아하
  • 토픽

  • 스파링

  • 잉크

  • 미션


의료상담

의로운칠면조88

의로운칠면조88

사랑니 발치한지 8개월이 지났는데 이따금씩 잇몸쪽이 아픕니다

성별

여성

나이대

33

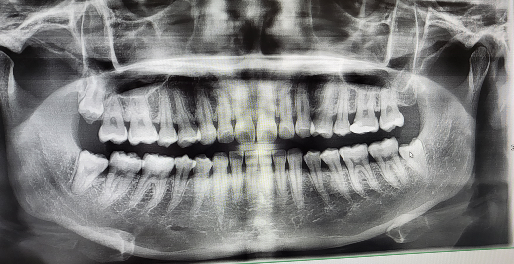
매복사랑니 발치 8개월이 지났습니다

이따금씩 발치한 사랑니 뒷쪽이 붓는 느낌이고 염증이 있는 느낌인데... 가만히 있을때도 아프며 만지면 살짝 부어있습니다

치과에 다녀오니 치주염이라고 하며 대학병원에서 잇몸을 절개하거나 하는 수술을 해야할수도 있다고 하네요 => 이 수술명은 무엇인가요? 또한 수술을 해도 또 재발할 수 있다고 하는데 ㅠㅠ 평생 이렇게 지내야 하는지,,, 잇몸 붓는 걸 방지하려고 매복사랑니를 발치한 것인데 이런 상황이면 발치를 괜히 한 것 같아서 속상하네요

예방법이나 다른 방법이 없는지요... 사진은 사랑니 발치 전 사진입니다 (오른쪽 아래 사랑니 발치하였습니다)

  • 1번 째 사진

1개의 답변이 있어요!

  • 남희성 의사

    남희성 의사

    대학병원 재활의학과

    안녕하세요. 남희성 의사입니다.

    해당 질문은 의료 카테고리가 아니라 치과 카테고리에 올려보시는게 맞겠습니다.

    전문분야에 보면 치과 카테고리가 따로 있습니다.