의료상담
55글자 더 채워주세요.
2개의 답변이 있어요!
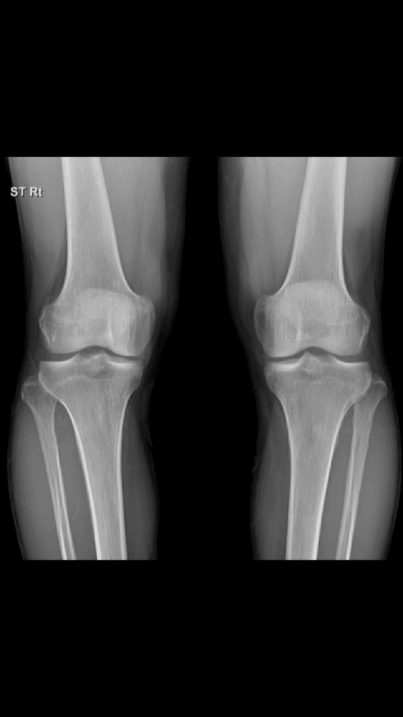
엑스레이 검사를 통해서는 연골이나 인대 등에 대한 구조물은 평가 가능하지 않습니다. 올리신 사진의 엑스레이 소견에는 특별히 문제가 있어 보이는 부분이 있어 보이지 않습니다. 정상적으로도 안쪽이 바깥쪽보다 다소 뼈 사이 공간이 좁을 수 있습니다.
안녕하세요. 송진영 물리치료사입니다.
올려주신 무릎 엑스레이를 보면 양쪽 무릎 관절 간격이 조금 차이가 나고 왼쪽 무릎 안쪽 관절 간격이 상대적으로 좁아진 것처럼 보입니다.
이는 일반적으로 내측 관절 연골이 닳아 발생하는 초기 퇴행성 변화일 가능성을 시사합니다.
사람마다 양쪽 무릎 간격이 약간 다를 수 있지만 통증이 있고 한쪽이 유독 좁아진 경우에는 퇴행성 변화 가능성을 고려해야 합니다!

