아하
  • 토픽

  • 스파링

  • 잉크

  • 미션


의료상담

후련한파랑새196

후련한파랑새196

채택률 높음

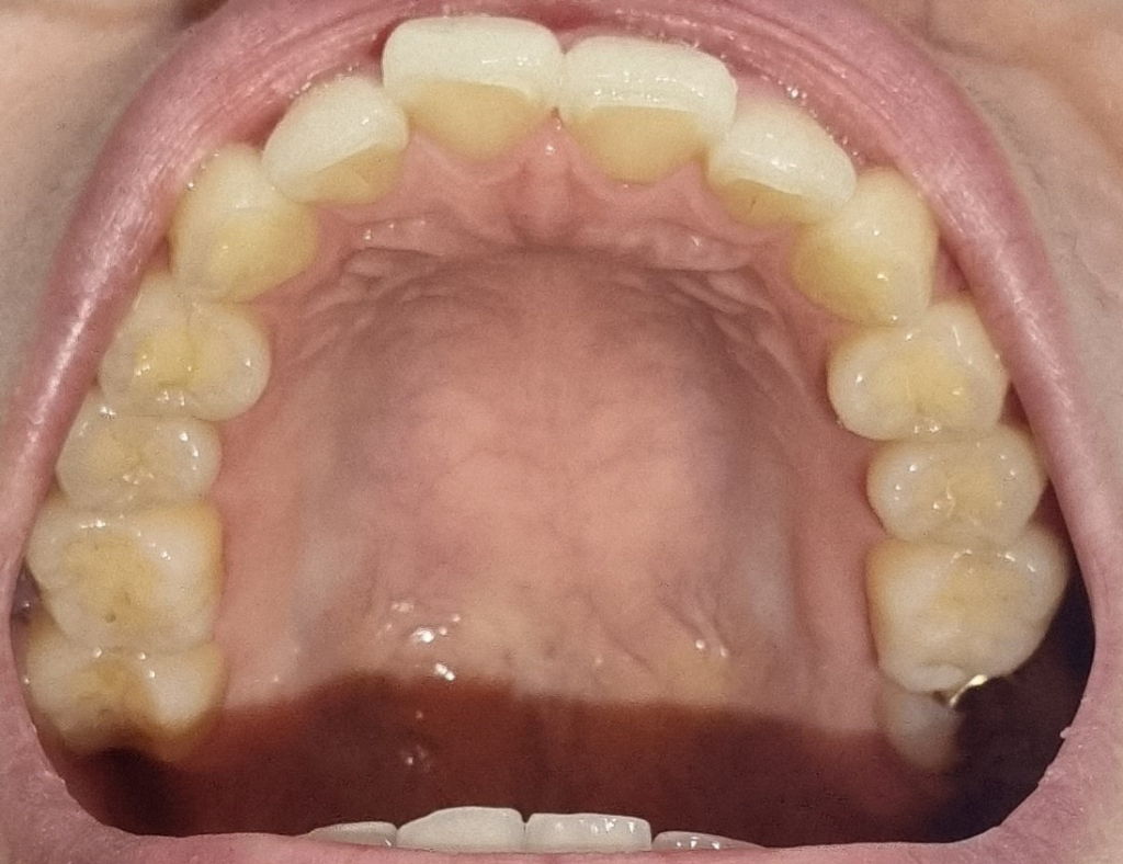
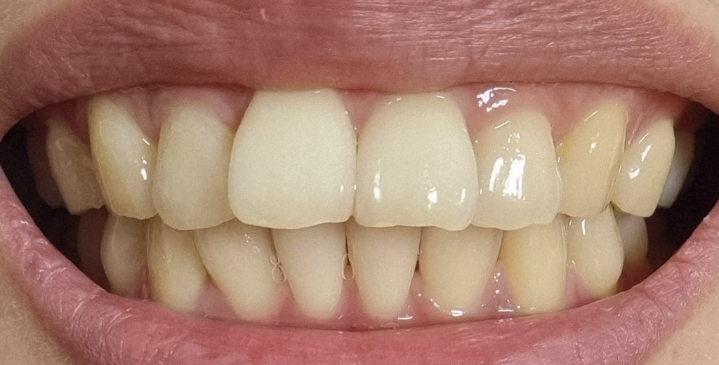
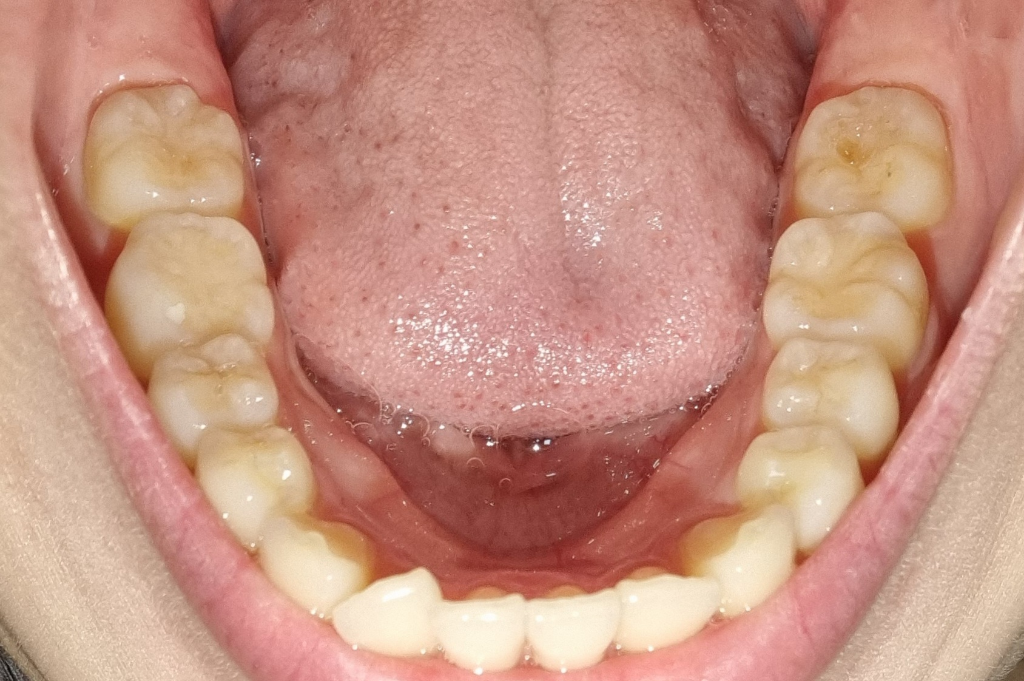
치아마모가 심한편인가요? 관리를 어떻게 해야할까요?










