아하
  • 토픽

  • 스파링

  • 잉크

  • 미션


의료상담

아직도뛰어난이구아나

아직도뛰어난이구아나

25.04.22

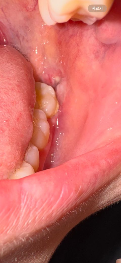
매복 사랑니 발치 후 8일차 괜찮은건가요??(사진 첨부)

매복 사랑니이고 실밥 제거한지 하루정도 지났습니다. 흰색 알맹이 같은거랑 그 사이에 검은색도 같이 보이는게 상태가 괜찮은거 맞나요? 음주를 해도 괜찮은 상황인지 묻고 싶습니다.

치과를 어제 다녀오긴 했는데 그동안 제 잇몸 안보다가 오늘 보니까 저런 상태여서 걱정 돼서 질문 드립니다!

  • 1번 째 사진
  • 2번 째 사진

4개의 답변이 있어요!

  • 김지훈 치과의사

    김지훈 치과의사

    메가

    25.04.24

    안녕하세요. 김지훈 치과의사입니다.

    매복 사랑니이고 실밥 제거한지 하루정도 지났다면 현재 사진 상으로는 잘 낫고 있어 보입니다.

  • 안녕하세요. 김철진 치과의사입니다.

    사진상으로 보면 잘 아물고 잇는거 같습니다. 큰 문제가 잇는건 아니니 너무 걱정하지마세요.

  • 안녕하세요. 안상우 치과의사입니다.

    사랑니를 발치하고 크게 불편감이 없다면 잘 아물고 있는것으로 보입니다.

    발치한 부위가 잘 아물기 위해서는 해당부위가 자극이 되지 않도록 해야합니다.

    자세한 확인을 위해서 치과에서 진료를 받아보는 것을 권유드립니다.

  • 안녕하세요. 최석민 치과의사입니다.

    단순 염증 같고요 위생관리 잘해주기 바랍니다

    일반적으로 발치 후 원활한 잇몸 치유를 위해 1~2주 금주를 권합니다