아하
  • 토픽

  • 스파링

  • 잉크

  • 미션


의료상담

안녕하세ㅇ

안녕하세ㅇ

폐결절 고형으로도 보이고 간유리로도 보이면 무엇인가요?

성별

남성

나이대

30대

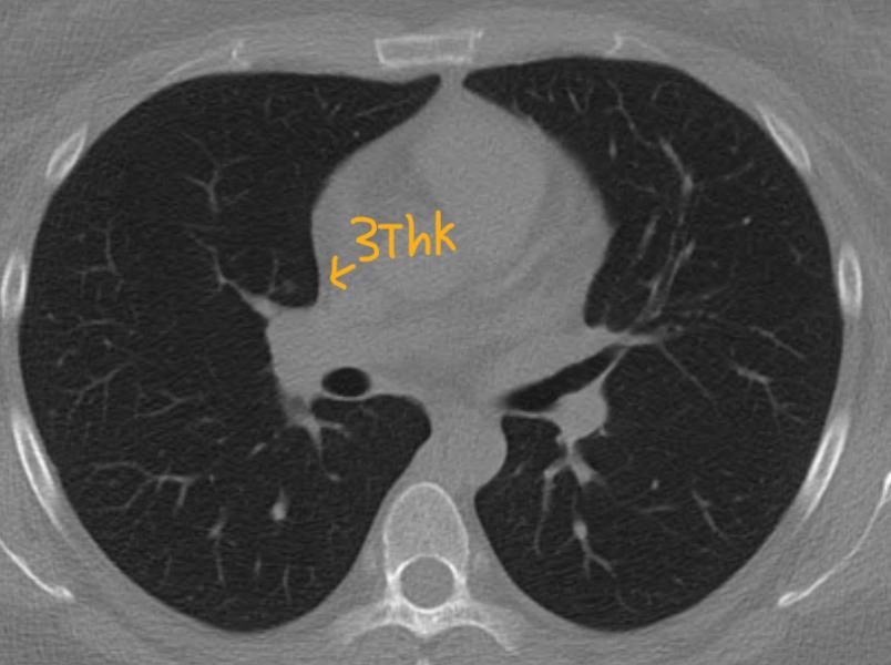
일단은 판독전 간유리라고 들었는데

1슬라이드이선 하얀색 2슬라이드에선 음영진튼 회색 3슬라이드에선 아주연한 회색등..이면

순수가 아닌 고형있는 간유리일 확률이 있는건가요?

사진 봐주시길 부탁두려요

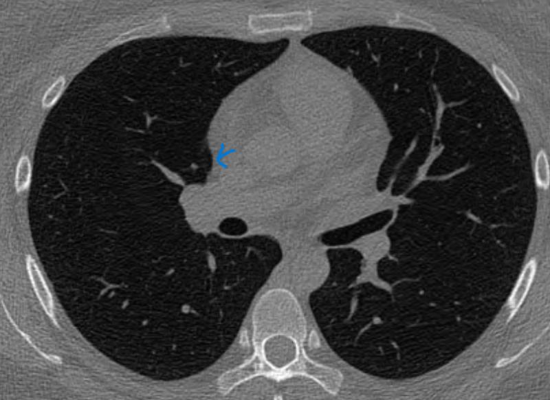
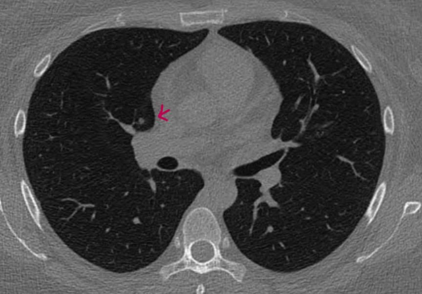
3thk 적혀있는거 제외하고 1thk입니다

밝고 선명한건 AI가 발견한것으로 두번째 사진이랑 같은거 같습니다.

이런 경우는 무엇인지 답변해주시면 감사합니다

요약 정보가 없어요.

  • 1번 째 사진
  • 2번 째 사진
  • 3번 째 사진
  • 4번 째 사진
  • 5번 째 사진

1개의 답변이 있어요!

  • 채홍석 가정의학과 전문의

    채홍석 가정의학과 전문의

    유성선병원

    안녕하세요. 채홍석 가정의학과 전문의입니다.

    CT를 확인하시고 간유리음영이라고 들었는데 영상을 직접 확인하시고나니 조금씩 차이가 나서 헷갈리시는 것 같습니다.

    일단은 첫번째 영상은 크기가 애매해서 말씀드리기는 어려운 것 같구요

    둘째 영상과 셋째 영상은 둘다 간유리음영으로 보셔도 될 것 같습니다.

    물론 둘째 영상보다 셋째 영상이 더욱 흐지부지하게 보이기는 하지만

    그렇다고 둘째 영상이 고형성이라고 보기는 어려울 것 같습니다.

    따라서 현 영상만으로 보다면 간유리음영이라고 생각을 하셔도 될 것 같으며

    일부 고형성 결절 부분을 포함하고 있다는 걱정은 굳이 하지 않으셔도 될 것 같습니다.

    물론 이후 정식 판독 소견이 나오면 꼭 확인을 해보시면 되겠습니다.