의료상담
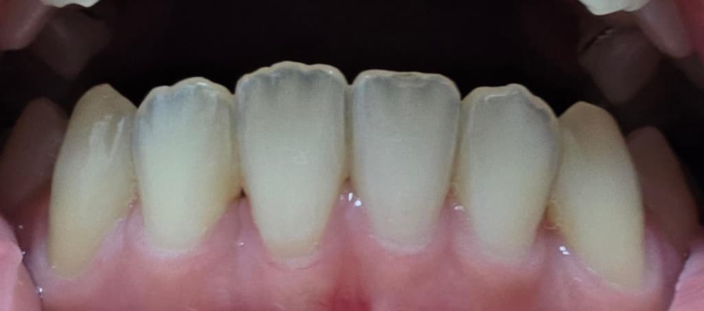
제 잇몸 상태가 많이 내려가있는건지 궁금해요
교정 했었구요 20대 중후반입니다
어느순간부터 아래앞니 뿌리가 보이기 시작하는거 같아서요 심각한 정도인가요? 다시 잇몸 안 올라온다는 건 알지만 심한건지 걱정이 돼서요
증상은 차가운거 앞니쪽에 닿으면 시린데 평소에 그쪽으로 잘 안먹어서 그런가 큰 불편함을 못느끼고 살았어요
55글자 더 채워주세요.
5개의 답변이 있어요!
안녕하세요. 김지훈 치과의사입니다.
잇몸퇴축이 많이 진행된 것은 아니지만 약간 시작된 정도이며 양치 및 관리에 신경 써주셔야합니다.
안녕하세요. 김철진 치과의사입니다.
사진상으로는 크게 잇몸이 내려간것처럼 보이진 않지만 두번째 사진 에서 아래 앞니는 약간 잇몸이 퇴축된것처럼 보이니 양치는 너무 강하게 하진 마세요.
안녕하세요. 안상우 치과의사입니다.
나이가 들면 잇몸이 조금씩 내려갈수 있습니다. 사진으로 보이는 정도는 큰 문제가 될 정도는 아니기 때문에 걱정하지 않으셔도 될것으로 생각됩니다.
안녕하세요. 최석민 치과의사입니다.
잇몸퇴축은 다소 진행된 편이고요
치아 시린 증상에 대해서는 평상시 시린이 치약 사용, 치과에서 불소도포 해보시기 바랍니다
안녕하세요. 송우식 치과의사입니다.
이정도면 정상범주에 포함된다고 보면 됩니다. 아래 앞니 1개가 조금 내려가 보이지만 이것도 정상 범주로 보아도 됩니다. 치솔질 할 때 옆으로 힘이 쏠리지 않도록 특히 조심해야 합니다. 앞니 앞면은 치솔질을 위아래 상하로 해야 치아옆면이 마모되는 것을 예방할 수 있습니다.

