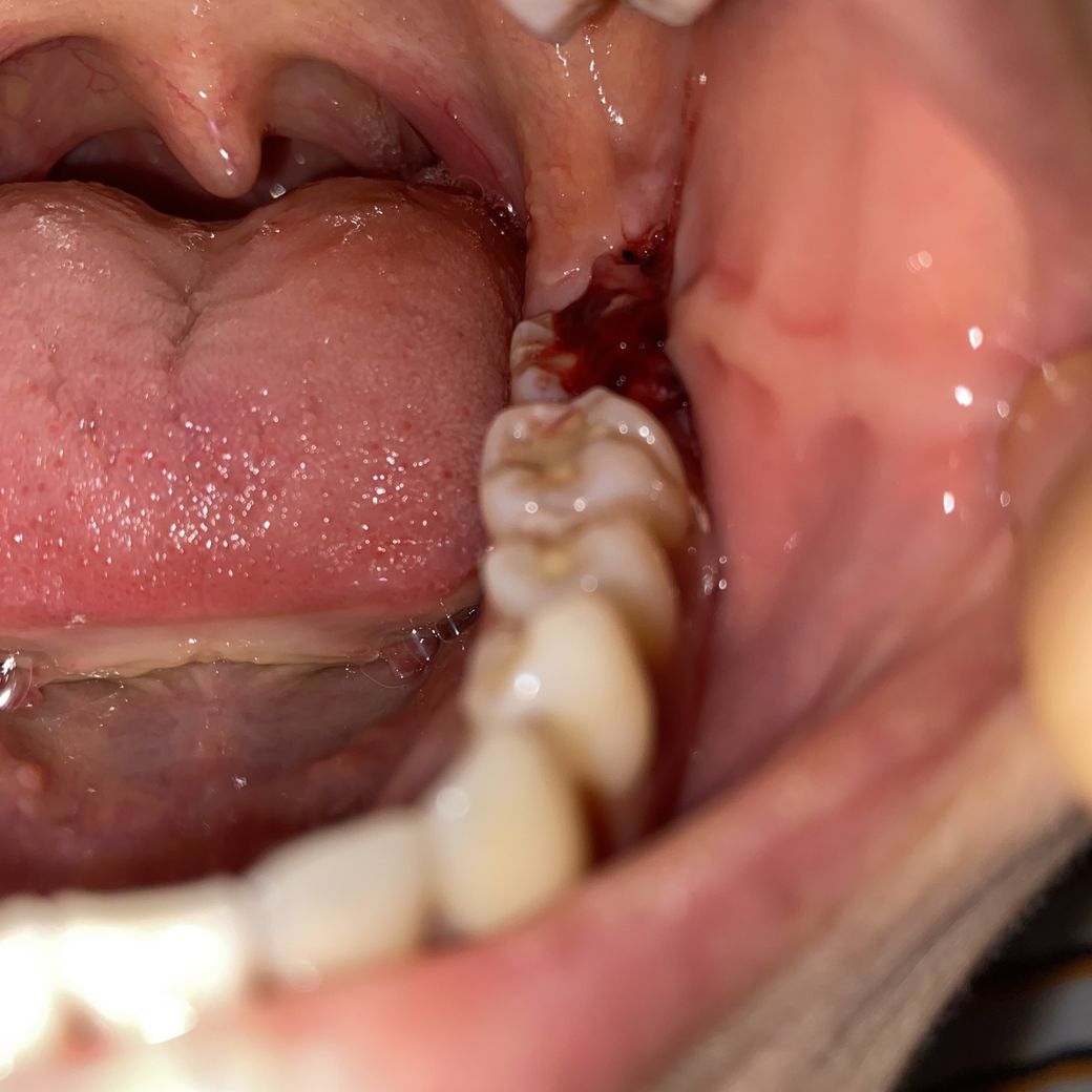
사랑니 제대로 낫고있는게 맞나요?
월요일에 뽑고 지금 5일째입니다.
피맛이 너무 많이나서 보니 피가 나고있는 것 같아서요ㅠㅠ
혹시 문제될만한것이 있을까요?
옆에 볼이 부어서 계속 같이 씹히는 중이고
발치한 부분 근처 치아와 턱이 좀 불편해요 약간 시린느낌?
그냥 울렁거리는 기분…?
드라이소켓이 가장 잘 발생한다는데 그런 가능성은 없어보이나요?ㅜ
혹시 병원을 오늘 가봐야할까요
실밥은 다음주 월요일에 뽑기로 했습니다.
매복사랑니인데 머리가 약간 나와있다고 했었어요…
안녕하세요? 아하(Aha) 의료 분야 지식답변자 옥영빈의사입니다.
질문하신 내용에 대하여 아래와 같이 답변 드립니다.올려주신 사진으로는 발치 부위에 대한 정확한 평가를 할 수 없습니다. 만약 이상 소견이 있으시거나 걱정이 되신다면 발치하신 치과에 가서 검진을 한 번 받아보시는 것이 안전하겠습니다.
안녕하세요? 아하(Aha) 의료 분야 지식답변자 김경태 의사입니다.
질문하신 내용에 대하여 아래와 같이 답변 드립니다.이 사진만 봐서는 모릅니다. 엑스레이를 봐야 합니다.
보다 정확한 진단과 치료를 위해서 가까운 의원 혹은 병원 내원하셔서 전문의의 문진, 신체진찰 및 추가 영상학적 정밀검사를 해보시길 권유드립니다.
안녕하세요? 아하(Aha) 의료 분야 지식답변자 정진석 의사입니다.
질문하신 내용에 대하여 아래와 같이 답변 드립니다.사랑니 발치 이후에 지혈이 잘되고 있지 않아 보입니다. 만약 드라이 소켓이면 발치 이후 2~3일부터 극심한 통증이 나타났을 것입니다. 현재 통증에 대한 증상이 나타나지 않는 것으로 보아 드라이소켓 보다는 지혈이 잘 이루어지지 않았는 것으로 보이며 치과 방문 후 다시 지혈하시길 바랍니다.
아무쪼록 저의 답변이 문제 해결에 작게 나마 도움이 될 수 있기를 기원드립니다. 항상 건강하고, 행복하세요^^
안녕하세요? 아하(Aha) 의료 분야 지식답변자 안중구 의사입니다.
질문하신 내용에 대하여 아래와 같이 답변 드립니다.작은 상처가 난 이후 지속되는 국소적인 통증과 열감 발적은 2차감염의 징후일 수 있습니다. 이 경우 연고등으로 치료가 힘들고 경구항생제 복용이 필요 할 수 있습니다. 시간이 지나 방치되어 열이 나는 경우 전신감염으로 진행 할 가능성이 있고 입원 후 항생제 주사 치료가 필요합니다.
안녕하세요? 아하(Aha) 의료 분야 지식답변자 이정현 의사입니다.
질문하신 내용에 대하여 아래와 같이 답변 드립니다.발치후 5일이 되었는데도 사진을 보면 피가 어느정도 나는 것으로 보입니다.
발치와 부위에서 피가나는것인지는 불분명하나, 발치한 치과에 가셔서 확인을 해보시고, 만약 발치부위에서 피가난다면 추가적인 지혈처치가 필요할 수 잇습니다. 감사합니다.

