아하
  • 토픽

  • 스파링

  • 잉크

  • 미션


의료상담

인일시지분 면백일지우

인일시지분 면백일지우

25.02.21

한의학에선 담낭슬러지를 어떻게 없애주나요? 그리고 운동이라던지 물을 많이먹으라던지 그런 요법 같은게 있나요?

성별

남성

나이대

50

한의학에선 담낭슬러지를 어떻게 없애주나요? 그리고 운동이라던지 물을 많이먹으라던지 그런 요법 같은게 있나요?

한의학에선 어떻게 다른지 좀 알고싶습니다.

양방에서는 뭐만 하면 그냥 수술 때어버려라 이런말을 하니..

한의학에 답이 있지않을까하여 이렇게 질문 올려봅니다..

췌장염도 있고

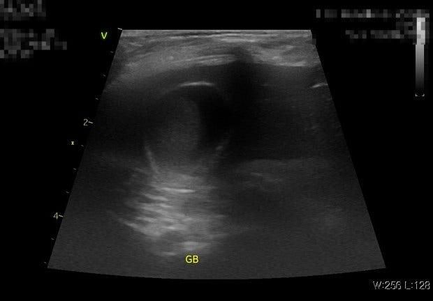
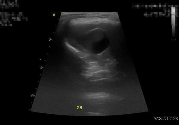
담낭슬러지가 작년 6월부터 있었습니다.

  • 1번 째 사진
  • 2번 째 사진

1개의 답변이 있어요!

  • 김록희 한의사

    김록희 한의사

    감초한의원

    25.02.21

    안녕하세요. 김록희 한의사입니다.

    한의학에서는 담낭과 간청소를 통해 슬러지를 없애는 치료를 할수 있습니다 침치료와 약침도 도움이 됩니다