아하
  • 토픽

  • 스파링

  • 잉크

  • 미션


의료상담

첨벙첨벙물텀벙

첨벙첨벙물텀벙

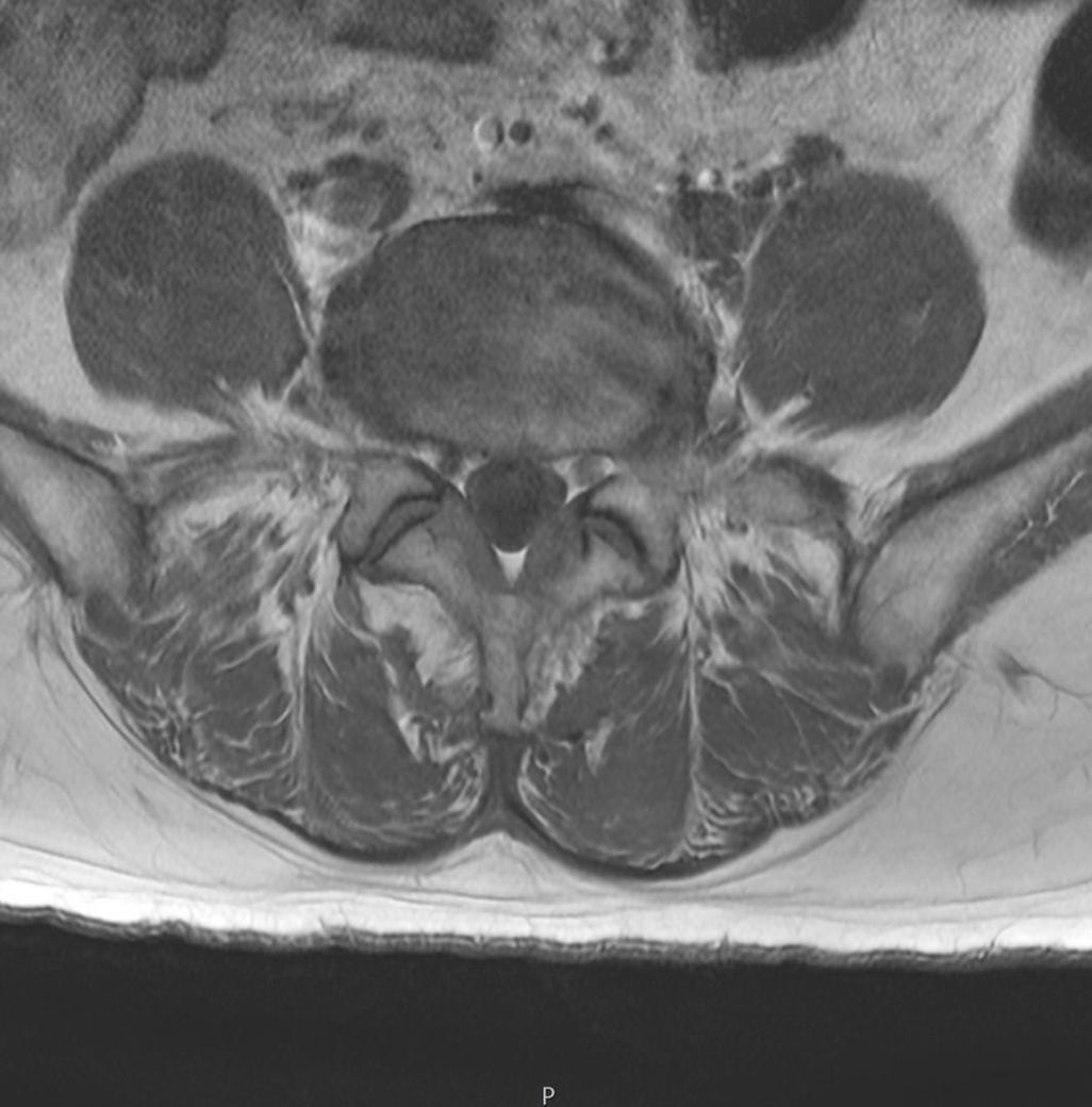
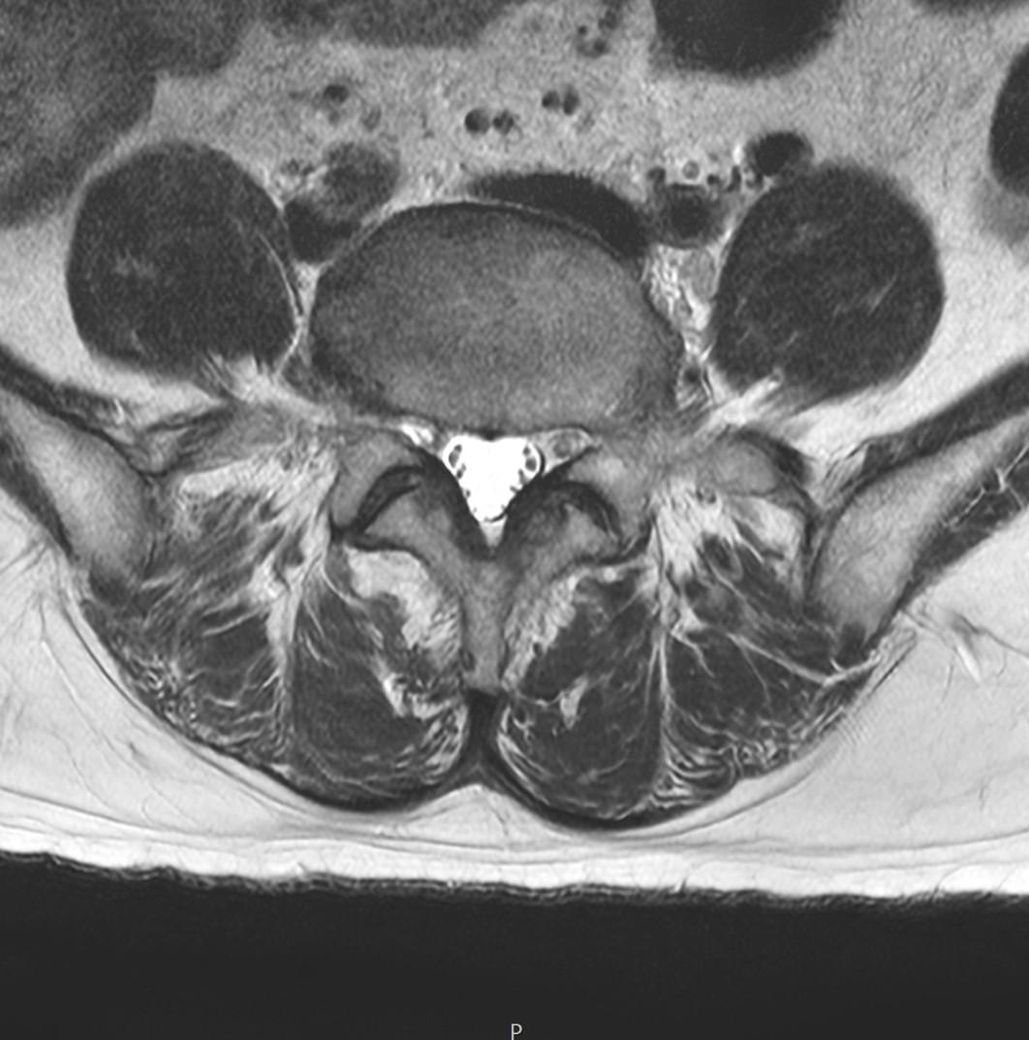
이거 디스크 맞나요? MRI 이미지있어요.

