아하
  • 토픽

  • 스파링

  • 잉크

  • 미션


의료상담

비범한도마뱀149

비범한도마뱀149

22.09.13

임플란트 치솟음 / 치료 과정중 대처?

저희 어머니께서 본 글에서 문제되는 임플란트를 10년전에 하셨는데요,치과 정기검진을 2년정도 안받으셨습니다.

어머니가 오늘 치과에 다녀오셨는데

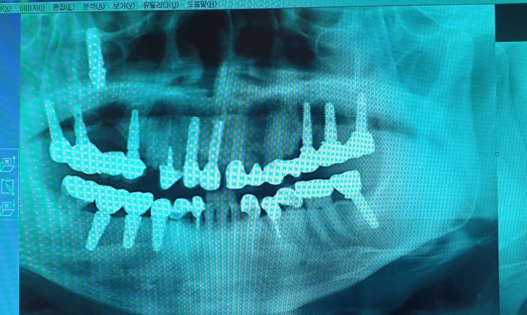
보시다시피 왼쪽 위 어금니쪽의 임플란트 위치가 상당히 치솟아 인터넷에 알아보니 상악동을 뚫고 올라간것으로 보이고,

어머니께서 두통을 호소 하셨었는데 귀의 달팽이관 문제 외에도 이 때문에 두통이 발생할수 있는지 궁금합니다.(첫번째 질문입니다)

그 외에도 앞니 인플란트 한곳을 포함하여 4곳의 치아 깨짐이 있다고 합니다.

결국 치솟은 임플란트를 뽑아내는 치과치료를 다녀왔으나 결국 빼내지 못하고 돌아오셨다 하십니다.

환자가 2년동안 병원에 방문하지 못했지만,

저렇게까지 위치가 이동하는건 일반인의 눈으로 봐도 드문 케이스라 생각이듭니다.

이같은 상황에서

2. 올바른 치료 과정이 궁금하고

3.오늘같이 제대로 치료가 안되 결국 의료사고가 발생한다면

어떻게 보상을 받아야 하는지 궁금합니다

  • 1번 째 사진

3개의 답변이 있어요!

  • 정진석 치과의사

    정진석 치과의사

    대학병원 통합치의학전문의

    22.09.14

    안녕하세요. 정진석 치과의사입니다.

    1. 현재 나타나고 있는 두통 등의 증상이 해당 임플란트가 상악동으로 들어가서 생긴 문제로 보여집니다. 사진 상으로 정확히 보이지 않으나 심각한 상악동염이 동반되고 있는 것으로 보여집니다.

    2. 해당 부위는 단순히 로컬 병원이 아닌 대학병원에서 상악동 수술을 하셔야 합니다. 즉 수술을 통해서 픽스쳐를 제거해야 할 것으로 보입니다.

    3. 현재 치료가 제대로 되지 않았는지, 아니면 사용 도중에 문제가 발생했는지는 정확히 판단할 수 없지만 일단 빠른 수술을 하셔야 할 것으로 보입니다. 시간이 지나면 현재 픽스쳐가 더 이동해서 수술의 난이도를 높일 수 있습니다.

    아무쪼록 저의 답변이 문제 해결에 작게 나마 도움이 될 수 있기를 기원드립니다. 항상 건강하고, 행복하세요^^

    정진석 치과의사 드림

  • 안녕하세요. 김철진 치과의사입니다.

    일단은 상악동에서 임플란트를 제거 하는게 맞습니다. 아마도 대학병원으로 가셔서 한번 상담을 받아보세요. 치료가 제대로 안된건 아니지만 보철물까지 다 올라간상태에서 저게 어떻게 상악동으로 빠졋는지는 의문이네요.일단 치료를 먼저 하시고, 보상관련은 해당치과에서 상의를 받아보시는게 좋을것같습니다.

  • 안녕하세요. 안상우 치과의사입니다.

    사진으로 봤을 경우 왼쪽위에 보이는 임플란트는 정상적인 위치가 아닌것으로 보이며 사진을 찍을때의 오류가 아니라면 상악동으로 들어갔을 가능성이 있습니다.

    이런경우에는 임플란트를 제거하는 수술을 하는것이 좋으며 해당치과에서 제거를 못하는경우에는 구강외과가 있는 대학병원에서 제거를 해야 합니다.

    해당치료로 인해서 불편감을 가지고 있다면 시술을 한 치과에 문의를 하고 해당 의료기관에서 의료사고보험에 가입되어 있다면 해당 보험사와 연락을 해서 보상범위를 논의 할수 있습니다.