아하
  • 토픽

  • 스파링

  • 잉크

  • 미션


의료상담

사려깊은허스키91

사려깊은허스키91

25.03.14

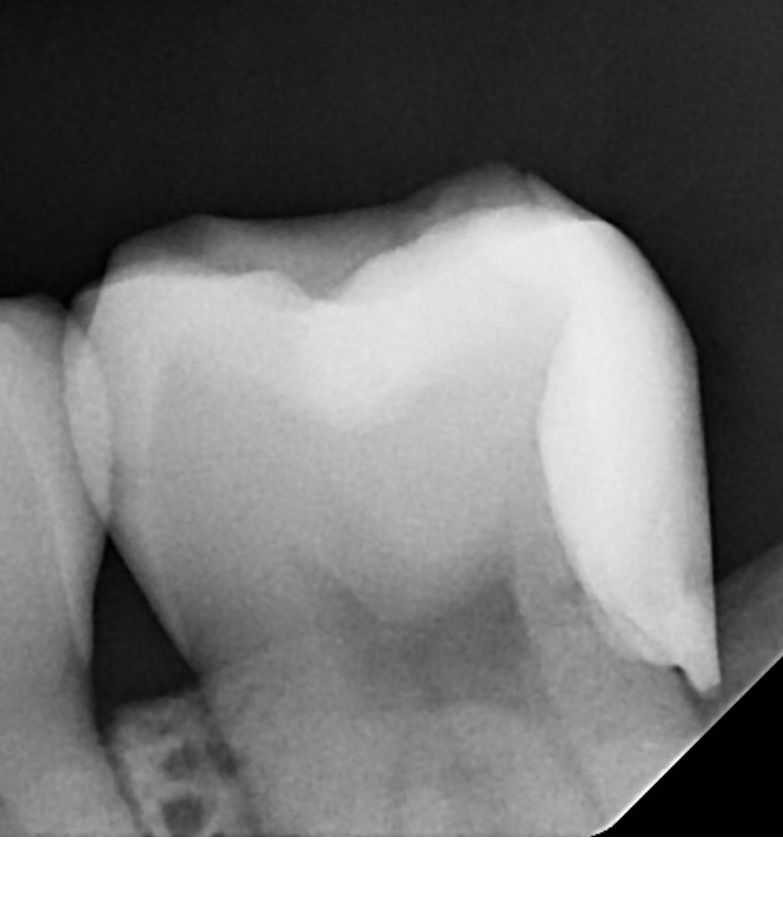
치아 치료한지 좀 됐는데 교체해야 할까요??

안녕하세요, 4년 전쯤 치료한 치아인데 레진이나 복합물 수명이 4-5년이라고 들어서, 선생님들이 엑스레이 보시기엔 괜찮은지 궁금합니다.

  • 1번 째 사진

3개의 답변이 있어요!

  • 김지훈 치과의사

    김지훈 치과의사

    메가

    25.03.15

    안녕하세요. 김지훈 치과의사입니다.

    충치치료는 보통 5년 정도의 기한이 있지만 특별히 문제가 없다면 굳이 치료하지 않아도 됩니다.

  • 안녕하세요. 김철진 치과의사입니다.

    크게 아프거나 불편하지 않다면 그냥 사용하셔도 될것같습니다. 엑스레이상으로도 크게 문제가 잇어 보이는건 없습니다.

  • 안녕하세요. 안상우 치과의사입니다.

    사진으로 봤을 때 뒤에 있는 수복물의 면이 떠 있는 것으로 보입니다. 치아의 뒷면은 치료하기가 힘든 면이기 때문에 치료를 한다고 해도 완전한 접합이 어려운 경우가 있습니다.

    이런 경우에는 레진이라는 치료보다 크라운이라는 보철 치료를 하는 것이 더 좋을 수 있습니다. 경기 부위가 떠 있으면 해당 부위에 이물질이 남아 있게 되고 충치 등이 진행될 수 있기 때문입니다.