아하
  • 토픽

  • 스파링

  • 잉크

  • 미션


의료상담

탈퇴한 사용자

탈퇴한 사용자

복숭아뼈 미세골절 초음파 사진 관련 질문

성별

남성

나이대

40

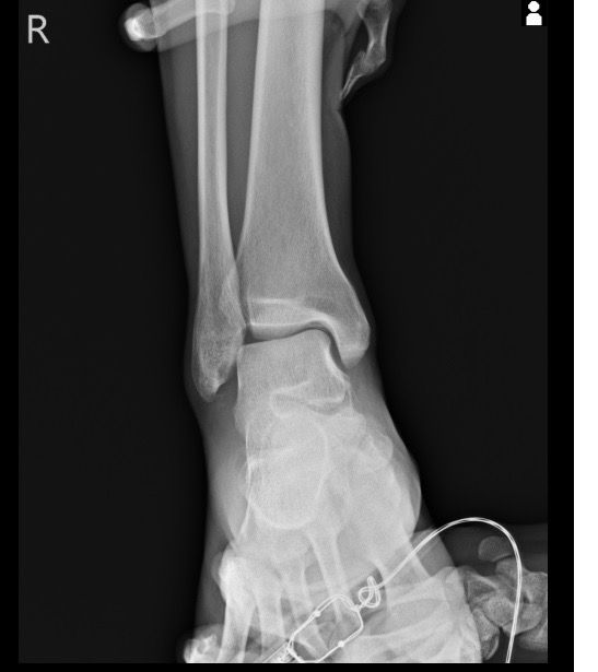
발목 접지른 후 치료받는 중인데요 복숭아뼈 미세골절이라고 하셨네요 3월 1일 다친뒤네 3월7일 병원방문후에 위에 초음파랑 엑스레이 촬영했고요 그뒤 반깁스 중입니다. 위에 엑스레이 상에선 안나오는데 초음파 사진에선 미세골절이 맞을까요? 골절이 경미한 수준인지 아니면 중한 건지 궁금합니다 그리고 다음주에 병원 방문 후 초음파 또 촬영하기로 했는데 그때 반깁스도 풀 수 있을까요??

  • 1번 째 사진
  • 2번 째 사진
  • 3번 째 사진
  • 4번 째 사진
  • 5번 째 사진
  • 6번 째 사진
  • 7번 째 사진
  • 8번 째 사진
  • 9번 째 사진
  • 10번 째 사진
  • 11번 째 사진
  • 12번 째 사진

5개의 답변이 있어요!

  • 김의균 물리치료사

    김의균 물리치료사

    논현재활병원

    안녕하세요. 김의균 물리치료사입니다.

    미세골절 같은 경우 엑스레이서 잘 안 보일 수 있고 초음파에서 연부조직과 뼈의 상태를 좀 더 세밀하게 확인하여 확인할 수 있습니다. 미세골절이 경미한 수준이라면 초음파를 통해서 확인이 가능하며 치료 진행 상황에 따라 반깁스를 푸는 시점은 달라질수 있습니다.

    빠른 쾌유를 기원합니다.

    감사합니다 수고하세요~

  • 안녕하세요. 김덕현 물리치료사입니다.

    미세골절의 경우 엑스레이로는 잘안보일수있기때문에 초음파검사로 확인해보는것이 가장좋은데요 미세골절의 경우 병원에서 치료를받는것이 도움이될수있고 깁스를 제거하는시점은 사람마다 회복기간이달라질수있기때문에 병원에서 전문의와 상담을받아보시길 바랍니다 감사합니다~

  • 안녕하세요. 송진영 물리치료사입니다.

    미세골절은 엑스레이에서 잘 보이지 않을 수 있고 초음파에서는 연조직과 뼈의 상태를 좀 더 세밀하게 확인할 수 있습니다. 미세골절이 경미한 수준이라면 초음파에서 확인할 수 있지만 치료 진행 상황에 따라 반깁스를 풀수 있는 시점이 달라질 수 있습니다! 병원 방문 시 초음파 결과를 방탕으로 치료 계획을 조정하게 되고 전문가가 판단하는 시점에 맞춰 반깁스를 풀 수 있습니다!

  • 안녕하세요. 김현태 물리치료사입니다.

    약간의미세골절을 의심할 수 있는 상태로 보이는데요, 우선은 치료계획대로 진행하시는 것이 좋겠습니다.

    미세골절인 경우에도 약2-4주의 회복기간이 필요할 수 있으므로, 경과를 관찰하며 불편감이나 통증이 있는 경우에는 유지하시는 것이 좋겠습니다.

  • 안녕하세요. 김수비 의사입니다.

    발목의 복숭아뼈에 미세골절이 의심되는 경우, 엑스레이에서는 미세골절이 잘 보이지 않을 수 있습니다. 엑스레이는 큰 골절을 잘 확인하지만, 미세한 골절이나 염증 반응은 잘 나타나지 않기 때문이죠. 초음파는 조직의 변화를 보다 민감하게 감지할 수 있기 때문에, 미세골절을 발견하는 데 도움을 줄 수 있습니다. 초음파에서 미세골절이 확인되었다면, 이는 경미한 골절일 가능성이 높아요. 하지만 골절의 정확한 상태나 치유 과정을 판단하려면 정밀 검사가 필요하죠

    미세골절의 치료는 시간이 필요하며, 반깁스를 착용하는 이유는 발목에 가해지는 부담을 줄이고, 골절 부위의 안정화를 돕기 위함입니다. 다음 병원 방문 시 초음파 촬영을 통해 골절의 치유 상태를 확인한 후, 의사가 반깁스를 풀어도 될지 결정할 듯 해요. 만약 골절이 잘 치유되었고 통증이 없다면 반깁스를 풀고 재활 운동을 시작할 수 있을 거구요. 하지만 치유가 더 필요한 경우에는 여전히 반깁스를 착용하거나 다른 치료 방법이 필요할 수 있겠죠