아핫뉴스실시간 인기검색어
아핫뉴스 화산 이미지
화산 아이콘 11
이혜훈 제명 사태
아하

의료상담

치과

빨간잠자리274
빨간잠자리274

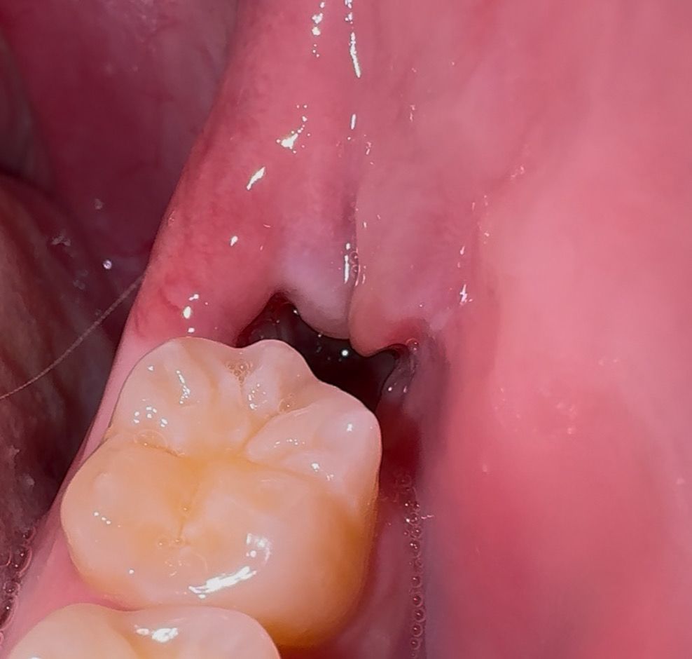
사랑니 발치 12일차, 잘 아물고 있을까요?

사랑니 뽑고 12일차입니다. 아물고있긴 한거같은데 저 튀어나온 살이 달랑거리는게 뭔가 굉장히 거슬리네요 ㅠㅠ 원래 이런건가요? 잘 아물고 있는걸까요?

  • 1번 째 사진
3개의 답변이 있어요!
  • 안녕하세요. 김지훈 치과의사입니다.

    사진 상으로는 특별히 이상이 보이진 않습니다. 완전히 아무는데에는 시간이 필요하니 천천히 기다리시면 됩니다.

  • 안녕하세요. 김철진 치과의사입니다.

    발치한곳 잇몸이 다 아물지 않아서 그렇게 보이는거니 시간이 지나면잇몸이 아물면서 괜찮아 지실꺼에요.

  • 안녕하세요. 안상우 치과의사입니다.

    시랑니를 발치하고 나면 잇몸이 올라와 있을수 있습니다 이런 부위는 대부분 시간이 지나면서 자연스럽게 아물게 됩니다.