아하
  • 토픽

  • 스파링

  • 잉크

  • 미션


의료상담

살짝쿵매력적인누룽지

살짝쿵매력적인누룽지

슬개골골절 수술후 5개월차입니다.

성별

남성

나이대

30대

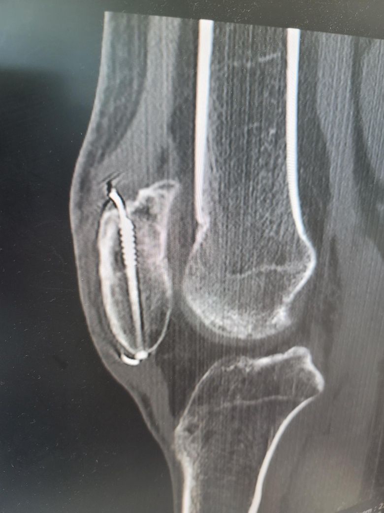
슬개골수술후 5개월차 ct입니다 분쇄골절 7조각이여도 엑스레이상 잘붙은즐알았는데 ct를찍어봤더니 양쪽 끝부분이 덜붙었더라구요 혹시 안붙으면 재수술하거나 뼈이식을 다시해야되나요? 걷거나 큰 통증은없는데

안붙을까봐 걱정입니다

  • 1번 째 사진
  • 2번 째 사진

3개의 답변이 있어요!

  • 이동진 물리치료사

    이동진 물리치료사

    진해장애인복지관

    안녕하세요. 이동진 물리치료사입니다.

    슬개골 골절로 불편이 있으시군요.

    수술 후 뼈가 유합되지 않는다면 재활치료나 깁스 등을 착용하는 회복기간이 길어질 수도 있으며 뼈 이식이나 재수술을 받을 수도 있겠지만 정확한 상태에 대해서는 담당의사선생님께서 잘 알고 계시기 때문에 담당의사선생님과 상담을 받아보시는 것이 정확한 정보를 얻는데 도움이 되실 것입니다.

    빠른 쾌유하시길 바라며 답변이 도움이 되었으면 좋겠습니다.

  • 안녕하세요. 김현태 물리치료사입니다.

    무릎뼈와 같이 반복적인 움직임과 하중이 발생하는 뼈는 분쇄골절로 인해 수술을 하셔도 회복에 상당한 시간이 소요될 수 있습니다.

    아직 뼈의 유합이 완전하지 않다는 소견을 들으셨더라도, 반드시 수술이 필요한 것은 아닐 수 있으며 통증이나 붓기, 불안정성과 같은 여러 요인을 종합적으로 판단하여 재수술 여부를 결정하게 됩니다.

    재수술과 관련해서 특별한 소견이 없으셨다면 우선은 경과를 지켜보시면서, 필요한 치료나 재활을 고려해보시는 것이 좋겠습니다.

  • 안녕하세요. 김강록 물리치료사입니다.

    우선 현재로썬 수술 병원에 문의하셔서 현 증상에 대한 치료 계획을 들어보시고 적절한 조치를 받으시길 바랍니다.

    당분간은 무리하게 움직이지 마시고 자극을 주는건 피하면서 관리가 필요하며 정기적으로 검사를 받으시길 바랍니다^^