의료상담

이거 혹시 세균형 인후염? 편도선염? 같은 걸까요?

성별

남성

나이대

30대

기저질환

심하지 않은 비염이 있고 그게 가래?로 넘어가는거 같음

어제 아침에 목이 좀 부었는데 밤이 되니 열이 38.5도쯤까지 오르고 몸살도 오고 온 몸이 쑤시고 오한도 있었습니다.

그래서 밤에 타이레놀을 먹고 자서 아침에 일어나보니 열이나 오한은 사라졌고 약간 근육통이 남은 상태입니다.

일단 내과에 가서 진료를 받았는데 검사해본 결과 코로나도, 독감도 아니라네요. 그래서 목이 좀 아프고 평상시 비염이 있어서 감기 가래와 구분이 힘들다던가...이런저런 증상을 말한 뒤에 소염진통제, 진해거담제, 항히스타민제와 함께 항생제를 주셨더라고요. 먹고서 열이 또 오르거나 증상이 다 떨어지지 않으면 정밀검사해보자고 하셨습니다.

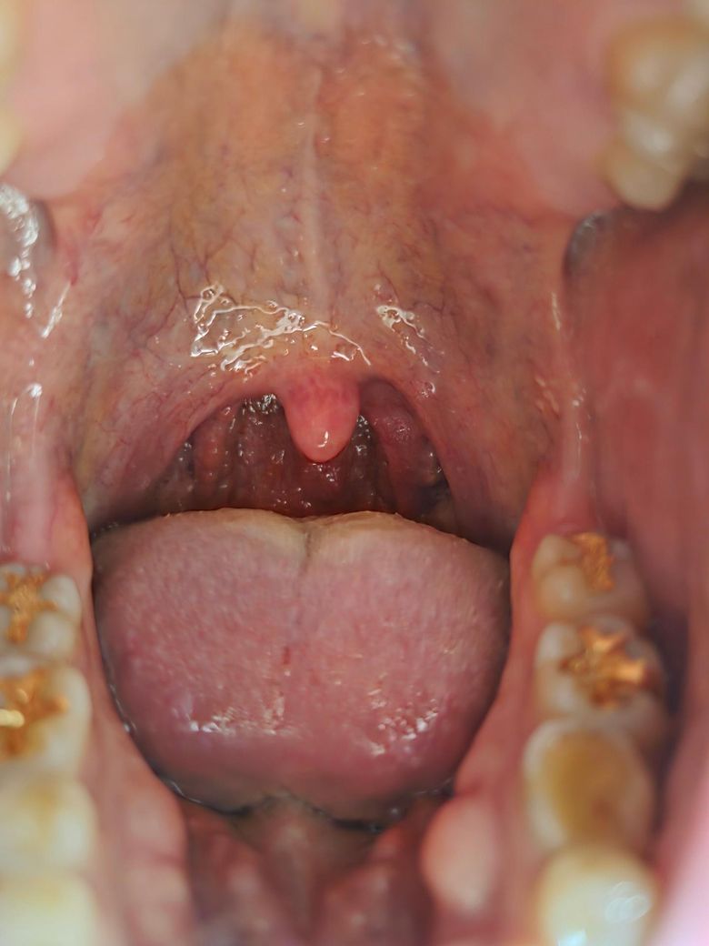
근데 목이 아픈데 그 목 아픈건 아무래도 감염 문제인지 육안으로 확인을 안 해주셨습니다.

그래서 혹시 목이 그냥 부은건지, 항생제를 먹어야할 정도의 상태인지 확인을 좀 받고 싶습니다.

1.목이 세균성? 인가요 그냥 부은 거가요?

2.보통 독감도, 코로나도 아닌 감기의 경우 항생제를 먹나요?

  • 1번 째 사진
  • 2번 째 사진
  • 3번 째 사진

2개의 답변이 있어요!

  • 안녕하세요. 채홍석 가정의학과 전문의입니다.

    업로드해주신 증상의 설명과 자료는 잘 보았습니다.

    1.육안으로 보기에는 뚜렷한 감염의 징후는 보이지 않는 것 같습니다.

    2.세균성이 의심되지 않는 경우 미리 항생제를 복용하거나 하지는 않습니다. 미리 복용한다고 해서 치료가 더 빨리 혹은 더 잘 되거나 하지는 않기 때문입니다.

    채택 보상으로 170베리 받았어요.

    채택된 답변
  • 안녕하세요.

    목이 붓고 통증이 느껴진다면 인후염이나 편도선염일 가능성이 높습니다.

    고열이 나고 침 삼키기가 힘들며 하얀 반점이 보인다면 세균성 감염을 의심해야 해요.

    세균성은 바이러스성과 달리 적절한 항생제 처방을 받아야 증상이 빠르게 호전됩니다.

    가까운 이비인후과에 방문하셔서 전문의의 정확한 진찰을 꼭 받아보시길 바라요.

    미지근한 물을 자주 마시며 목 점막이 건조하지 않게 관리하는 것도 큰 도움이 됩니다.

    감사합니다.