의료상담
복부ct 출혈성낭종 질문드립니다.
성별
남성
나이대
37
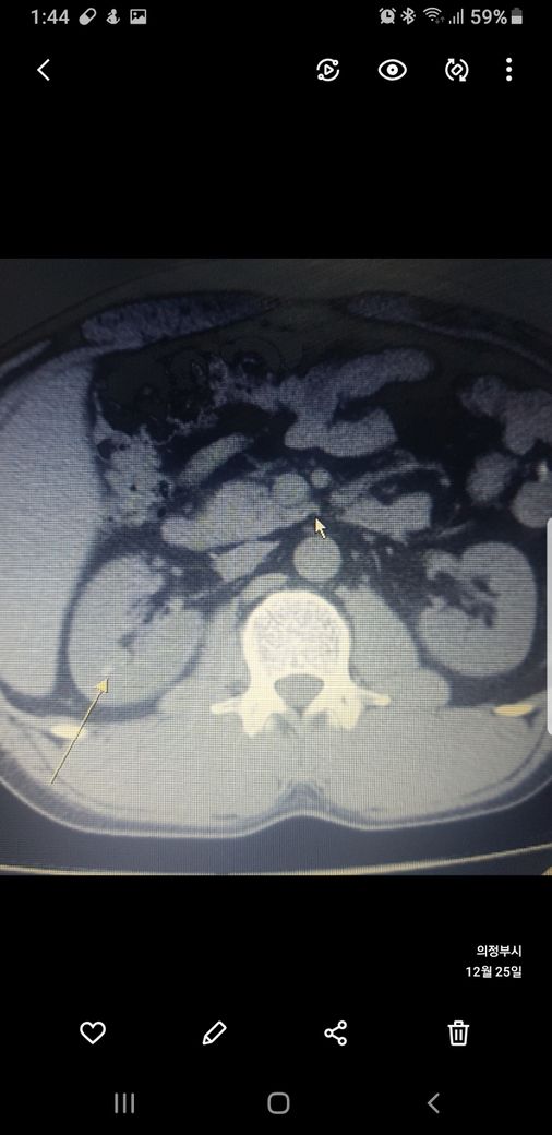
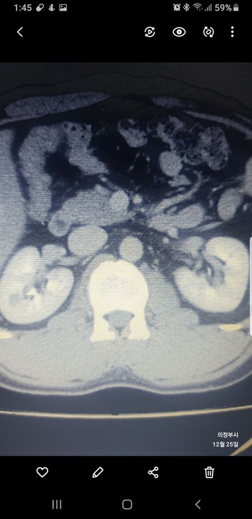
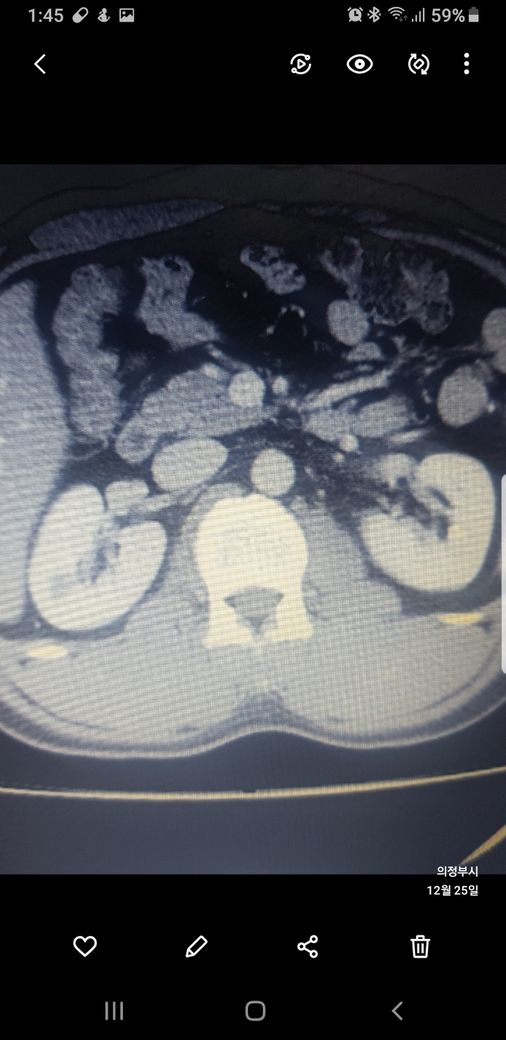
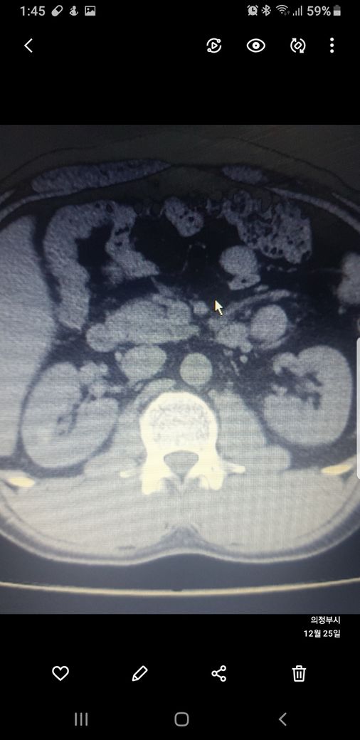
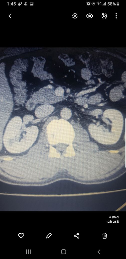
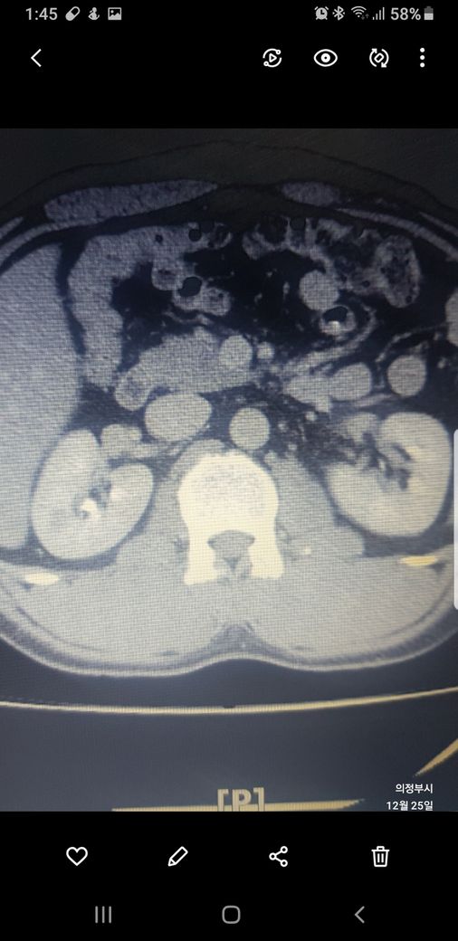
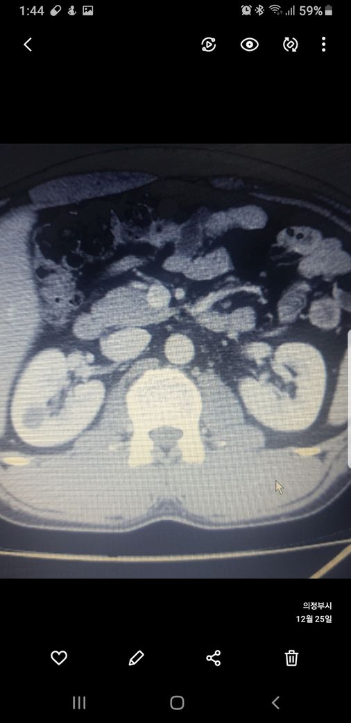
복부ct 작년 11월 , 올해 12월 촬영분입니다.
우측신장에 작년에는 1.7cm 물혹이 올해는 같은곳에 1.2cm 출혈성낭종이라는데
같은부위에 뭐가 다른건지 문제가없는건지 봐주세요.
출혈성낭종은 물혹보단 더 지켜봐야한다는데 왜 같은병원 같은선생님이 다른 소견을 써주셨는지
문제는 없는지 봐주세요.
사진 1~4번째 는 작년
사진 5~9번째는 올해 입니다.
영상 첫번째는 작년
영상 두번째는 올해 입니다.
55글자 더 채워주세요.
1개의 답변이 있어요!
안녕하세요. 영상의학과 전문의 최원제 의사입니다.
둘다 같은 병변이고 비조영증강에서 약간의 고음영 소견이 있어 출혈성 낭종이 의심됩니다.
신장의 낭성병변의 분류에서 1, 2, 2F, 3, 4이렇게 나뉘는데, 2에 해당되는 소견입니다.
크게 걱정하실 필요는 없습니다.

