아핫뉴스실시간 인기검색어
아핫뉴스 화산 이미지
화산 아이콘 11
증권 파생상품시장 개장식
아하

의료상담

치과

씩씩한두꺼비192
씩씩한두꺼비192

입안 볼살 염증(농양) 어느진료과에서 치료해야 되나요?

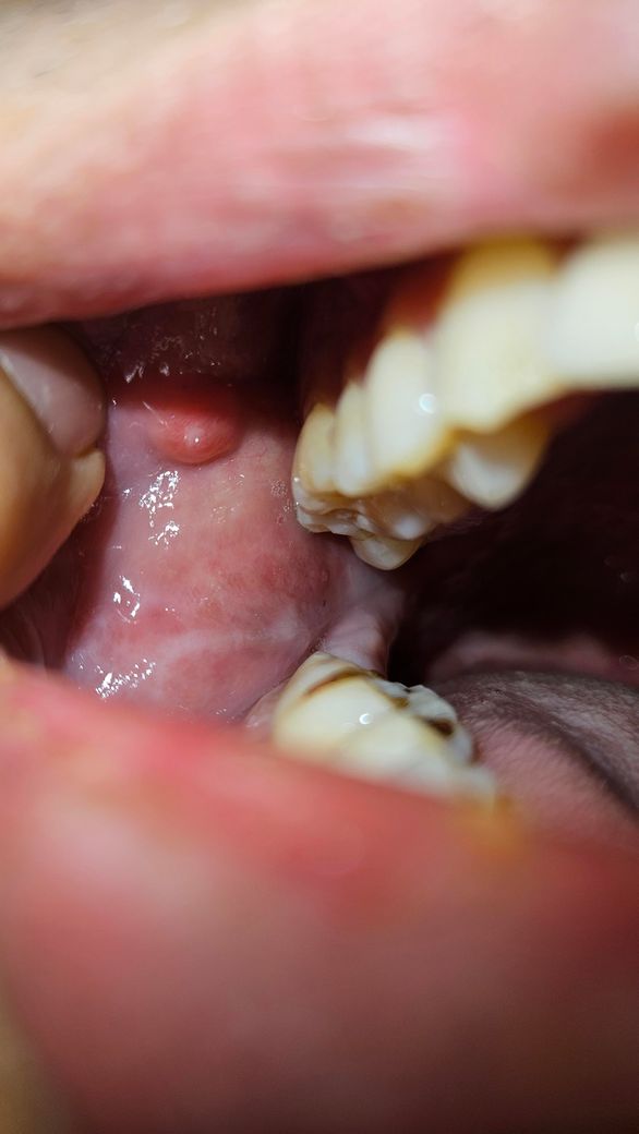
오늘 아침 자고 일어나니, 입안통증이 있어, 보니 우측 윗어금니 부분 볼살이 부어있었습니다. 이에 인근 치과에 급하게 방문하니, 목시클란정375mg 3일치 처방해주시면서 이후에도 통증이 있으면 내과나 이비인후과에 가보라고 하시더군요. 오늘 늦은오후에 다시 입안을 ㅂ느니 더 심해져서 노란농양이 생겼더군요(사진상 플래시로 노란 농양은 안보임). 이럴 경우 다음주 월요일에 다른 치과를 가야될지 아니면 이비인후과를 가야될지 고민되어 문의드립니다. 그리고 배농으로 입안 절개까지 고민해봐야 되는지 문의드립니다.

  • 1번 째 사진
  • 2번 째 사진
3개의 답변이 있어요!
  • 안녕하세요. 김철진 치과의사입니다.

    볼살이 씹히면서 생긴 부종일수도 잇으니 일단 치과에 가셔서 체크를 먼저 받아보시는게 좋을것같습니다.

    1명 평가
  • 안녕하세요. 김지훈 치과의사입니다.

    정확한 원인 파악을 위해서는 대학병원 구강내과, 외과 가보시는 게 좋으며 염증이 있어보입니다.

    1명 평가
  • 안녕하세요. 최석민 치과의사입니다.

    대학병원의 구강내과 또는 구강외과 내원을 권유드립니다 일반 치과에서 처치 및 조직검사는 어려울 수 있습니다

    1명 평가