져 보이지도 않고 뇌의 태두리가 두개골에서 많이 떨어져 있지도 않은 것이, 해당 사진들만 보아서는 위축이 심하고 치매를 의심하여야 한다 어떻다 판단을 내리기는 어려울 것으로 사료됩니다.

  • 안녕하세요. 채홍석 가정의학과 전문의입니다.

    업로드해주신 증상의 설명과 자료는 잘 보았습니다.

    특별한 이상은 보이지 않는 것 같습니다.

    알츠하이머의 경우 뇌MRI로 진단하지는 않습니다.

    판독소견을 다시 한 번 확인해보세요