성별

남성

나이대

60

촬영한 이미지에요.

어느 위치인지 몰라요.

가운데 동그라미가 디스크라고 들었어요.

이미지의 오른쪽 아래가 퍼진것처럼 보여요.

혹시 터진 건 아니겠죠?

근육도 괜찮은지 봐주시면 감사하겠습니다.

  • 1번 째 사진
  • 2번 째 사진

3개의 답변이 있어요!

  • 송진영 물리치료사

    송진영 물리치료사

    보건복지부

    안녕하세요. 송진영 물리치료사입니다.

    디스크돌출 여부나 터짐을 확인하려면 전문의가 직접 mri영상을 확인하고 진단을 내려야 합니다. 근육 상태나 다른 이상이 있는지도 확인이 필요하므로 정형외과나 신경외과 전문의에게 mri결과를 가져가 상담을 받는 것이 좋아요!

  • 안녕하세요. 김의균 물리치료사입니다.

    공유해주신 사진상 정확한 상태를 확인하기는 어려우나 디스크의 큰 문제는 없는 것으로 보이며 자세한 진단 같은 경우 병원에 방문하시어 판독 받아보시는게 좋을 것으로 생각됩니다.

    감사합니다 수고하세요~

  • 안녕하세요. 김현태 물리치료사입니다.

    질문자분께서 첨부해주신 영상에서는 크게 신경 주변에 압박이 관찰되지는 않는데요, 이외에 통증이나 불편감이 느껴지시는 경우에는 치료가 필요할 수 있으므로, 전문의에게 진료를 통해 적절한 치료를 받아보시는 방법을 추천드립니다.