아하
  • 토픽

  • 스파링

  • 잉크

  • 미션


의료상담

엄청난비단벌레95

엄청난비단벌레95

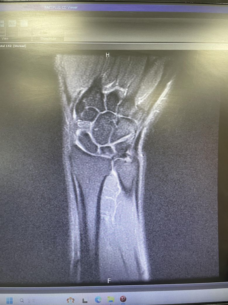
tfcc 파열진단 받았습니다. MRI 판독좀 부탁드립니다.

성별

남성

나이대

32

안녕하세 32세 남성입니다.

외상(팔씨름)으로 인해 다쳤습니다.

1A 1B 1C 중 어디에 해당하는지 알고 싶고

파열정도가 심한건지 궁금합니다.

아니면 보존적 치료(주사)로 괜찮은지.. 관절경 봉합술을 해야하는지..

최대한 빠르게 운동에 복귀하고 싶고 내구도 튼튼하게 돌아가고싶습니다.

현재 다친지는 40일정도 되었습니다.

  • 1번 째 사진
  • 2번 째 사진

2개의 답변이 있어요!

  • 남희성 의사

    남희성 의사

    대학병원 재활의학과

    안녕하세요. 남희성 의사입니다.

    TFCC의 경우 학문적으로는 수술을 하는게 맞습니다.

    특히나 지금 빠르게 운동을 하고싶으신 상태이니까요.

    저도 골프를 치다가 TFCC가 생긴적이 있는데 예후는 수술을 하는게 좋다는걸 알면서도 수술을 하고싶지 않아서 보존적인 치료를 한적이 있는데 회복기간이 1년반정도 걸렸습니다.

  • 안녕하세요. 송진영 물리치료사입니다.

    MRI상 TFCC 부위에 고강도 신호가 보이고 파열이 의심됩니다. 통증이 40일 이상 지속되고 있어 보존치료 효과가 낮을 수 있습니다.

    관절경 수술로 손상부위를 봉합하면 회복과 재발 방지에 도움이 됩니다. 스포츠 손상 전문 정형외과에서 수술 여부를 재평가받는 것이 좋습니다!