의료상담
단순 편도염이 아닐 가능성이 있을까요?
성별
여성
나이대
21
기저질환
비염
복용중인 약
항생제,감기약
근 한달?정도 몸이 으슬으슬하고 안좋아서 약을 먹고 있습니다. 항생제는 2주정도 먹었고요...
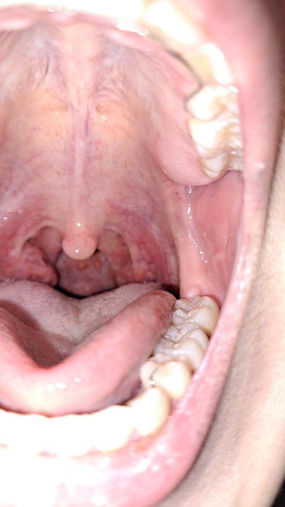
오늘아침에 양치하다 느낌이 이상해서 보니 한쪽 편도가 이렇게 커져있네요. 톡톡 건드렸을때 통증이 있지는 않습니다.
혹시 이게 단순 편도선 염증이 아니라 종양이나 혹일수도 있을까요?
55글자 더 채워주세요.
3개의 답변이 있어요!
안녕하세요. 이영민 의사입니다.
현재 상태로 보았을 때는 종양보다는 편도선염일 가능성이 더 높아보이며, 이에 대한 항생제 변경 치료 또는 증상이 심할 시 수술적 절제를 고려해 봐야 겠습니다. 다만 편도암을 아예 제외시키기는 어려우므로 정확한 진단을 위해서는 근처 이비인후과에 가셔서 의사의 진료를 받아보시는 것이 좋겠습니다.
감사합니다.
안녕하세요. 채홍석 의사입니다.
확률은 낮지만 가능성이 없다고 할 수는 없겠습니다
직접 눈으로 확인을 해봐야 합니다
이비인후과 진료를 받아보시기 바랍니다.
추천 좋아요 부탁드립니다.
관련 전공이 아니라 조심스럽지만 (개인적으론)
컨디션 저하 + 편도선 비대 등에서는
세균이나 바이러스 감염으로 인한 염증일 가능성이 높아보이긴 합니다.
컨디션 호전 후에도 편도선 관련 증상이 지속된다면
이비인후과 방문을 권유드립니다
장도연이 추천하는 아하!
앱으로 편리하게 사용해 보세요.