아하
  • 토픽

  • 스파링

  • 잉크

  • 미션


의료상담

plz0kcal

plz0kcal

허리디스크 어느정도 수준인지 봐주세요

성별

남성

나이대

35

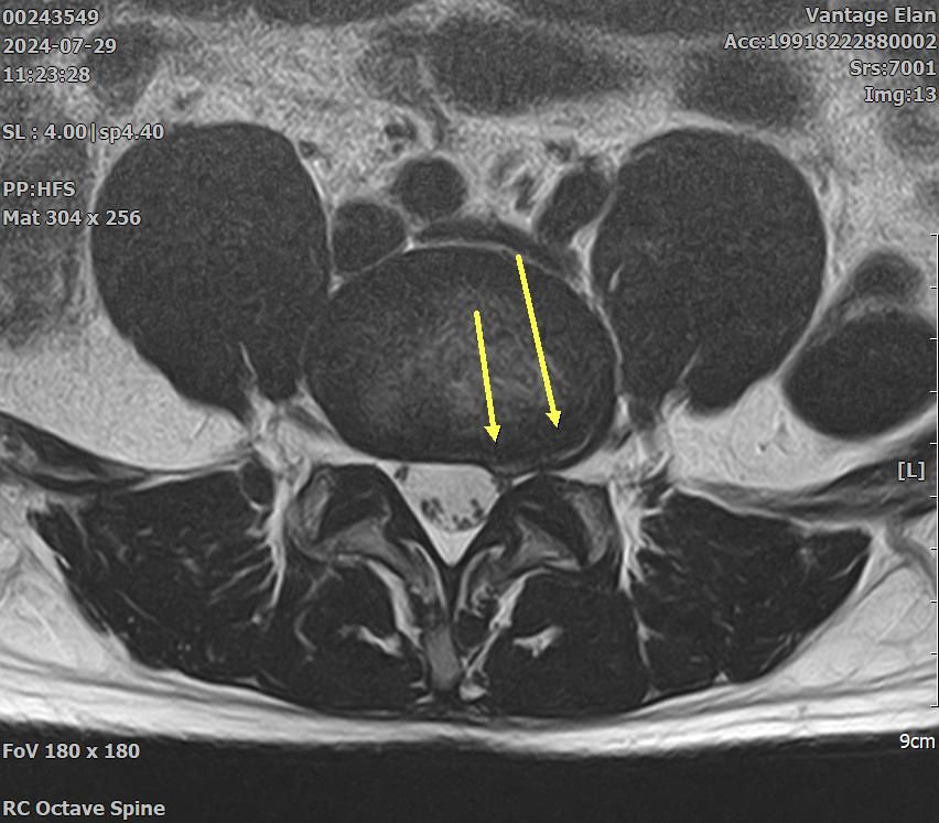
21년도와 24년도 각각 찍은 L spine 사진입니다.

21년도에는 좌측 하지 경미한 저림으로 촬영했었는데 영상으로는 허리가 건강한상태라고 했었습니다.

마음 편하게 먹고 그냥 지내다가 24년도 까지 극심한 허리통증을 두차례 겪고 혹시 디스크인가 싶어 다시 찍었습니다..

22년도에는 영상에서 허리 문제 딱히 없다고 했었는데 25년도에는 디스크라고 하네요...

서로 다른병원입니다.. 실제로 그런지 좀 봐주세요 ㅠ

2021년 영상

2024년 영상

  • 1번 째 사진
  • 2번 째 사진
  • 3번 째 사진
  • 4번 째 사진
  • 5번 째 사진
  • 6번 째 사진

4개의 답변이 있어요!

  • 김의균 물리치료사

    김의균 물리치료사

    논현재활병원

    안녕하세요. 김의균 물리치료사입니다.

    일부 사진으로는 정확한 상태를 확인하기는 어려우며 검사 결과를 해설 할때는 환자분의 병력 및 증상 이전 검사 결과까지 종합적으로 고려를 하기 때문에 담당 의사 선생님에게 판독 받아보시는게 좋을 것으로 생각됩니다.

    감사합니다 수고하세요~

  • 안녕하세요. 송진영 물리치료사입니다.


    허리 통증의 원인과 디스크 상태는 시간이 지나면서 변화할 수 있어요 디스크가 초기에는 미세하거나 증상이 없을 수 있으며 시간이 지나면서 퇴행성 변화나 디스크 탈출이 발생할 수 있어요 이전에 찍은 영상과 최근영상을 비교해본 후 두 병원에서 결과를 확인하고 진료를 받는 것이 좋습니다!

  • 안녕하세요. 김현태 물리치료사입니다.

    두가지 영상은 큰 차이가 없을 수 있으나, 약간의 돌출이 발생할 수 있으며 통증이 심한 경우에는 치료가 필요할 수 있습니다.

    마비증상이나 극심한 통증과 같은 증상이 아니라면, 주치의와 상담이후 보존적 치료를 통해 현재 상태를 관리하는 것도 좋겠습니다.

  • 안녕하세요. 김수비 의사입니다.

    해당 영상은 영상의학과 전문의와 상의 하셔야 합니다.

    그리고 이런 검사 결과는 해당 병원, 담당 의사에게 해석 해달라고 하는게 제일 정확하고 안전합니다.

    검사 결과를 해석 할 때는 단순 수치뿐만 아니라 환자의 병력, 증상, 이전 검사 결과까지 종합적으로 고려해야 해요. 따라서 검사를 진행한 담당 의사가 환자에 대해 가장 많은 정보를 알고 있는 사람으로, 검사 결과가 환자에게 어떤 의미를 가지는지, 그리고 그에 맞는 최적의 치료 방법은 무엇인지를 잘 판단할 수 있습니다.

    즉, 검사와 관련된 세부적인 정보와 환자의 상태를 가장 잘 아는 담당 의사와 상담 해 보시는게 제일 정확 하고 안전해요