의료상담
5중족골 수술 회복기간 여쭙고싶습니다
성별
남성
나이대
26
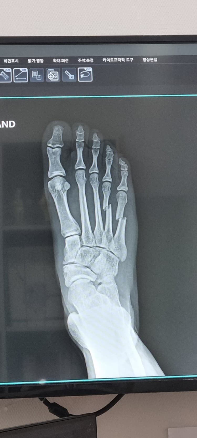
안녕하세요 MMA 스파링도중 발등뼈가 부러졌습니다.
저는 지금 유디티 준비중인데 12월에 실기에요... 지금부터 68일정도 남았는데
내일 수술을 받는다하면 12월쯤엔 뛸 수 있을까요?
너무 열심히 준비한 꿈이여서 이대로 포기하기 너무 맘이 아픕니다....
또 아래 사진정도면 신체검사시 감점때문에 그런데 비수술로는 회복이 어려울까요?
55글자 더 채워주세요.
1개의 답변이 있어요!
개개인마다 회복력이나 회복 과정에서 발생하는 여러가지 요인에 의해서 회복에 걸릴 시간이 천차만별로 다르기 때문에 현재로서는 정확하게 알기 어렵습니다. 다만, 일반적으로 수술 후 회복에 있어서는 최소 2-3개월이 소요되는 만큼 12월까지 68일만에 뛸 정도로 회복이 가능하지 못할 가능성이 더 높습니다. 비수술적으로 회복을 하더라도 시간은 오래 걸리는데, 현재 상태에서 뼈가 많이 어긋나 있는데 수술을 하지 않을 경우 회복 기간이 중요할 것이 아니라 걷는 것과 뛰는 기능 자체에 문제가 생길 우려가 있습니다.

