의료상담
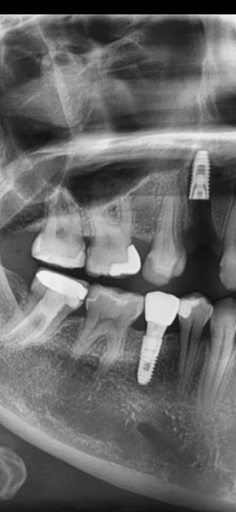
임플란트 잘 박힌건지 확인좀해주세요
다니던치과 사기당해서 다른치과가서 임플란트해야하는데 잘 된게맞나요? 지주대 머리 연결하기전 나사만 박혀있습니다ㅠㅠ하 골아프네요 정말
55글자 더 채워주세요.
6개의 답변이 있어요!
안녕하세요. 안상우 치과의사입니다.
사진으로만 봤을 경우에는 임플란트의 뿌리가 매우 깊게 식립된것으로 보입니다.
이런경우 보철물을 제작할때 지대주의 길이가 매우 길어질수 있을것으로 생각됩니다.
자세한 확인을 위해서 치과에서 진료를 받아보는 것을 권유드립니다.
안녕하세요. 송우식 치과의사입니다.
사진으로 보아 정상적으로 심어진 것으로 보입니다. 본인이 느끼는 통증이나 불편감 없다면 성공적으로 심었다고 보면 됩니다.
안녕하세요. 김지훈 치과의사입니다.
나사를 제거한 이후에새로 임플란트를 해야할 것으로 판단됩니다. 치과에 전화하셔야 합니다.
안녕하세요. 김철진 치과의사입니다.
임플란트가 깊게 심겻긴하지만 크게 문제가 잇어 보이진 않는거 같습니다. 기다리셧다면 보철물을 올리시면될것같습니다.
안녕하세요. 송준범 치과의사입니다.
솔직히 말씀드리자면 너무 깊습니다. 너무 깊어서 제거하기도 쉽지 않고 보철물을 어떻게든 만들어볼수도 있겠습니다만 기계적으로나 위생적으로 좋지는 않습니다.
안녕하세요. 최석민 치과의사입니다.
저 사진만 봐서는 정확히 평가는 어렵고요 잇몸뼈가 깊이가 부족하여 뼈가 있는쪽으로 다소 깊게 의도적으로 심은 것 같습니다 앞으로 뼈와 픽스처가 잘 유착되기만을 기다리면 됩니다

