의료상담

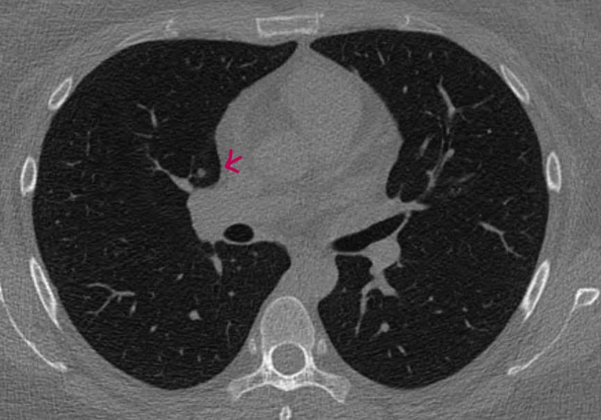
폐결절 간유리인지 고형인지 알려주세요

성별

남성

나이대

30대

3thk 적힌거 제외 1thk입니다.

의사 두분은 간유리라고 했는데 두번째 병원에서 영상판독지 고형이라고 나왔는데

시리즈를 다른거 보신거 같아요.

ct영상이 목록이 나뉘어 있는데 빨간화살표 표시가 5시리즈 1thk였는데

판독지도 의사분도 2시리즈 3thk 영상기준 설명해준거 같아요. 판독지에 2시리즈 52(사진상 3thk) 라고 적혀있었음.

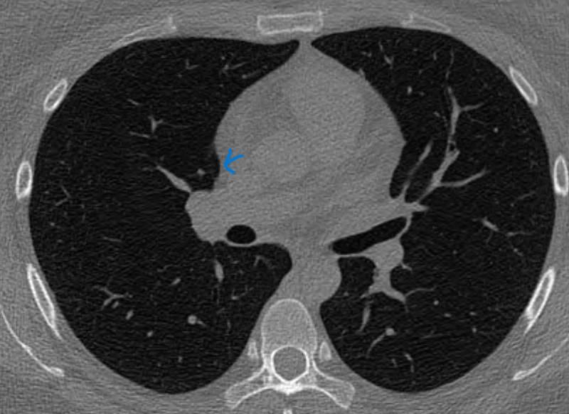
슬라이드 마다 고형같고 간유리 같고 반고형( 빨간화살표 사진)은데 확인부탁드려요

잘 아시는 분만 답변해주세요.

그리고 혈관이 동그랄수도 있나요?

1년전이랑 1년후에 폐ct 두번에서 혈관이 보일수가 있나요?

요약 정보가 없어요.

  • 1번 째 사진
  • 2번 째 사진
  • 3번 째 사진

1개의 답변이 있어요!

  • 제시된 CT 단면만으로 확정적인 결론을 내리기는 어렵지만, 영상 형태를 종합하면 전형적인 고형 결절로 보기는 제한이 있습니다. 표시된 병변은 경계가 비교적 또렷한 구조처럼 보이지만, 연속된 슬라이스에서 일정한 덩어리로 유지되는 고형 결절의 특징보다는 인접 구조와 이어지는 양상이 의심됩니다. 특히 슬라이스 두께가 1mm와 3mm에서 다르게 보이고 특정 시리즈에서만 강조되는 점은 부분용적 효과에 의해 고형처럼 보일 가능성을 시사합니다.

    간유리 결절은 폐 실질 내에서 흐릿하게 음영이 증가하면서 혈관 구조가 그대로 비쳐 보이는 형태가 특징인데, 현재 영상에서는 그러한 전형적인 간유리 음영보다는 비교적 명확한 구조물 형태로 관찰됩니다. 따라서 간유리 결절로 단정하기도 어렵고, 고형 결절로 보기에도 일관성이 부족한 상태입니다.

    오히려 폐혈관이 단면으로 보이거나 혈관과 연속된 구조일 가능성이 더 높습니다. 폐 CT에서는 혈관이 단면에서 원형 또는 타원형으로 보일 수 있고, 촬영 각도나 절편 두께에 따라 결절처럼 오인되는 경우가 흔합니다. 동일 위치에서 1년 전과 이후 CT에서 반복적으로 보이는 경우도 정상 혈관 구조로 설명이 가능합니다.

    결론적으로 현재 자료만으로는 고형 결절로 확정하기 어렵고, 간유리 결절의 전형적 소견도 아니며, 혈관 또는 혈관 관련 구조일 가능성이 상대적으로 높습니다. 최종 판단은 1mm 이하 얇은 절편의 연속 영상에서 병변이 독립된 결절 형태로 유지되는지, 혈관과 연결되는지를 확인하는 것이 핵심이며 동일 조건의 CT로 비교 판독을 받는 것이 가장 정확합니다.