스플린트를 어릴때 했었는데 효과가 없었습니다.

중학생때부터 이를 갈았고 지금은 29세 입니다.

중간에 이갈이를 멈췄던 시기도 있고

가족들이 지금은 이를 갈지 않는다고 하는데

솔직히 잠들면 잘 모르겠습니다.


스플린트도 하고싶고 보톡스도 맞아보고싶은데

이를 더 갈수도 있다고 하니 고민입니다.

지금 딱딱하고 질긴 음식을 잘 먹지 않고있습니다.

치아에 실금도 많다고 하시고 혀로 만져보면 까끌까끌 금간게 느껴집니다.


1. 치아 마모가 심각한 수준일까요?

2. 스플린트나 보톡스를 맞아야 할까요?

스플린트도 종류가 있을까요?

  • 1번 째 사진
  • 2번 째 사진
  • 3번 째 사진
  • 4번 째 사진
  • 5번 째 사진

3개의 답변이 있어요!

  • 김철진 치과의사

    김철진 치과의사

    가까운우리치과

    안녕하세요. 김철진 치과의사입니다.

    사진상으로 보면 치아 마모상태가 심한거 같진 않습니다. 턱관절이 아프거나 그럴경우에는 스플린트나 보톡스 치료를 받으시면될것같습니다.

  • 안녕하세요. 안상우 치과의사입니다.

    이갈이 등으로 인해서 치아의 마모가 있다면 이갈이 증상을 줄이기 위해서 스프린트를 지속적으로 착용 하는 것이 좋습니다.

    사진으로만 봤을 경우에는 마모 의 정도를 판단 하기 힘들어 보입니다

    정확한 확인을 위해서 치과에서 진료를 받아 보세요.

  • 안녕하세요. 최석민 치과의사입니다.

    1. 사진상 치아 마모가 아주 심한 수준은 아니라고 판단됩니다.

    2. 스플린트는 이갈이 시 근본적인 원인 해결이 아니고 치아가 손상되는 것을 방지하는 것입니다

    근본적인 해결책을 위해서는 구강내과에 과서 턱관절, 턱근육에 대한 진단을 받아보시기 바라며 주로 이 수면 중 악물기는 턱관절, 근육의 과긴장과 관련되어 있습니다

    보톡스 주사도 효과가 일부 있을 수 있습니다