의료상담

사랑니 뽑았는데 혈병이 떨어진것같아요. ㅠㅠ

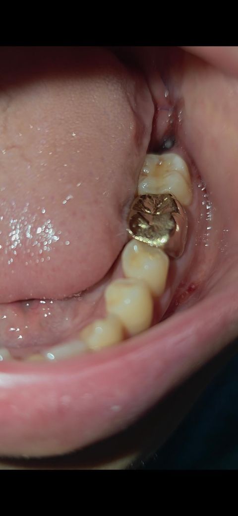
금요일 17시에 발치

어젯밤까지 있던 혈병이

일요일 아침에 없습니다.

통증은 어제보단 줄었습니다만..

걱정이 많이됩니다.

사진 순서대로 시간차입니다.

두번째가 어젯밤

세번째가 오늘 일요일 아침입니다.

통증은 어제비해 없는 편인데 뭔가 입냄새 좀 나는것같아요. 썩은내는아니거.. 그냥 구취

매복은아니지만 뿌리끝이 신경이 걸쳐있어서 째고 뽑았습니다!

  • 1번 째 사진
  • 2번 째 사진
  • 3번 째 사진

2개의 답변이 있어요!

  • 안녕하세요. 김철진 치과의사입니다.

    사진상으로 보면 지혈도 잘된거 같습니다. 크게 문제가 잇는건 아니니 너무 걱정은 안하셔도 될것같습니다.

  • 안녕하세요. 최석민 치과의사입니다.

    혈병은 원래 시간이 지나면 흡수됩니다 별 걱정 안해도 될 상황같습니다 사진보면 치유도 되고 있는것 같습니다